
Dr. Tomás Álvaro Naranjo, Dr. Ramón Bosch Príncep, Dra. Salomé Martínez González, Dra. Mª Teresa Salvadó Usach
9.- Características inmunohistoquímicas de los síndromes
linfoproliferativos cutáneos
| Biopsia cutánea: infiltrado linfocitario nodular y serpiginoso. Linfoma/leucemia T del adulto asociado a HTLV-1 |
| Infiltrado linfocitario denso que muestra un vago patrón nodular que alcanza la hipodermis. El infiltrado se distribuye como lo que se ha definido como "top heavy" como contrapartida al patrón "bottom heavy" en donde el infiltrado afecta fundamentalmente las zonas dérmicas más profundas. Se observa que la dermis papilar subepidérmica está libre de infiltración (Grenz zone). Linfoma de células de la zona marginal cutáneo primario. |
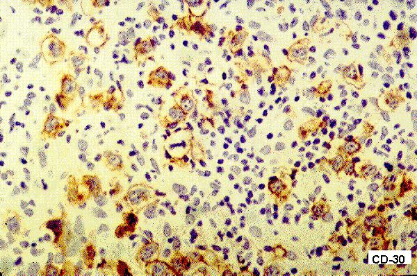
| Papulosis linfomatoide: células Ki-1 +. CD30. |
| CD3. Micosis fungoide granulomatosa |
[Índice] [Marcadores] [Linfomas_NH] [Enf._Hodgkin] [Prolif._histiocitarias] [Sd. linfoprolif._esplenicos] [Extranodales] [Dg._práctico] [Bibliografía] [Iconografía] |