
Dr. Tomás Álvaro Naranjo, Dr. Ramón Bosch Príncep, Dra. Salomé Martínez González, Dra. Mª Teresa Salvadó Usach
7.- Características inmunohistoquímicas de los síndromes
linfoproliferativos esplénicos
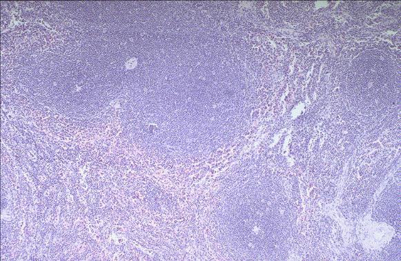
| Bazo. PAS. Imagen a pequeño aumento que muestra la infiltración de pulpa blanca y pulpa roja. Los nódulos en pulpa blanca están rodeados por un halo pálido que se corresponde a la zona marginal. Linfoma primario esplénico de zona marginal. |
| Bazo. Linfoma folicular mostrando manguitos de células claras perifoliculares. |
| Patrón micronodular. Bazo. Linfoma de células del manto. |
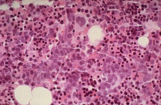
| Linfoma T gamma/delta hepatoesplénico. Infiltración medular por células linfoides de tamaño intermedio con citoplasma pálido y núcleo irregular. |
[Índice] [Marcadores] [Linfomas_NH] [Enf._Hodgkin] [Prolif._histiocitarias] [Sd. linfoprolif._esplenicos] [Extranodales] [Dg._práctico] [Bibliografía] [Iconografía] |