
Dr. Tomás Álvaro Naranjo, Dr. Ramón Bosch Príncep, Dra. Salomé Martínez González, Dra. Mª Teresa Salvadó Usach
INFILTRADO LINFOIDE EXTRANODAL REACTIVO VS LINFOMA B EXTRANODAL DE BAJO GRADO DE MALIGNIDAD
| INFILTRADO REACTIVO | LINFOMA EXTRANODAL (o infiltración extranodal por linfoma) | |
| Lesión linfoepitelial CK |
+/- | ++ |
| Policlonal.
Monoclonal. Céls. B policlonales no excluyen el diagnóstico de linfoma (¿reactivas?). |
||
| Ig (cadenas pesadas) | - De ayuda para evaluar cadenas ligeras (buscar patrones coincidentes). | |
| CD3 | - De ayuda para localizar células T reactivas. Comparar con CD5, CD10 y CD43. | |
| CD5 | - Mayoría de células B negativas. | Céls. B (comparar con CD3)positivas:
LLC-B, linfoma céls. manto. Negativas: Linfomas tipo MALT, linfomas de céls del centro folicular. |
| CD10 | - Mayoría de células B negativas. | Céls. B (comparar con CD3)positivas:
Leucemia mieloide, linfoma folicular (50-75%), mieloma múltiple. Negativas: Linfoma tipo MALT, linfoma céls. del manto. |
| CD43 | - Mayoría de células B negativas. | Céls. B (comparar con CD3)positivas:
LLC-B, linfoma de céls. del manto, linfomas tipo MALT (40%). Negativas: Linfomas de céls. del centro folicular, linfomas tipo MALT (60%). |
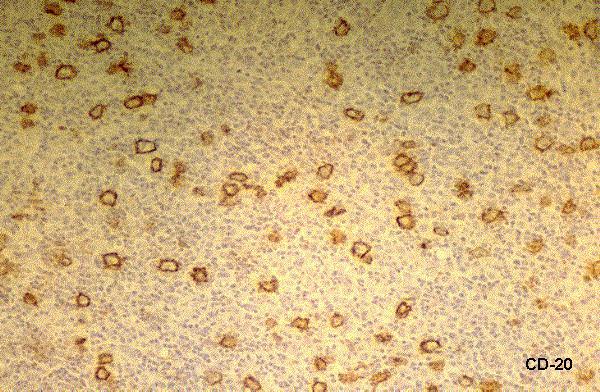
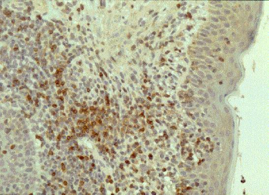
En linfomas de tipo MALT sin atipia
citológica evidente, el diagnóstico descansa de una manera sustancial sobre el
inmunofenotipo. Los datos arquitecturales no poseen capacidad discriminativa, ya que el
linfoma puede presentarse como un infiltrado difuso acompañado o no de folículos
reactivos. El componente neoplásico de los linfomas de tipo MALT son las células B
dispuestas alrededor de los folículos y aquellas que infiltran el epitelio, habitualmente
con citología centrocitoide, monocitoide o plasmocitoide. Recuérdese que los folículos
propiamente son reactivos, así como cierta celularidad B acompañante y la población, a
menudo considerable, de células T. El único marcador con capacidad discriminativa es la
demostración de restricción de cadenas ligeras. Tampoco la lesión linfoepitelial es
patognomónica, aunque un grado considerable de lesión es altamente sugestiva de linfoma.
En el tiroides, la tinción con bcl-2 no es útil para diferenciar
entre tiroiditis de Hashimoto y linfoma MALT de bajo grado (ver Chetty
et al. 1995), y en general su patrón de tinción no es útil para diferenciar entre
diferentes linfomas (Chetty et al. 1997). Sin embargo si puede ser de ayuda para
establecer el diagnóstico diferencial entre linfoma de células del centro folicular y
colonización folicular por linfoma de tipo MALT (ver Piris MA, 1995).
Si desea revisar las características inmunohistoquímicas
diferenciales entre síndromes linfoproliferativos extranodales no relacionados con MALT y
linfoma de tipo MALT, pulse aquí.
Infiltrado linfoide nodal (hiperplasia difusa versus linfoma) HIPERPLASIA DIFUSA VS LINFOMA
DIFUSO
| HIPERPLASIA DIFUSA ATÍPICA | LINFOMA DIFUSO MIXTO | |
| Entidades | - Infecciones virales (CMV, mononucleosis
infecciosa,...) - Situaciones post transplante - Hipersensibilidad a drogas - Angiomatosis bacilar - Linfadenopatía angioinmunoblástica. |
- Linfoma pleomórfico de céls.T
- Enfermedad de Hodgkin - Inmunocitoma con presencia de blastos (subtipo polimórfico) - LBRCT - Linfoma de tipo MALT con presencia de céls. grandes. - LLC con céls. R-Soides, o abundantes parainmunoblastos. |
| Reticulina | - Arquitectura preservada. | - Arquitectura alterada. |
| Ig (k /l ) | -Policlonal | - Monoclonal en inmunocitoma y linfoma tipo MALT. |
| - Acentuación de la arquitectura preservada. | - Patrón específico LBRCT | |
| CD3 | De ayuda para localizar céls. T reactivas. Comparar con CD5, CD10 y CD 43. Policariocitos reactivos positivos. | |
| CD5 | - Mayoría de céls. B negativas. | - Positivo en LLC-B con céls. R-Soides o abundantes parainmunoblastos. |
| CD10 | - Centros germinales residuales débilmente teñidos. | - Positividad en centros germinales de linfomas del células del centro folicular (con componente difuso). |
| CD43 | - Mayoría de céls. B negativas.
