
Dr. Tomás Álvaro Naranjo, Dr. Ramón Bosch Príncep, Dra. Salomé Martínez González, Dra. Mª Teresa Salvadó Usach
10.- Características inmunohistoquímicas de los síndromes
linfoproliferativos asociados a estados de inmunodeficiencia
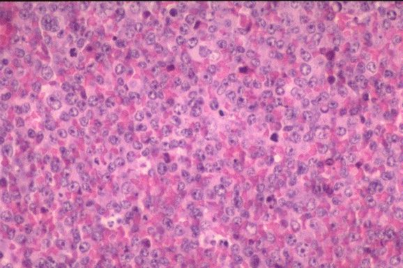
| Linfoma no Hodgkin de alto grado de malignidad, linfoblástico, en paciente VIH+.. |
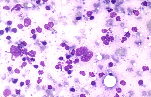
| PAAF de ganglio linfático. Células grandes bi- o multinucleadas. Linfoma anaplásico de células grandes T, CD3O+ post-trasplante. |
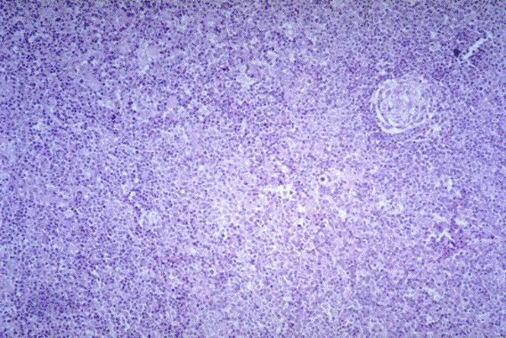
| Expansión del área interfolicular, que se muestra ocupada por numerosas células plasmáticas, linfocitos T e inmunoblastos. H-E. Hiperplasia linfoide atípica asociada a inmunodeficiencia (hipogammaglobulinemia común variable) |
| Positividad para virus de Epstein-Barr, LMP-1. Linfoma difuso de células grandes de morfología anaplásica e inmunofenotipo B en paciente diagnosticado y tratado de enfermedad de Hodgkin |
[Índice] [Marcadores] [Linfomas_NH] [Enf._Hodgkin] [Prolif._histiocitarias] [Sd. linfoprolif._esplenicos] [Extranodales] [Dg._práctico] [Bibliografía] [Iconografía] |