II Congreso Virtual Hispanoamericano de Anatomía Patológica

NEUROPATOLOGIA ENCEFALICA DEL SIDA

Dr. Manuel Gutiérrez Molina

Enviar Comentarios a este Trabajo

[INDICE]  [INTRODUCCIÓN]  [NEUROPT.PRIMARIA POR VIH]  [ENF. ASOC.VIH] [ETIOPATOG. DEMENCIA] [2ª VIRAL] [PARASITARIA] [MICOTICA] [BACTERIANA] [NEOPLASIAS] [CEREBROVASCULAR]  [BIBLIOGRAFíA]

 

LEUCOENCEFALOPATIA MULTIFOCAL PROGRESIVA

[ENCEFALITIS VIH] [LMP] [CMV] [TOXOPLASMOSIS] [CRIPTOCOCOSIS] [TBC] [LINFOMA]


mgut06.jpg (21574 bytes)

6.- Aspecto macroscópico de lesión desmielinizante afectando a hemisferio cerebeloso.

Volver al texto

mgut07.jpg (22359 bytes)

7.- Apariencia de la severa desmielinización correspondiente a la lesión descrita en el apartado anterior en corte macro-microscópico teñido con Loyez en el que se aprecia la extensión al tronco.

Volver al texto

mgut08.jpg (21084 bytes)

8.- Afectación asimétrica en lóbulos frontales, con lesión necrótica cavitada de la substancia blanca de uno de los hemisferios.

Volver al texto

mgut09.jpg (16585 bytes)

9.- Corte macro-microscópico teñido con Loyez en el que se observan pequeñas lesiones situadas en el límite corticosubcortical difíciles de diferenciar de las placas de la Esclerosis Múltiple.

Volver al texto

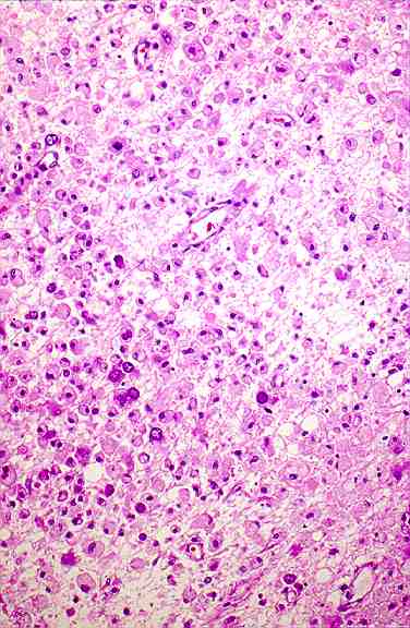
mgut10.jpg (37757 bytes)

10.- Aspecto microscópico con reacción microglial fagocítica y cariomegalias oligodendrogliales.

Volver al texto

mgut11.jpg (22617 bytes)

11.- Cariomegalia, basofilia y desestructuración cromatínica nuclear con apariencia en vidrio esmerilado. HE. 600x.

Volver al texto

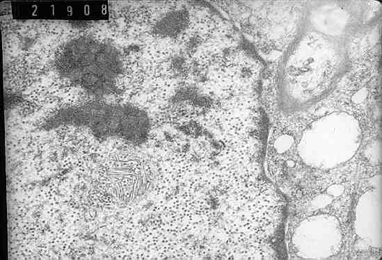
mgut12.jpg (27736 bytes)

12.- Núcleo oligodendroglial con numerosas partículas víricas, redondas y filamentosas.  32.000x.

Volver al texto

mgut13.jpg (21049 bytes)

13.- Detalle de la fotografía anterior, sobre la apariencia redondeada y filamentosa, característica de los virus Papova. 140.000x.

Volver al texto

[ENCEFALITIS VIH] [LMP] [CMV] [TOXOPLASMOSIS] [CRIPTOCOCOSIS] [TBC] [LINFOMA]

[INDICE]  [INTRODUCCIÓN]  [NEUROPT.PRIMARIA POR VIH]  [ENF. ASOC.VIH] [ETIOPATOG. DEMENCIA] [2ª VIRAL] [PARASITARIA] [MICOTICA] [BACTERIANA] [NEOPLASIAS] [CEREBROVASCULAR]  [BIBLIOGRAFíA]


Contenido

E-mail info@conganat.org

CopyRight Manuel Gutiérrez Molina, 1998.
Última actualización: 01 noviembre 1998 22:09