- Policariocitos reactivos positivos. |
- Positivo en LLC-B y 40% linfomas tipo MALT. |
| CD30 | - Positividad en escasas células aisladas. | - Céls. de R-S positivas en enf. de Hodgkin. |
| CD20/CD45RO | - Inmunoblastos reactivos pertenecientes a diferentes líneas celulares. | - Céls. grandes tumorales pertenecientes a una sola línea celular (B o T). |
| CD15 | - Céls. R-Soides negativas (pueden ser positivas las infectadas por CMV). | - Céls. R-S generalmente positivas en enf. de Hodgkin. |
Ante este diagnóstico diferencial, la preservación completa o
parcial de la arquitectura juega fuertemente en contra de linfoma. La ausencia de
atipicidad, con células grandes con características de inmunoblastos reactivos,
admitiendo células reedsternbergoides, diferencia la hiperplasia difusa de las células
claras, atípicas, con pliegues nucleares y cromatina grosera de los linfomas. En el
linfoma difuso mixto, el componente de células pequeñas puede ser de forma predominante
o exclusiva de carácter reactivo.
Asi pues, insistiremos aquí en que el diagnóstico de linfoma debe
hacerse en base a datos morfológicos y la subclasificación del linfoma, de interés
pronóstico, es la que se beneficiará del estudio inmunofenotípico. No obstante, los
resultados IHQ pueden ser equívocos o difíciles de interpretar y, en estos casos, puede
ser útil contar con la opinión de un experto hematopatólogo. Con frecuencia, la
evolución clínica es aclaradora en pocos días o semanas.
Hiperplasia folicular versus linfoma folicular. HIPERPLASIA FOLICULAR VS LINFOMA
FOLICULAR
| HIPERPLASIA FOLICULAR | LINFOMA FOLICULAR | |
| Características Morfológicas y Arquitecturales. |
Arquitectura conservada (CD20, CD3)
Distribución de los folículos irregular. Densidad folicular baja (30x unidad de área) Celularidad polimórfica. Índice proliferativo alto (Ki67) Céls. interfoliculares normales (CD21) |
Arquitectura normal alterada.
Distribución de los folículos uniforme. Densidad folicular alta (47x unidad de área) Celularidad monomórfica. Índice mitótico bajo. Céls. interfoliculares atípicas. |
| Ig (k /l ) | Único marcador específico.
Policlonal. |
Monoclonal |
| CD10 | Tinción del centro germinal débil y poco uniforme. | Centros germinales uniformemente positivos. |
| CD45RA (MT2) | Negativo | Positivo (50%) |
| Negativo | Positivo |
Debe recordarse incluir en el diagnóstico diferencial linfoma de
células del manto, asi como que el diagnóstico primario de linfoma folicular no debe
hacerse sobre tejidos extranodales. Ocasionalmente, tras los estudios
pertinentes, los hallazgos no son concluyentes, en cuyo caso puede ser prudente considerar
el caso como hiperplasia folicular atípica. Desde el punto de vista
inmunohistoquímico, la restricción de cadenas ligeras es el único marcador
específico.
Con respecto al bcl-2, actualmente existen disponibles anticuerpos
monoclonales que funcionan perfectamente en parafina, sobre todo si se utiliza algún
sistema de desenmascaramiento antigénico por calor (microondas u olla a presión). La
tinción positiva ocurre a nivel citoplásmico, observándose por regla general una
expresión fuerte en el interior de los folículos neoplásicos y sólo algunas células
positivas en los folículos reactivos, correspondientes a linfocitos T (ver
Veloso et al, 1995). No obstante, es preciso considerar que existe un número de
linfomas foliculares negativo para bcl-2, tanto mayor cuanto más células grandes
componen el tumor. Además es preciso no interpretar erróneamente folículos primarios
con tinción positiva como tumorales (Piris MA, 1995).
La expresión de CD10 es característica del linfoma folicular, aunque
su mayor utilidad es en la diferenciación con otros tipos de linfoma (Arber
y Weiss, 1997).
Linfoma versus tumor no linfoide.
LINFOMA VS TUMOR NO LINFOIDE
| LINFOMA | TUMOR NO LINFOIDE | |
| -Positivo -Puede ser negativo en linfomas con diferenciación plasmocitoide (Ig), linfoma linfoblástico T (CD1a, TdT), LACG (CD30, pan-T, pan-B) |
-Negativo | |
| CK | -Negativo -Muy raros linfomas pueden ser CK + (LACG , plasmocitoma) |
-Positivo en carcinomas. -Sólo CK de BPM (CK18) en carcinoma neuroendocrino, hepatocelular y de céls. renales. -Mesoteliomas, sarc. y cordoma pueden ser CK +. |
| S-100 | -Negativo -Excepcionalmente linfoma positivo. |
-Positivo en melanoma y tumores de origen
neural. -Puede ser positivo en gran número de tumores, incluyendo carcinoma de mama, sarcomas, etc. |
| CD30 | -Positivo en LACG | -Negativo -Puede observarse tinción citoplásmica de intensidad variable en céls. plasmáticas, algunos ca. y melanoma. Este tipo de tinción también aparece en LACG de fenotipo B y otros LNH. |
En el caso de metástasis de origen desconocido, la mayoría de los
casos corresponden a carcinoma o melanoma. Aquelos de los que se dispone de un tratamiento
eficaz o paliativo, y por tanto, en los que el esfuerzo de reconocimiento de be disfrutar
de especial atención, son los tumores de céls. germinales, próstata, mama, tiroides y
ovario. Además, si una valoración preliminar no encuentra el primario, puede ser
prudente revisar el material disponible para descartar definitivamente el diagnóstico de
linfoma. A modo de curiosidad, debe saber que se ha observado de forma ocasional
reordenamiento del gen de las Ig o TCR en tumores no linfoides (ej: leucemia
mieloide). Tumores no linfoides cuya morfología puede asemejar un linfoma, y
posible fuente de errores, en los que precisamente las técnicas inmunohistoquímicas
adquieren un gran valor son carcinoma nasofaríngeo, sarcomas de células pequeñas de la
infancia, adenocarcinoma pobremente diferenciado, carcinoma lobular de mama, carcinoma de
células pequeñas tipo "oat cell", tumor de células de Merkel, timoma,
melanoma, histiocitoma fibroso maligno y sarcomas de células fusiformes. Generalmente la
valoración morfológica junto a los estudios especiales permiten un diagnóstico
definitivo. Los raros casos inclasificables pueden ser designados como "tumor maligno
indiferenciado", procediendo a la observación del curso clínico y toma ulterior de
biopsias.
