II Congreso Virtual Hispanoamericano de Anatomía Patológica

NEUROPATOLOGIA ENCEFALICA DEL SIDA

Dr. Manuel Gutiérrez Molina

Enviar Comentarios a este Trabajo

[INDICE]  [INTRODUCCIÓN]  [NEUROPT.PRIMARIA POR VIH]  [ENF. ASOC.VIH] [ETIOPATOG. DEMENCIA] [2ª VIRAL] [PARASITARIA] [MICOTICA] [BACTERIANA] [NEOPLASIAS] [CEREBROVASCULAR]  [BIBLIOGRAFíA]

CRIPTOCOCOSIS

[ENCEFALITIS VIH] [LMP] [CMV] [TOXOPLASMOSIS] [CRIPTOCOCOSIS] [TBC] [LINFOMA]


mgut25.jpg (14856 bytes)

25.- Aspecto de la afectación encefálica con extensa desestructuración cortical y de la substancia blanca subcortical, que adoptan una apariencia gelatinosa.

Volver al texto

mgut26.jpg (23761 bytes)

26.- Lesiones en el Pallidum, de apariencia mucinosa y contornos redondeados muy nítidos correspondientes a colonias de Criptococos.

Volver al texto

mgut27.jpg (34074 bytes)

27.- Ocupación de los espacios perivasculares de Virchow-Robin por Criptococos, con distensión del mismo y ruptura de la barrera limitante encefálica. HE. 60x.

Volver al texto

mgut28.jpg (20596 bytes)

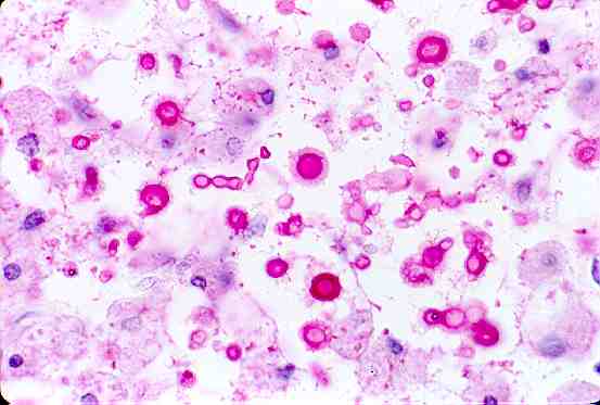
28.- Estructura microscópica del Criptococo neoformans, con variaciones en el tamaño de la célula y de sus distintos componentes .

Volver al texto

mgut29.jpg (15857 bytes)

29.- Célula Criptococócica, con núcleo y organelas citoplásmicas, rodeada de pared celular, espacio pericapsular y cápsula. 25.000x.

Volver al texto

[ENCEFALITIS VIH] [LMP] [CMV] [TOXOPLASMOSIS] [CRIPTOCOCOSIS] [TBC] [LINFOMA]

[INDICE]  [INTRODUCCIÓN]  [NEUROPT.PRIMARIA POR VIH]  [ENF. ASOC.VIH] [ETIOPATOG. DEMENCIA] [2ª VIRAL] [PARASITARIA] [MICOTICA] [BACTERIANA] [NEOPLASIAS] [CEREBROVASCULAR]  [BIBLIOGRAFíA]


Contenido

E-mail info@conganat.org

CopyRight Manuel Gutiérrez Molina, 1998.
Última actualización: 01 noviembre 1998 22:09