II Congreso Virtual Hispanoamericano de Anatomía Patológica

NEUROPATOLOGIA ENCEFALICA DEL SIDA

Dr. Manuel Gutiérrez Molina

Enviar Comentarios a este Trabajo

[INDICE]  [INTRODUCCIÓN]  [NEUROPT.PRIMARIA POR VIH]  [ENF. ASOC.VIH] [ETIOPATOG. DEMENCIA] [2ª VIRAL] [PARASITARIA] [MICOTICA] [BACTERIANA] [NEOPLASIAS] [CEREBROVASCULAR]  [BIBLIOGRAFíA]

ENCEFALITIS VIH

[ENCEFALITIS VIH] [LMP] [CMV] [TOXOPLASMOSIS] [CRIPTOCOCOSIS] [TBC] [LINFOMA]


mgut01.jpg (16044 bytes)

1.- Aspecto macroscópico con moderada dilatación ventricular y aspecto grisáceo de la substancia blanca.

Volver al texto

mgut02.jpg (20903 bytes)

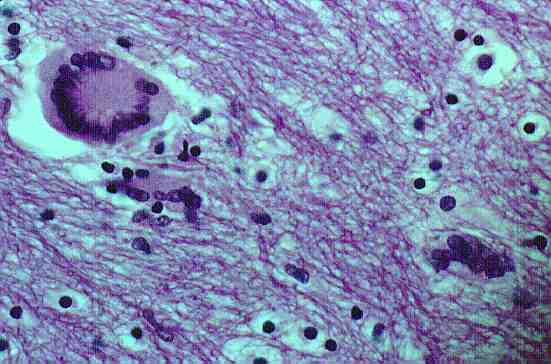
2.- Apariencia habitual de nodulillo con células multinucleadas, en corteza cerebral.

Volver al texto

mgut03.jpg (25978 bytes)

3.- Varias células multinucleadas en el contexto de un gran nodulillo microglial, situado en corteza cerebral.

Volver al texto

mgut04.jpg (47894 bytes)

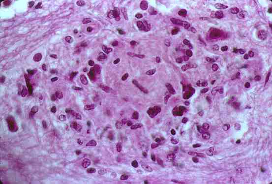
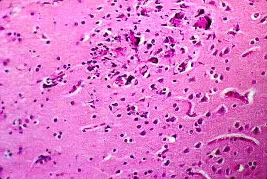
4.- Apariencia microgranulomatosa de una lesión en substancia blanca.

Volver al texto

mgut05.jpg (26556 bytes)

5.- Células multinucleadas en substancia blanca con diferente disposición de los núcleos, periféricamente en herradura y en acúmulo central

Volver al texto

[ENCEFALITIS VIH] [LMP] [CMV] [TOXOPLASMOSIS] [CRIPTOCOCOSIS] [TBC] [LINFOMA]

[INDICE]  [INTRODUCCIÓN]  [NEUROPT.PRIMARIA POR VIH]  [ENF. ASOC.VIH] [ETIOPATOG. DEMENCIA] [2ª VIRAL] [PARASITARIA] [MICOTICA] [BACTERIANA] [NEOPLASIAS] [CEREBROVASCULAR]  [BIBLIOGRAFíA]


Contenido

E-mail info@conganat.org

CopyRight Manuel Gutiérrez Molina, 1998.
Última actualización: 01 noviembre 1998 22:09