II Congreso Virtual Hispanoamericano de Anatomía Patológica

NEUROPATOLOGIA ENCEFALICA DEL SIDA

Dr. Manuel Gutiérrez Molina

Enviar Comentarios a este Trabajo

[INDICE]  [INTRODUCCIÓN]  [NEUROPT.PRIMARIA POR VIH]  [ENF. ASOC.VIH] [ETIOPATOG. DEMENCIA] [2ª VIRAL] [PARASITARIA] [MICOTICA] [BACTERIANA] [NEOPLASIAS] [CEREBROVASCULAR]  [BIBLIOGRAFíA]

TUBERCULOSIS

[ENCEFALITIS VIH] [LMP] [CMV] [TOXOPLASMOSIS] [CRIPTOCOCOSIS] [TBC] [LINFOMA]


mgut30.jpg (17574 bytes)

30.- Aspecto macroscópico de pseudotuberculoma.

Volver al texto

mgut31.jpg (42455 bytes)

31.- Característica lesión necrotizante Anérgica-Hiporreactiva.

Volver al texto

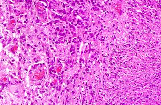
mgut32.jpg (38725 bytes)

32.-Reacción tisular parecida al tejido de granulación con ocasionales células plasmáticas. Ausencia de granulomas y de células gigantes.

Volver al texto

[ENCEFALITIS VIH] [LMP] [CMV] [TOXOPLASMOSIS] [CRIPTOCOCOSIS] [TBC] [LINFOMA]

[INDICE]  [INTRODUCCIÓN]  [NEUROPT.PRIMARIA POR VIH]  [ENF. ASOC.VIH] [ETIOPATOG. DEMENCIA] [2ª VIRAL] [PARASITARIA] [MICOTICA] [BACTERIANA] [NEOPLASIAS] [CEREBROVASCULAR]  [BIBLIOGRAFíA]


Contenido

E-mail info@conganat.org

CopyRight Manuel Gutiérrez Molina, 1998.
Última actualización: 01 noviembre 1998 22:09