II Congreso Virtual Hispanoamericano de Anatomía Patológica

NEUROPATOLOGIA ENCEFALICA DEL SIDA

Dr. Manuel Gutiérrez Molina

Enviar Comentarios a este Trabajo

[INDICE]  [INTRODUCCIÓN]  [NEUROPT.PRIMARIA POR VIH]  [ENF. ASOC.VIH] [ETIOPATOG. DEMENCIA] [2ª VIRAL] [PARASITARIA] [MICOTICA] [BACTERIANA] [NEOPLASIAS] [CEREBROVASCULAR]  [BIBLIOGRAFíA]

LINFOMA

[ENCEFALITIS VIH] [LMP] [CMV] [TOXOPLASMOSIS] [CRIPTOCOCOSIS] [TBC] [LINFOMA]


mgut33.jpg (13453 bytes)

33.- Aspecto macroscópico de Linfoma afectando a ambos tálamos por la línea media.

Volver al texto

mgut34.jpg (35906 bytes)

34.-Aspecto microscópico con extensa necrosis.

Volver al texto

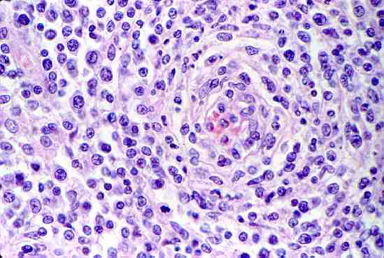
mgut35.jpg (30079 bytes)

35.- Disposición angiocéntrica del crecimiento tumoral.

Volver al texto

[ENCEFALITIS VIH] [LMP] [CMV] [TOXOPLASMOSIS] [CRIPTOCOCOSIS] [TBC] [LINFOMA]

[INDICE]  [INTRODUCCIÓN]  [NEUROPT.PRIMARIA POR VIH]  [ENF. ASOC.VIH] [ETIOPATOG. DEMENCIA] [2ª VIRAL] [PARASITARIA] [MICOTICA] [BACTERIANA] [NEOPLASIAS] [CEREBROVASCULAR]  [BIBLIOGRAFíA]


Contenido

E-mail info@conganat.org

CopyRight Manuel Gutiérrez Molina, 1998.
Última actualización: 01 noviembre 1998 22:09