El panel básico IHQ debe incluir LCA, CK y S-100. Son valorables los
resultados positivos, debiendo interpretarse con precaución aquéllos negativos
(¿problemas técnicos, fijación defectuosa,....?. Siempre debe incluirse LCA, ya que
apariencias inusuales de linfomas pueden asemejar carcinomas o sarcomas, como queda dicho
más arriba. La vimentina no es útil desde el punto de vista interpretativo (sarcomas,
melanomas, algunos carcinomas y linfomas son positivos), pero debe incluirse en el panel
para evaluar el grado de conservación del tejido. EMA no es útil para establecer el
diagnóstico diferencial entre neoplasia epitelial o linfoide (muchos linfomas son
positivos), y su interpretación debe realizarse en el contexto adecuado. Si desea
realizar una revisión de la expresión de EMA en tumores linfoides, el trabajo de Chittal et al., 1997, le será útil.
CD99, el producto del gen p30/32MIC2 , cuyo Ac
monoclonal más difundido es O13, es una glicoproteina de superficie expresada por sarcoma
de Ewing, tumor neuroectodérmico primitivo y algunos linfomas linfoblásticos. También
posee un papel en el diagnóstico diferencial de los tumores mediastínicos, de origen
tímico versus síndromes linfoproliferativos (ver Dorfman, 1996).
Del incremento del número de casos positivos, incluyendo enfermedad de Hodgkin, tras
aplicación de técnicas de desenmascaramiento enzimático por calor, nos hablan Vartanian
et al, 1996.
Enfermedad de Hodgkin (EH) versus linfoma no Hodgkin (LNH). ENFERMEDAD DE HODGKIN VS LINFOMA
NO HODGKIN
| ENFERMEDAD DE HODGKIN | LINFOMA NO HODGKIN | |
| Ig (k /l ) | (IHQ referida a la celularidad
atípica) -Predominio linfocítico: céls B policlonales. -EH clásica: céls. atípicas policlonales. |
-Linfoma de céls. B: monoclonal. |
| CD45 | -EHPL: positivo -EH clásica: negativo 90% (10% positivo). |
-LNH: positivo (salvo excepciones). |
| CD15 | -EHPL: negativo. -EH clásica: positivo 80% |
-LNH: negativo (salvo excepciones) |
| CD30 | -EHPL: +/- -EH clásica: positivo 90% |
-LNH: negativo (salvo excepciones).
-LACG: positivo |
| -EHPL: positivo -EH clásica: negativo 80% (20% positivo). |
-LNH-B: positivo | |
| CD3, CD45RO | -EHPL: negativo -EH clásica: negativo 90% (10% positivo) |
-LNH-T: positivo |
| p53 | -Céls. R-S positivo 90% | LNH: positividad variable |
| LMP-1 | -Céls. R-S positivas (20-70%)
-Céls. L&H negativas |
LNH: positividad variable |
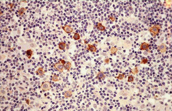
La EH corresponde a una proliferación tumoral de céls. de R-S y
sus variantes, que generalmente constituyen una minoría de los elementos celulares (1%)
presentes en los tejidos afectos y se acompañan de un infiltrado inflamatorio mixto
característico.Sul diagnóstico debe realizarse básicamente sobre criterios
morfológicos, no siendo mandatoria la realización de técnicas IHQ para confirmación.
En aquellos casos en que la morfología es ambigua, los estudios IHQ pueden ser, a su vez,
difíciles de interpretar, debiendo tener presente que la ausencia de CD15 ó CD30 en un
tumor con la morfología propia de EH clásica, no excluye el diagnóstico.
La tinción con p53 posee una faceta de ayuda diagnóstica, ya que
además de ser positivos prácticamente todos los casos de enfermedad de Hodgkin, su
patrón de tinción es específico (ver Álvaro et. al. 1996),
tiñéndose de forma exclusiva las células de Hodgkin y R-S, al contrario de lo que
ocurre en linfomas no Hodgkin, en que la positividad se extiende a células grandes y
pequeñas tumorales.
Enfermedad de Hodgkin predominio linfocítico (EHPL) versus linfoma
de céls. B (LCB).
ENFERMEDAD DE
HODGKIN PREDOMINIO LINFOCÍTICO VS LINFOMA DE CÉLULAS B
| EH PREDOMINIO LINFOCÍTICO | LNH-B | |
| Ig (k /l ) | -Las céls. B que componen los nódulos son
policlonales. -Patrón difuso céls. B policlonales. |
-Restricción de cadenas ligeras en linfoma
folicular. -Restricción de cadenas ligeras en LLC-B y LBRCT (o rico en histiocitos) |
| CD5 | -Mayoría de linfocitos pequeños B negativos. | -LLC-B (+) |
| CD10 | -Mayoría de linfocitos pequeños B negativos | -Linfoma folicular (+) |
| -Céls. L&H positivas -Las céls. pequeñas que constituyen los nódulos son linfocitos B maduros |
- LBRCT (e histiocitos): céls. grandes atípicas positivas. | |
| CD30 | -Céls. L&H (+/-) | -Algunos linfomas de céls. grandes y algunas céls. grandes de linfomas foliculares pueden ser positivos. |
| CD15 | -Céls. L&H (-) | - (-) |
| CD45 | -Céls. L&H (+) | - LBRCT (e histiocitos ricos): céls. grandes atípicas positivas. |
| EMA | -Céls. L&H pueden ser positivas | - (-) |
| CD21 | -Numerosas céls. dendríticas foliculares sobre los nódulos. | -Nódulos de dendríticas en linfoma
folicular. -Ausencia de dendríticas en LBRCT. |
| CD57 | -Numerosas céls. T se disponen formando collaretes alrededor de las céls. L&H. | - Distribución al azar |
Según el rasgo morfológico predominante, el diagnóstico diferencial entre
EHPLN y LNH-B debe considerar:
a) Linfoma folicular
b) Linfoma de céls. grandes
c) LBRCT
d) Linfoma B rico en histiocitos.
e) LLC-B con céls. R-Soides.
