II Congreso Virtual Hispanoamericano de Anatomía Patológica

NEUROPATOLOGIA ENCEFALICA DEL SIDA

Dr. Manuel Gutiérrez Molina

Enviar Comentarios a este Trabajo

[INDICE]  [INTRODUCCIÓN]  [NEUROPT.PRIMARIA POR VIH]  [ENF. ASOC.VIH] [ETIOPATOG. DEMENCIA] [2ª VIRAL] [PARASITARIA] [MICOTICA] [BACTERIANA] [NEOPLASIAS] [CEREBROVASCULAR]  [BIBLIOGRAFíA]

TOXOPLASMOSIS

[ENCEFALITIS VIH] [LMP] [CMV] [TOXOPLASMOSIS] [CRIPTOCOCOSIS] [TBC] [LINFOMA]


mgut18.jpg (22135 bytes)

18.- Aspecto de lesión aguda necrotizante, con extensión al sistema ventricular.

Volver al texto

mgut19.jpg (29981 bytes)

19.- Aspecto microscópico de la extensa necrosis por coagulación, característica de este proceso.

Volver al texto

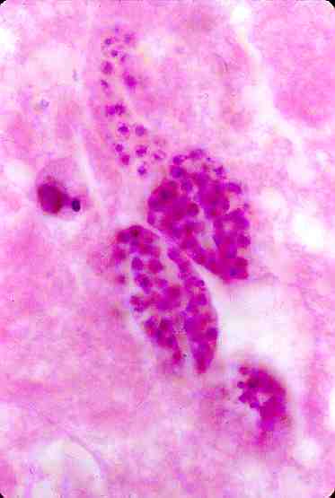
mgut20.jpg (12937 bytes)

20.- Aspecto microscópico del Toxoplasma con liberación de formas enquistadas.

Volver al texto

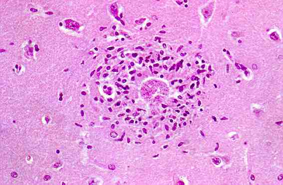
mgut21.jpg (25204 bytes)

21.-Encefalitis nodulillar con quiste toxoplásmico.

Volver al texto

mgut22.jpg (15186 bytes)

22 Aspectos macroscópico del incorrectamente llamado Absceso organizado.

Volver al texto

mgut23.jpg (22988 bytes)

23.- Aspectos microscópico del incorrectamente llamado Absceso organizado.

Volver al texto

mgut24.jpg (13821 bytes)

24.-Lesión residual en el límite córtico-subcortical de la circunvolución pericallosa.

Volver al texto

[ENCEFALITIS VIH] [LMP] [CMV] [TOXOPLASMOSIS] [CRIPTOCOCOSIS] [TBC] [LINFOMA]

[INDICE]  [INTRODUCCIÓN]  [NEUROPT.PRIMARIA POR VIH]  [ENF. ASOC.VIH] [ETIOPATOG. DEMENCIA] [2ª VIRAL] [PARASITARIA] [MICOTICA] [BACTERIANA] [NEOPLASIAS] [CEREBROVASCULAR]  [BIBLIOGRAFíA]


Contenido

E-mail info@conganat.org

CopyRight Manuel Gutiérrez Molina, 1998.
Última actualización: 01 noviembre 1998 22:09