
Dr. Tomás Álvaro Naranjo, Dr. Ramón Bosch Príncep, Dra. Salomé Martínez González, Dra. Mª Teresa Salvadó Usach
El inmunofenotipo de los tumores hematopoyéticos puede estudiarse de
dos formas, ya sea por citometría de flujo o por inmunohistoquímica. Cada una debe ser
utilizada en función de los factores asociados al caso particular problema, dependiendo
de las características de la enfermedad, la distribución de los Ag (nucleares,
citoplásmicos o de superficie) y el tipo de muestra disponible para estudio.
Los métodos inmunoquímicos pueden realizarse sobre extensiones
citológicas, sobre tejido congelado o sobre bloques de tejido parafinados. Todos ellos
son complementarios, cada uno posee sus ventajas e inconvenientes y el lector interesado
en ellos debe recurrir a la abundante literatura científica específica disponible al
respecto. El enfoque de este apartado de la conferencia se centra sobre una selección de
marcadores especialmente útiles en el estudio de síndromes linfoproliferativos sobre
tejido fijado en formol e incluido en parafina, por ser esta la situación más común
ante la que se encuentra el patólogo.Cabe señalar aquí que la incorporación de nuevos
Ac que funcionan correctamente en parafina, junto al avance en el conocimiento de métodos
de desenmascaramiento antigénico, han hecho que los estudios en congelación hayan
quedado restringidos a situaciones específicas, pudiendo estudiarse hoy correctamente la
mayoría de los síndromes linfoproliferativos y entidades relacionadas sobre tejido
procesado de forma rutinaria. Las ventajas de esta situación son una mayor facilidad de
manejo y disponibilidad de material, el análisis retrospectivo sobre material de archivo
y la mejor conservación arquitectural y citológica de la lesión objeto de estudio.
Marcadores linfoides versus no linfoides
Marcadores de linfocitos B y sus tumores
Los marcadores inmunohistoquímicos útiles para distinguir una
proliferación linfoide B maligna de una reactiva son la restricción de cadenas ligeras,
la ausencia de ag expresados en condiciones normales y la expresión anormal de Ag.
En condiciones normales la cantidad de células que expresan cadena
ligera de tipo kappa es como mínimo el doble que las que tienen lambda, por lo que un
predominio de las últimas debe ser interpretada con un alto índice de sospecha. La
restricción de cadena ligera de tipo kappa o lambda es un marcador fiable de malignidad,
lógicamente en un contexto clínico apropiado (existen expansiones B monoclonales
asociadas a estados de inmunodeficiencia que no se comportan clínicamente como malignas
y, de forma excepcional, es posible identificar restricción de cadenas ligeras en
lesiones benignas).
La ausencia de Ag normalmente expresados por células B es otro
indicador de malignidad. Alrededor del 25% de linfomas B no expresan Ig y la ausencia de
cualquiera de CD19, CD20, CD22 ó CD24 en una proliferación linfoide B puede ser
considerada como un inmunofenotipo aberrante. La excepción corresponde a las células
plasmáticas que, al representar células B plenamente maduras no expresan CD20 ni CD22.
De gran interés es la expresión anómala de un Ag, que constituye por
sí sola indicador fiable de malignidad. Tal el vez el ejemplo más claro sea la
expresión de CD5, un marcador de células T que se encuentra en LLC-B y linfoma del
manto. Lo mismo ocurre con CD43, otro marcador T que no es expresado normalmente por
células B. Tampoco CD10 es expresado habitualmente por las células del centro germinal,
pero sí por linfoma folicular, lo que puede ser utilizado en el diagnóstico diferencial
entre linfomas de bajo grado con patrón folicular. Como queda dicho, todos estos
marcadores funcionan en la actualidad perfectamente en material parafinado.
La siguiente tabla recoge de forma sinóptica información clave
referente a patrones de reactividad, precauciones y
datos interpretativos de algunos marcadores B.
Marcadores de los linfocitos T y sus tumores
Los hallazgos inmunohistoquímicos que permiten distinguir entre una
proliferación linfoide T maligna y una reactiva son la ausencia de uno o más Ag t
expresados en condiciones normales, la coexpresión CD4/CD8 en otrs localizaciones
distintas al timo y la expresión anómala de ag, como Tdt ó CD1 fuera del timo.
La interpretación de inmunofenotipo aberrante en la micosis fungoide
es peculiar, ya que CD7 se pierde también en células T benignas de lesiones
inflamatorias de la piel
Marcadores de histiocitos, células dendríticas y sus
proliferaciones y tumores
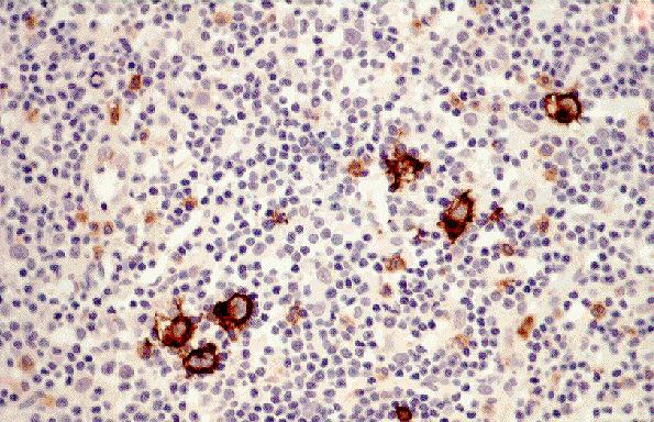
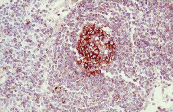
Marcadores asociados a enfermedad de Hodgkin
La enfermedad de Hodgkin es una entidad clínico-patológica que
se caracteriza por una población celular predominantemente reactiva que acompaña a las
células que verdaderamente constituyen el tumor.
Los estudios inmunohistoquímicos muestran una clara diferencia entre
el subtipo predominio linfocítico y el resto de subtipos, que constituyen lo que se
conoce como "formas clásicas" de enfermedad de Hodgkin. El reconocimiento del
linfoma anaplásico de células grandes como una entidad clínico-patológica ha hecho
desaparecer prácticamente el subtipo deplección linfocítica de enfermedad de Hodgkin.
[Índice] [Marcadores] [Linfomas_NH] [Enf._Hodgkin] [Prolif._histiocitarias] [Sd. linfoprolif._esplenicos] [Extranodales] [Dg._práctico] [Bibliografía] [Iconografía] |