LBRCT y linfoma B rico en histiocitos son LNH con patrón difuso,
predominio de céls. T y/o histiocitos y una minoría de céls. B tumorales. El dato
diferencial más importante con EHPL, es la ausencia completa de nodularidad, que puede
ser demostrada por técnicas inmunohistoquímicas (ver Fleming et al.,
1998) . También son útiles la observación de pequeños acúmulos de céls.
tumorales y la ausencia del patrón de céls. CD57 (+) propio de EHPL (si desea consultar
una revisión sobre CD57, consiga el trabajo de Arber DA y Weiss LM, 1995).
Los nódulos del linfoma folicular están compuestos predominantemente
por células atípicas (linfocitos maduros en los nódulos de predominio linfocítico). El
patrón de céls. CD57 (+) formando collaretes alrededor de céls. grandes atípicas es
propio de EHPL (Perfil IHQ tipo: Céls. L&H: CD45 (+), CD20 (+), CD15 (-), CD30
(+/-)). Además, si CD20 es positivo, CD45RA puede contribuir a la identificación del
tipo celular, ya que CD45RA sobre células grandes atípicas apoya EHPLN, mientras
que su negatividad no descarta este diagnóstico. El perfil antigénico de las céls.
L&H en las formas nodular y difusa de EHPL, es idéntico, aunque si varía, en cambio,
el patrón de céls. foliculares dendríticas y la cantidad de céls. T acompañantes,
superior en la forma difusa. EMA es positivo en las células L&H, pero aunque menos
frecuentemente, usted verá células de Hodgkin clásicas positivas si utiliza métodos
potentes de desenmascaramiento enzimático y también encontrará positividad en linfoma
anaplásico y otros linfomas T (ver Chittal et al., 1997,)
CD15, CD20 y CD30 poseen escaso valor en el diagnóstico diferencial
entre EHPLN y LNH-B. CD20 ayuda a resaltar las células L&H, pero inmunoblastos
reactivos (TPCG) y céls. grandes de diferentes linfomas (LBRCT, LCG, etc.) también son
positivos.
Otras entidades reactivas y tumorales, que deben ser incluidas en el
diagnóstico diferencial son la hiperplasia folicular reactiva con TPCG (ausencia de
céls. L&H) y la EH clásica, ya que por ejemplo las céls. lacunares pueden
mostrar gran semejanza a céls. L&H. La inmunohistoquímica ayudará aquí demostrando
que la mayoría de los linfocitos pequeños acompañantes son T en la enfermedad de
Hodgkin clásica, y B en EHPL.
Enfermedad de Hodgkin celularidad (EHCM) mixta versus linfoma
pleomórfico de céls. T (LPCT). ENFERMEDAD
DE HODGKIN CELULARIDAD MIXTA VS LINFOMA PLEOMÓRFICO DE CÉLULAS T
| ENF.HODGKIN CELULARIDAD MIXTA | LINFOMA T | |
| CD45 | -Céls. de Hodgkin (-) (excepciones) | -Céls. atípicas (+) 90% (10% negativas). |
| CD15 | -Céls. de Hodgkin (+) 80% | -Céls. atípicas (-). Ocasionalmente céls. R-Soides pueden ser positivas. |
| -Céls. de Hodgkin (+) 90% | -Céls. atípicas (-) 90% (10% positivas). | |
| CD3/CD45RO/CD43 | -Céls. de Hodgkin (-) (excepciones) | -Céls. atípicas (+) 90% |
| CD20 | -Céls. de Hodgkin (+) 20% | -Céls. atípicas (-) |
| CD40 | -Céls, de Hodgkin (+) 70% | -Céls. atípicas (-) 90% |
| p53 | -Céls. de Hodgkin (+) 90% | -Positividad variable, no restringida a céls. grandes R-Soides. |
El dato-guía histológico útil para diferenciar LPCT de EH, es el
reconocimiento de un espectro continuo de céls. atípicas de pequeño, mediano y gran
tamaño en el primero. Algunos linfomas periféricos de céls. T, como el tipo
linfadenopatía angioinmunoblástica y linfoma angiocéntrico, pueden mostrar céls.
R-Soides. El linfoma de Lennert (un tipo de linfoma T pleomórfico con céls. R-Soides en
un infiltrado difuso histiocítico con abundante celularidad reactiva acompañante) puede
asemejar EHCM, pero las células atípicas son CD45+ y muestran inmunofenotipo T. En la
EH, la mayoría de los linfocitos pequeños expresan un fenotipo normal de céls. T y las
células de Hodgkin son negativas para esos marcadores o expresan sólo algún Ag en una
minoría de células. Lo contrario ocurre en los linfomas de céls. T, donde la ausencia
aberrante de uno o más antígenos T es común. Aunque sin ánimo de confundir, la
literatura científica recoge casos excepcionales de linfomas T CD45RA(+)/CD45RO(-) y
CD20+.
En caso de positividad para CD15 en céls. R-Soides de linfomas T,
ésta suele ser en una minoría de células, con un patrón citoplásmico finamente
granular. En contraste, las células de Hodgkin y sus variantes muestran una tinción de
Golgi y de membrana característica. En la EH clásica con morfología típica, la
realización de estudios IHQ es opcional; la negatividad para CD15 o CD30 o la expresión
de marcadores B o T no excluye el diagnóstico.
