II-CVHAP.gif (16582 bytes)

Expresión morfológica de las Infecciones Fúngicas Graves.
Participación del Patólogo en el Diagnóstico

Ana Mª Puras-Gil

Comentarios

[Índice] [Introducción] [Diagnostico] [Aspergilosis] [Candidiasis] [Mucormicosis] [Criptococosis] [Histoplasmosis] [Cromoblastomicosis] [Identificación] [Conclusion] [Bibliografía]

II. DIAGNÓSTICO MORFOLÓGICO


 

El diagnóstico morfológico de las Micosis no siempre es posible, ya que puede ocurrir que la sección tisular muestre hifas (ramas del micelio filamentoso) invaginadas que aparenten septación (2), o bien se hallen hinchadas o degeneradas, poco reconocibles, o simulando conidias (esporas asexuadas no móviles) unidas a fiálides (estructuras que soportan las conidias, con forma de frasco) (3); la mayor parte de las veces precisa, para su confirmación, de un cultivo ya que, además, la expresión morfológica de algunas especies de hongos puede ser muy similar y conllevar un diagnóstico impreciso, con un tratamiento incorrecto; esto puede ocurrir con la presencia de hongos como Acremonium, Paelomyces y Fusarium, que pueden ser confundidos con especies de Aspergillus o Candidas en un tejido (3). Las muestras para el diagnóstico pueden proceder de líquidos o tomas citológicas (L.C.R., orina, B.A.L., aspirados bronquiales, esputos, pus de abscesos), o de tejidos procedentes de biopsias o autopsias.

Dicho diagnóstico morfológico debe basarse en el estudio cuidadoso de las características del hongo y de la reacción tisular que produce. Las diferentes partes del hongo deben ser escrupulosamente estudiadas valorando:

a) la presencia de hifas, la regularidad de su diámetro, la frecuencia de su septación y el tipo de ramificación;

b) la presencia de estructuras reproductivas: Fiálides y Fialoconidia;

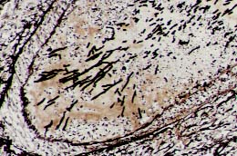
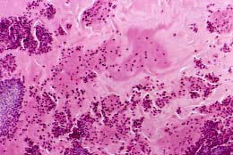
c) la presencia de células en gemación, "levadura-like" (Fig.1).

01p.jpg (14638 bytes)
Fig. 1

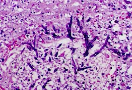
Las técnicas de tinción necesarias para una correcta identificación de las características del hongo (Tabla 1) son: Hematoxilina-eosina (Fig.2) y de modo más específico, Metenamina-plata de Gomori (Fig.3) o Grocott y ácido periódico de Schiff (PAS) (Fig.4); otra técnica de plata, de Masson-Fontana, ha demostrado ser más útil que otras para la identificación de las características de los hongos Dematiáceos (hongos pigmentados), causantes con frecuencia de la Sinusitis fungal alérgica, ya que tiñen su pared y la contrastan mejor (4). Estos hongos están presentes en el moco eosinófilo laminado, procedente de los senos paranasales (Fig.5); estas muestras de material mucoide, sin tejido, deben ser teñidas siempre, para detectar las formaciones micóticas (Fig.6).

02p.jpg (33071 bytes)
Fig.2
03p.jpg (32039 bytes)
Fig.3
04p.jpg (30965 bytes)
Fig.4
05p.jpg (22784 bytes)
Fig.5
06p.jpg (15580 bytes)
Fig.6

 

Tabla 1.- Técnicas anatomopatológicas para la identificación de hongos

 

  • Tinciones específicas:
    1. del hongo
      • Hematoxilina - Eosina

      • Metanamina - plata de Gomori, de Grocott, Masson - Fontana
      • PAS, Azul-alcian, Mucicarmín (el PAS tiñe con mayor intensidad el Mucor que el Aspergillus; el Azul-alcián y el Mucicarmín tiñen mejor la cápsula del Criptococo).

    2. de la reacción tisular:

      • Masson, Reticulina

      • Identificación de componentes de la inflamación

       

  • Fluorescencia

  • Microscopía electrónica

  • Inmunohistoquímica, Inmunofluorescencia e Hibridación "in situ"

 

Algunos hongos, debido a su autofluorescencia amarillo-verdosa (Aspergillus, Candidas, etc.) son fácilmente observables con luz ultravioleta; sobre todo, en estudios intraoperatorios; en material no fijado, puede resultar útil su visualización mediante este procedimiento.

 

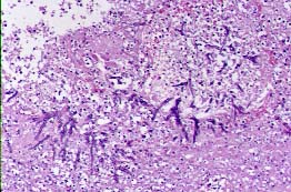
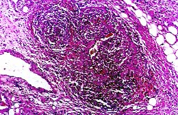
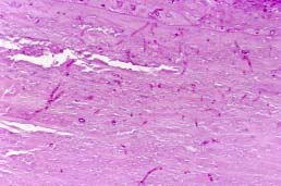
El tipo de respuesta tisular vendrá dada por el hallazgo de inflamación aguda, inflamación granulomatosa (Fig.7), necrosis (Fig.8), invasión vascular o trombosis. El potencial invasivo de un hongo sólo puede demostrarse a través del estudio del tejido (5).

07p.jpg (41375 bytes)
Fig.7
08p.jpg (29290 bytes)
Fig.8

Para estudiar esta respuesta tisular, que puede ser de expresión variable, utilizaremos, además de la Hematoxilina-eosina ya citada, el Tricrómico de Masson o el Van-Giesson; para teñir fibras elásticas e identificar así los vasos trombosados podemos utilizar la tinción de Elastina o la de Van-Giesson-Elastina. Ante una necrosis caseosa debe realizarse la técnica de Ziehl-Nielsen, para descartar la presencia de bacilos ácido-alcohol resistentes.

[Índice] [Introducción] [Diagnostico] [Aspergilosis] [Candidiasis] [Mucormicosis] [Criptococosis] [Histoplasmosis] [Cromoblastomicosis] [Identificación] [Conclusion] [Bibliografía]


Contenido

E-mail info@conganat.org

CopyRight Ana Mª Puras-Gil, 1998.
Última actualización: 01 noviembre 1998 22:08