
Dr. Tomás Álvaro Naranjo, Dr. Ramón Bosch Príncep, Dra. Salomé Martínez González, Dra. Mª Teresa Salvadó Usach
8.- Características inmunohistoquímicas de los síndromes
linfoproliferativos extranodales y MALT
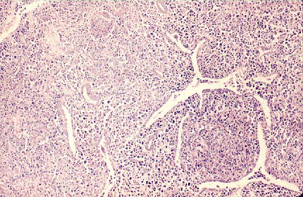
| La biopsia pulmonar muestra un denso infiltrado linfoide que atrapa las estructuras epiteliales que delimitan hendiduras. Linfoma MALT, pulmón. |
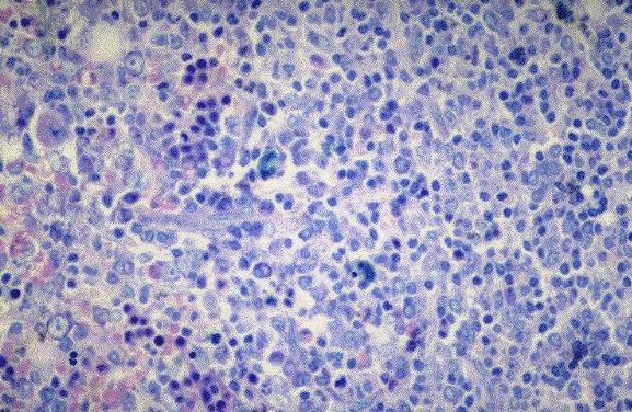
| Médula ósea de paciente con infección por VIH. Hiperplasia linfoide medular en forma de agregados linfoides polimorfos, que puede ser confundida con linfoma. |
| Restricción de cadenas ligeras de tipo Kappa. Linfoma esplénico de zona marginal. Infiltración ganglionar Kappa. |
[Índice] [Marcadores] [Linfomas_NH] [Enf._Hodgkin] [Prolif._histiocitarias] [Sd. linfoprolif._esplenicos] [Extranodales] [Dg._práctico] [Bibliografía] [Iconografía] |