Enfermedad de Hodgkin (EH) versus linfoma anaplásico de célula grande (LACG). ENFERMEDAD DE HODGKIN CLÁSICA VS LINFOMA ANAPLÁSICO DE CÉLULAS GRANDES
| ENF.DE HODGKIN CLÁSICA | L.A.C.G. | |
| (-) 90% (10% positivos) | (+) 50% (50% negativos) | |
| CD30 (Ki-1) | (+) 90% | (+) 100% casos, en la mayoría de las células tumorales. |
| CD15 | (+) 80% | (-) (excepciones) |
| CD3/CD43/ CD45RO |
(-) 90% | (+) 70% |
| CD20 | (-) 80% | (+) 20% (80% negativos) |
| panT + pan B | (-) 10-20% (NULL) | |
| EMA | (-) | (+) 60% (40% negativos) |
| CD68/lisozima | (-) | (-) (excepciones con KP1) |
| p80 | (-) | (+) |
| LMP-1 | (+) 20-70% | (+) 30-50% |
| p53 | (+) 90% | (+/-) |
A juicio de algunos autores existe un verdadero espectro biológico de
enfermedad entre EH y LACG. Ello hace que además de una morfología e inmunofenotipo
característico de ambas entidades existan numerosos casos de solapamiento entre ambos. En
caso de duda, las características morfológicas deben ser valoradas como de mayor
importancia que el inmunofenotipo. En el pasado, el LACG fue incorrectamente diagnosticado
como histiocitosis maligna (CD30 -, CD45 +, CD68 +, lisozima +), carcinoma (CK +, EMA +),
melanoma (S-100 +, CD30 +/-, CD45 -), sarcoma (CD45 -, CD30 +/-) o enfermedad de Hodgkin
(CD15+, CD30+). Todos estos tumores deben ser incluidos en el diagnóstico diferencial de
LACG. El patrón de tinción característico de LACG para CD30 es de membrana y región de
Golgi. Puede observarse tinción citoplasmática en células plasmáticas, algunos
carcinomas y melanoma, que deben ser considerados negativos. Pueden observarse muchas
células positivas en condiciones reactivas (mononucleosis infecciosa, linfadenitis de
Kikuchi, etc.) y otros linfomas, B y T, pueden ser CD30 + con diferente intensidad y
porcentaje de células teñidas: linfoma IB, linfoma CB, linfoma periférico de células
T, linfoma folicular, linfoma linfocítico de células pequeñas. La clasificación
REAL sólo acepta como LACG aquéllos de inmunofenotipo T o nulo, incluyendo aquellos
casos de inmunofenotipo B en el grupo de linfomas de células grandes B y el borrador de
la clasificación de la OMS incluye un subapartado de linfoma difuso de célula grande B,
anaplásico. Conviene tener presente que se han descrito algunos LACG CK + y algunos
carcinomas CD30 +.
En 1994, Shiota et al, produjeron un anticuerpo
policlonal (anti-p80) contra el dominio tirosina kinasa de ALK en la proteína de fusión
ALK-NPM. Numerosos estudios han confirmado la sensibilidad y especificidad del Ac anti-p80
en identificar LACG expresando ALK, mientras que la incidencia de enfermedad de Hodgkin
con t(2;5) es muy baja.
El LACG tipo Hodgkin es una categoría provisional considerada
por la clasificación REAL, muy rara, con patrón de crecimiento sinusoidal y cohesivo
pero con arquitectura propia de EHEN variante sincitial o EHDL tipo reticular. El
inmunofenotipo es el propio de LACG, LMP-1 negativo. El LACG primario cutáneo suele ser
EMA negativo y antígeno linfocitario cutáneo (CLA, HELA-452) positivo, al revés que la
forma sistémica, más agresiva. Hemos anotado en la tabla que antecede que la enfermedad
de Hodgkin clásica es negativa para eMA, pero no debe usted asombrarse si utilizando
potentes métodos de desenmasaramiento antigénico obtiene positividad en algunos casos.
Con el incremento en la sensibilidad de la demostración de diferentes
Ac, el número de casos de enfermedad de Hodgkin positivo para marcadores B va
progresivamente en aumento. Ello, y estudios moleculares como el de Orazi
A, 1995, apoyan en la actualidad fuertemente un origen en células B para una
proporción importante de casos de enfermedad de Hodgkin.
En resumen, el inmunofenotipo clásico (LACG: CD45 +, CD30 +, pan
T +/-, CD15 -)(EH: CD45 -, CD30 +, pan T - , CD15 +) está sujeto a numerosas excepciones.
El patrón de inmunotinción para p53 es propio de cada entidad, estando restringido en la
enfermedad de Hodgkin a células HR-S (ver ,Álvaro et al. 1996).
Linfoma no Hodgkin de céls. B (LNH-B) versus linfoma no Hodgkin de céls. T (LNH-T). LINFOMA DE CÉLULAS B VS LINFOMA DE CÉLULAS T
| LINFOMA B | LINFOMA T | |
| Los linfomas linfoblásticos B y
T pueden ser morfológicamente idénticos, pero son enfermedades clínicamente
distintas. + : Tdt, CD10, CD20 + : Tdt, CD1a, CD3, CD5 - : Ig, CD1, CD3, CD5 - : Ig, CD20, CD10 -/+ |
||
| Linfoma difuso mixto de céls. pequeñas y grandes | + : Ig monoclonal, CD45, CD45RA, CD20.
- : CD3, CD45RO, CD5 . CD5 se encuentra en numerosos linfomas B de bajo grado. |
+: CD45, CD3, CD45RO, CD5
-: CD45RA, CD20, Ig |
| Linfoma de células grandes | - Excepciones tanto en linfomas B
como T en la expresión de CD45RA y CD45RO. Algunos linfomas T pueden ser CD15+, y
algunos, tanto B como T, CD30+. - CD45RA, CD45RO y CD43 no son enteramente línea-específicos. + : Ig mono, CD45, CD20 + : CD45, CD3 - : CD3 - : Ig, CD20 |
|
| Linfoma de céls. del manto | + : Ig mono, CD20, CD5 - : CD3 |
(+ : CD3, CD5 +/- - : Ig, CD20) |
La distinción entre linfomas B y T no es siempre
clínicamente relevante, pero constituye un prerrequisito para el reconocimiento de
entidades biológicas, ensayos clínicos, investigación, etc. Además la
subclasificación de los linfomas difusos B de células grandes (centroblástico,
inmunoblástico, etc.) se ha mostrado escasamente reproducible y carente de significación
terapéutica y pronóstica. Dentro del grupo de linfomas difusos mixtos de células B se
incluyen linfoma linfoplasmocitoide, linfoma de céls. del centro folicular, LLC-B y
LBRCT, y dentro del grupo de los de células T, la mayoría de linfomas periféricos de
células T.
