II-CVHAP.gif (16582 bytes)

Expresión morfológica de las Infecciones Fúngicas Graves.
Participación del Patólogo en el Diagnóstico

Ana Mª Puras-Gil

Comentarios

[Índice] [Introducción] [Diagnostico] [Aspergilosis] [Candidiasis] [Mucormicosis] [Criptococosis] [Histoplasmosis] [Cromoblastomicosis] [Identificación] [Conclusion] [Bibliografía]

[Iconografía_1] [Iconografía_2] [Iconografía_3

ICONOGRAFIA (3 DE 3)


15.JPG (21476 bytes)
Fig.15. Imagen macroscópica de Candidiasis esofágica.

16.JPG (51767 bytes)
Fig.16. Detalle citológico de una extensión conteniendo hifas y esporas de Cándida albicans (Giemsa, Neg. X 100)

 

17.JPG (21699 bytes)
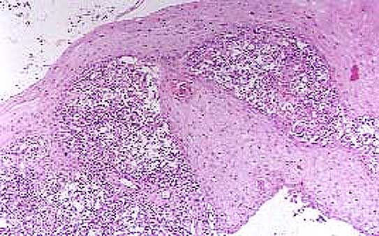
Fig. 17. Cripta gástrica invadida por Mucor (H.E., Neg. X 200)

 

18.JPG (46825 bytes)
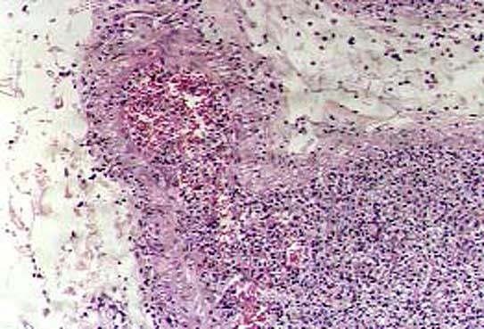
Fig. 18. Vaso sanguíneo invadido y ocupado por Mucor (H.E., Neg. X 40 )

 

19.JPG (53142 bytes)
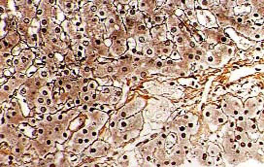
Fig. 19.  "Lesión quística", lacunar, con Criptococos en su interior, apenas perceptibles con la técnica de reticulina, con la que se identifica la arquitectura hepática (Reticulina, Neg. X 200)

 

20.JPG (28254 bytes)
Fig. 20. Ulceraciones con tejido de granulación exuberante, en extremidades inferiores, características de la Cromoblastomicosis

 

21.JPG (55713 bytes)
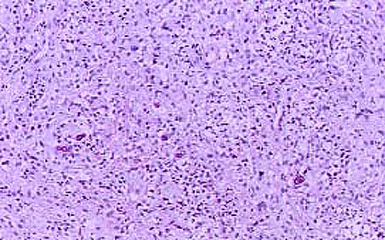
Fig. 21. Hiperplasia seudoepiteliomatosa en la Cromoblastomicosis, con microabscesos intraepidérmicos (H.E., Neg. X 40)

 

22.JPG (51846 bytes)
Fig. 22. "Cuerpos fumagoides", en mórula, pertenecientes a hongos causales de la Cromoblastomicosis, que muestran una pared de doble contorno y tabiques transversales, hallándose dispuestos en grupos de 2 ó 3 elementos (PAS, Neg. X 160 ).

 

 

[Iconografía_1] [Iconografía_2] [Iconografía_3]

[Índice] [Introducción] [Diagnostico] [Aspergilosis] [Candidiasis] [Mucormicosis] [Criptococosis] [Histoplasmosis] [Cromoblastomicosis] [Identificación] [Conclusion] [Bibliografía]


Contenido

E-mail info@conganat.org

CopyRight Ana Mª Puras-Gil, 1998.
Última actualización: 01 noviembre 1998 22:08