
Dr. Tomás Álvaro Naranjo, Dr. Ramón Bosch Príncep, Dra. Salomé Martínez González, Dra. Mª Teresa Salvadó Usach
5.- Características inmunohistoquímicas de la enfermedad de
Hodgkin
| La presencia exclusiva de células T CD57+ alrededor de las células L&H establece un criterio inmunohistoquímico adicional diagnóstico en la EHPLN. CD57. |
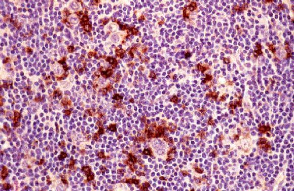
| CD15. Enfermedad de Hodgkin tipo esclerosis nodular. |
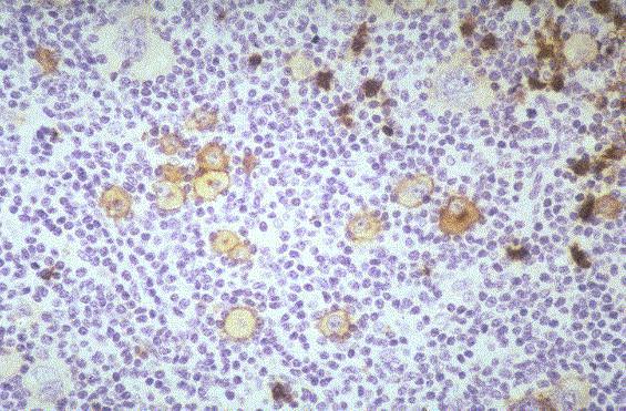
| Enfermedad de Hodgkin tipo celularidad mixta en paciente de 26 años, VIH+, con adenopatías, fiebre y pérdida de peso. Gran parte de las células atípicas son positivas para LMP-1 del VEB. |
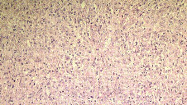
| Depleción linfocítica: fibrosis difusa. Enfermedad de Hodgkin |
[Índice] [Marcadores] [Linfomas_NH] [Enf._Hodgkin] [Prolif._histiocitarias] [Sd. linfoprolif._esplenicos] [Extranodales] [Dg._práctico] [Bibliografía] [Iconografía] |