Probablemente el marcador más extendido para reconocer linfocitos B
maduros (no células plasmáticas ni sus proliferaciones o tumores) sea el CD20, una
fosfoproteína no glicosilada de membrana. También es útil en el diagnóstico de
enfermedad de Hodgkin, tipo predominio linfocítico nodular, y conforme se van mejorando
las técnicas de desenmascaramiento, el número de casos positivos (células de Hodgkin y
de Reed-Stemberg) de enfermedad de Hodgkin clásica va en aumento. Entre el linfoma
linfoblástico B, aproximadamente la mitad son positivos, y deseamos insistir en la
negatividad de mielomas/plasmocitomas. Una fuente de posible error son los raros casos de
tumores mieloides que pueden ser positivos. Si usted desea realizar una revisión de este
marcador, encontrará una buena oportunidad de hacerlo leyendo el trabajo de Chang et al, de 1996. Para la detección
de enfermedad mínima residual de luecemia linfoblástica aguda, CD79a se ha revelado como
de mayor utilidad que CD20 (ver Brousset P et al, 1996).
Tal y como queda dicho en otro sitio, CD5, un marcador de células T,
suele ser positivo en varios linfomas B de bajo grado, como LLC-B, linfoma linfocítico de
células pequeñas y linfoma de células del manto, y negativo en otros, como linfoma
folicular. CD43 es positivo frecuentemente en linfomas difusos B y LLC-B y generalmente
negativo en linfoma folicular.
Los marcadores que identifican fracción de crecimiento (Ki-67,
Mib-1, PCNA,....) pueden ser útiles en la clasificación en bajo, intermedio y alto grado
de malignidad, y en la identificación de subgrupos de mayor agresividad entre los
linfomas de bajo grado.
Subclasificación de linfomas de céls. B de bajo grado de malignidad (LNH-B b.g.m.). SUBCLASIFICACIÓN DE LINFOMAS B DE BAJO GRADO DE MALIGNIDAD
| Linfoma linfocítico de céls. Pequeñas/ LLC | Linfoma de células del manto | Linfoma de células del centro folicular | Linfoma B de b.g.m. asociado a mucosas | Linfoma B monocitoide | Linfoma linfoplasmo citoide | |
| SIg | + |
+ |
+ |
+ |
+ |
+ |
| CIg | +/- |
- |
- |
+/- |
+ |
+ |
| CD5 | + 90% |
+ 80% |
- |
- |
- |
+ 40% |
| CD10 | - |
+/- |
+ |
- |
- |
- |
| CD23 | + 90% |
- |
+/- |
- 85% |
- 85% |
- 85% |
| CD43 | + 80% |
+ 60% |
- |
- 70% |
- 70% |
+ 60% |
-/+ |
+ |
- |
- |
- |
- |
|
| BCL-2 | + |
+ |
+ |
+ |
+ |
+ |
| CD20 | + |
+ |
+ |
+ |
+ |
+ |
La disponibilidad de una serie de marcadores inmunohistoquímicos en
material en parafina han contribuido a la explotación diagnóstica de los perfiles
propios de cada linfoma B de bajo grado. El uso combinado de Ig de superficie, CD5, CD10,
CD23 y CD43, permiten establecer correctamente la identidad precisa de la mayoría de los
casos.
Los Ac que detectan CD5 fueron originalmente descritos como marcadores
T. Posteriormente se demostró que un subgrupo de linfocitos circulantes B y algunos casos
de leucemia y linfoma B de bajo grado eran positivos. El valor de la detección de CD5 en
el diagnóstico y la clasificación de linfomas y leucemias T, así como linfomas B de
bajo grado es revisado extensamente por Arber et al, 1995. Aunque
la mayoría de linfomas difusos de células pequeñas hendidas son linfomas de células
del manto, un pequeño grupo CD5 - y ciclina D1 -, pueden ser linfomas de células
del centro folicular (linfoma centrocítico). Algunos linfomas de células del manto
pueden mostrar patrón folicular y algunos de células del centro folicular, patrón
difuso. LLC-B y linfoma de céls. del manto son CD5+, pero la expresión de CD23 suele
encontrarse en LLC y no en linfoma de céls. del manto. Además el último es ciclina D1+,
anticuerpo difícil de demostrar y que puede beneficiarse de maniobras adicionales de
desenmascaramiento (Brynes et al., 1997).
En tracto gastrointestinal y otras localizaciones extranodales la
diferenciación de linfoma tipo MALT versus poliposis linfomatosa (LCM) puede hacerse en
base a CD5, CD43 y Ciclina D1. La infiltración por LCCF se caracteriza por CD10+, CD43 -,
CIg -, exactamente al contrario que MALT. Una buena revisión de la utilidad de los
estudios inmunofenotípicos en el diagnóstico de linfoma MALT y otros linfomas de bajo
grado de localización extranodal puede encontrarse en Dorfman y
Pinkus, 1995. .
El mieloma y plasmacitoma se caracterizan por un acúmulo de células
plasmáticas con diferente grado de maduración, CD45 -, CD20 -, Ig mono, EMA +.
Linfomas capaces de demostrar diferenciación hacia células plasmáticas (no linfoma
linfoplasmocitoide) son LLC, linfoma de céls. del manto, linfoma B monocitoide, linfoma
tipo MALT y linfoma folicular.
Un grupo de linfomas B de bajo grado entre los que se incluyen aquellos
de tipo MALT, linfoma ganglionar de células B monocitoide y linfoma espénico de zona
marginal, pueden mostrar una apariencia monocitoide y han sido agrupados bajo el término
linfoma B de zona marginal (ver Dierlamm J, et al, 1996). Además.
algunos otros linfomas pueden ocasionalmente presentarse con ese aspecto, incluso linfoma
de células del centro folicular.
La leucemia de células peludas exhibe una citomorfología que puede
ser indistinguible de linfoma B monocitoide y un inmunofenotipo con Ig monoclonal, CD20 +,
CD11c +, CD25 +. Encontrará una magnífica revisión sobre CD20 en el trabajo de Chang et al, de 1996.
Por último, un error grosero de interpretación sobre una mala
preparación de linfoma linfoblástico puede conducir a confusión con linfoma
linfocítico de células pequeñas. La clave morfológica está en las mitosis y la
inmunohistoquímica en el índice de prolferación (Ki67 u otro). También de ayuda
resultará el CD10, una revisión del cual encontrará en Arber y Weiss, 1997.
Subclasificación de linfomas no Hodgkin de céls. T (LNH-T). SUBCLASIFICACIÓN DE LINFOMAS DE CÉLULAS T. (Excepto micosis fungoide, LACG, y linfoma angiocéntrico).
| Linfoma linfoblástico T | LLC-T leucemia pro-linfocítica T | Linfoma periférico de céls. T | Linfoma céls. T angio-inmunoblástico | Linfoma/leucemia céls. T adulto | |
| Tdt | + |
- |
- |
- |
- |
| CD1a | +/- |
- |
- |
- |
- |
| CD3 | + |
+ |
+/- |
+ |
+ |
| CD5 | +/- |
+ |
+/- |
+ |
+ |
| CD7 | + |
+ |
+/- |
+ |
- |
| CD20 | - |
- |
- (excepciones) |
- |
- |
Los linfomas linfoblásticos T son tumores estrechamente relacionados
con la leucemia linfoblástica aguda, aunque ambos poseen algunas diferencias
inmunofenotípicas. En el caso de los linfomas, la demostración de Tdt es la norma, lo
que les diferencia netamente del resto de los linfomas del grupo. Una extensa revisión de
los métodos de detección y las aplicaciones diagnósticas de la Tdt pueden encontrarse
en el trabajo de revisión de Chilosi, 1995.
Subclasificación de linfomas no Hodgkin de céls. B de alto grado de malignidad (LNH-B a.g.m.). SUBCLASIFICACIÓN DE LINFOMAS B DE ALTO GRADO DE MALIGNIDAD
| Linfoma linfoblástico B | Linfoma Burkitt | Linfoma tipo Burkitt | Linfoma de células grandes | LCM variante blástica | Mieloma de céls plasmáticas (plasmablástico y pleomórfico) | |
| Ig | - |
+ |
+/- |
+ 75% |
+ |
+ |
| Tdt | + |
- |
- |
- |
- |
- |
| CD10 | + |
+ |
- (excep.) |
- 75% |
+/- |
+/- |
+ (*) |
+ |
+ |
+ |
+ |
- |
|
| CD5 | - |
- |
- |
- |
+ |
- |
| CD45 | + 80% |
+ |
+ |
+ (excep.) |
+ |
+/- |
| CD30 | - |
- |
+/- |
+/- |
||
| Leu8 | - |
+ |
||||
| bcl-2 | - |
+/- |
+ 30% |
- |
||
| Ciclina D1 | - |
+ |
||||
| EMA | - |
- |
- |
-/+ |
- |
+ |
Un tumor de células grandes CD45 - y EMA + (incluso CK +)
puede ser un linfoma, especialmente plasmacitoma y LACG. En el mieloma se observa una
colección tumoral de céls. plasmáticas atípicas monoclonales con depósitos intra- y
extracelulares de Ig, CD45 -, CD20 -, CD79a +, CD38 +, PCA-1 +. Ocasionalmente positividad
para: CD43, CD45RO, EMA, CK, CD10, CD15, CD3 y CD56. Los diferentes síndromes
linfoproliferativos capaces de expresar positividad para EMA son discutidos extensamente
en Chittal et al., 1997. La ausencia de especificidad de VS38, que
además de en mieloma y plasmacitoma puede observarse en gran número de carcinomas,
melanomas, sarcomas y algunos tumores neuroendocrinos, es recogida por Thomas
et al., 1997.
(*) 85% de los linfomas linfoblásticos son tumores de células T (CD1,
CD3, CD43, CD5) y algunos CD57. El criterio morfológico más importante en el
diagnóstico diferencial entre linfoma linfoblástico y linfoma de Burkitt es el patrón
cromatínico: cromatina muy fina en el primero y granular y grumosa en el último. Además
Tdt e Ig de superficie ayudarán a identificar cada uno, aunque raros casos de linfoma
linfoblástico B poseen Ig de superficie y son Tdt negativos. La negatividad para CD5
permite diferenciarlos de la variante blástica de linfoma de células del manto. Por fin,
bcl-2 puede ayudar a distinguir entre linfoma de Burkitt (generalmente negativo) y linfoma
de células grandes con patrón en cielo estrellado (más del 70% de los casos positivos).
Identificación de linfomas no Hodgkin de células T (LNH-T). IDENTIFICACIÓN DE LINFOMAS T
LLC-T |
LLC-B |
|
| Ig | - |
+ |
| CD20 | - |
+ |
| CD3 | + |
- |
| CD5 | +/- |
+ |
Linfoma linfoblástico T |
Linfoma linfoblástico B |
|
| Ig | - |
- |
| CD20 | - |
+/- |
| CD10 | +/- |
+ |
+/- |
- |
|
| CD5 | +/- |
- |
| CD1a | +/- |
- |
| Tdt | + |
+ |
Linfoma difuso mixto, de células pequeñas y grandes T |
Linfoma difuso mixto, de células pequeñas y grandes B |
|
| Ig | - |
+ |
| CD20 | - |
+ |
| CD10 | - |
+/- |
| CD3 | + |
- |
| CD5 | +/- |
+/- |
| CD45RA | +/- |
+ |
| CD45RO | + (excepc.) |
- (excepc.) |
| CD15 | +/- |
- |
Micosis fungoide (MF) vs linfoma cutáneo de células T (LCCT). MICOSIS FUNGOIDE VS LINFOMA CUTÁNEO DE CÉLULAS T DE BAJO GRADO DE MALIGNIDAD
| Micosis fungoide/SS | Linfoma/leucemia céls. T del adulto | Reticulosis pagetoide | Linfoma pleomórfico células T | |
| CD4 | + 90% (a b ) |
+ |
+ 40% |
|
| CD8 | - (6% +) |
- |
+ 50% |
|
| CD45RO | + |
+ |
- |
|
| CD103 (HML-1) |
+ |
|||
+ |
+ |
+ |
||
| CD5 | + |
+ |
+ |
|
| CD7 | - |
- |
+/- |
|
| Leu8 | - |
+ |
La micosis fungoide es un linfoma T de células pequeñas
cerebriformes con epidermotropismo leve a moderado. El cuadro, en estadíos iniciales, es
inespecífico e indiferenciable de una dermatitis. La dermatitis inducida por drogas y el
reticuloide actínico pueden ofrecer un cuadro morfológico indistinguible de la micosis
fungoides, incluso con presencia de células atípicas circulantes. Los linfocitos T de
las dermatosis benignas pueden ser CD7 -, Leu8 -, por lo que la pérdida de Ag no puede
ser utilizada como marcador de malignidad en linfoma cutáneo. Estas son las conclusiones
de los dos trabajos incluidos en la bibliografia de Smoller et al.,
1995, que insisten en que los estudios inmunofenotípicos en fases iniciales de
micosis fungoides poseen un valor limitado, adquiriendo sobre todo un valor confirmatorio
en aquellos casos en que la morfología sola es dudosa. La reticulosis pagetoide se
corresponde con un linfoma T de células pequeñas cerebriformes con acentuado
epidermotropismo. El linfoma pleomórfico de células T está compuesto por células
pequeñas con intenso pleomorfismo y no epidermotropas.
Linfoma compuesto (L. Comp.)versus síndrome de Richter (SRi.) y otras combinaciones
histológicas LINFOMA COMPUESTO VS
SÍNDROME DE RICHTER Y OTRAS COMBINACIONES HISTOLÓGICAS
Definiciones:
Linfoma compuesto: Dos tipos diferentes de LNH, o
bien enfermedad de Hodgkin y LNH en el mismo órgano o tejido.
Linfoma discordante: Dos tipos diferentes de LNH, o bien
enfermedad de Hodgkin y LNH en diferentes localizaciones del mismo paciente y de forma
simultánea.
Linfoma secundario: Dos tipos diferentes de LNH, o
bien EH y LNH en diferente localización del mismo paciente con presentación de forma
secuencial.
Síndrome de Richter: LCG que se desarrolla a partir de una
LLC. También EH coexistiendo con LLC.
Progresión, Evolución, Tranformación: Pacientes con
biopsia inicial de linfoma de bajo grado (ej: linfoma linfocítico difuso, linfoma
folicular de células pequeñas hendidas o mixto) que en biopsias sucesivas muestran un
cuadro morfológico de linfoma de células grandes (y, ocasionalmente, linfoma
linfoblástico o linfoma de células pequeñas no hendidas).
| Linfomas compuestos | Síndrome de Richter | ||
| Linfoma B y B | EH y LNH | Síndrome de Richter | |
| Combinaciones | . Muy raro B y T (diag. dif. LBRCT).
. Linfoma folicular de céls. pequeñas hendidas y linfoma difuso de céls. grandes es la combinación más frecuente. |
. EHPLN+LCG . EH clásica + linfoma folicular. . EH clásica +MF o linfoma/leucemia de céls. T del adulto. |
. LLC: CD5 + .Linfoma céls. grandes: CD5 -. . LLC + EH |
| Morfología e inmunofenotipo |
. Los dos linfomas están claramente
separados. . Céls. pequeñas hendidas. . CD5 - |
. La propia de cada entidad.
. Céls. R-S: CD15+, CD30 +, CD45 -. . Céls. R-Soides: CD15 +/-, CD30 +/-, CD45 +. |
. Los linfocitos de la LLC se entremezclan
con las céls grandes del linfoma. . Céls. de LLC redondas. . CD5 + en población céls. pequeñas. |
Dependiendo del nº de céls. grandes requerido para el
diagnóstico, la incidencia de transformación en material de autopsia de MF va del 6-33%.
La transformación suele asociarse a pérdida de expresión de marcadores T y positividad
para CD30.
Sarcoma granulocítico (Sarc. G.) vs. linfoma histiocítico verdadero
(LHV) versus leucemia/linfoma linfoblástico (LLB). SARCOMA GRANULOCÍTICO VS LINFOMA
NO HODGKIN
| Sarcoma granulocítico | Linfoma histiocítico verdadero | Linfoma linfoblástico | |
| Cloroacetato esterasa |
+ (75%) |
- |
- |
| PAS | - |
+/- |
+ |
| Tdt | - (excepciones) |
- |
+ |
| CD10 | - |
- |
+ |
| Mieloperoxidasa | + |
+/- |
- |
| CD11c | + |
+/- |
- |
| CD15 | + (50%) |
+ |
- |
| CD30 | - |
+ |
- |
| CD43 | + |
+ |
+ |
| CD45 | + |
+ (débil) |
+ |
| CD68 | + |
+ |
- |
| Lisozima | + (90%) |
+ |
- |
| a -1 antitripsina | + |
+ |
- |
El dato morfológico clave del sacroma grnulocítico es la presencia de
mielocitos eosinofílicos, ya que la observación de granulocitos maduros o inmaduros no
es patognomónica. El diagnóstico de Sarc. G. no suele plantear dificultades en pacientes
con historia previa de leucemia mieloide. En su ausencia, y debido a la eventual
positividad IHQ para Ac de línea T y/o B, son frecuentemente mal diagnosticados como LNH
(en algunos estudios de revisión, hasta el 75%), melanoma o carcinoma indiferenciado. La
apariencia plasmocitoide de los mielocitos puede asemejar un mieloma múltiple y un
elevado índice mitótico con patrón en cielo estrellado del Sarc. G. puede asemejar
linfoma linfoblástico o linfoma de Burkitt. Granulaciones y Leder + también se ven en la
mastocitosis.
Inmunohistoquímicamente, una gran variedad de Ag pueden ser
demostrados en Sarc. G: S-100, CD45RO, CD3 y más raramente CD20, Ki-B3, CD74 y MB2.
[Índice] [Marcadores] [Linfomas_NH] [Enf._Hodgkin] [Prolif._histiocitarias] [Sd. linfoprolif._esplenicos] [Extranodales] [Dg._práctico] [Bibliografía] [Iconografía] |