II-CVHAP.gif (16582 bytes)

Expresión morfológica de las Infecciones Fúngicas Graves.
Participación del Patólogo en el Diagnóstico

Ana Mª Puras-Gil

Comentarios

 

[Índice] [Introducción] [Diagnostico] [Aspergilosis] [Candidiasis] [Mucormicosis] [Criptococosis] [Histoplasmosis] [Cromoblastomicosis] [Identificación] [Conclusion] [Bibliografía]

Las infecciones fúngicas graves con las que nos encontramos más habitualmente en nuestro medio son:

 

- Aspergillosis

- Mucormicosis y micosis producidas por hongos relacionados

- Candidiasis o Candidosis (5)

 

Aunque con menor frecuencia podemos, no obstante, encontrarnos en nuestro medio con Cromoblastomicosis, Criptococosis o con otro tipo de Micosis, de amplia implantación en otras áreas geográficas, debido a los movimientos étnicos existentes actualmente.

 

III. ASPERGILOSIS


En la Aspergilosis, el Aspergillus puede invadir el pulmón a través de los alveolos y el árbol traqueobronquial; el determinante de la infección más importante es el estado inmune del paciente, no la intensidad de la exposición. Los patrones que pueden presentar son cuatro:

 

En el , se trata de pacientes asmáticos, con eosinofilia e infiltrados pulmonares fugaces, debido a taponamiento bronquial, que puede conllevar la expectoración de tapones (Fig.9), en los que pueden observarse hifas; éstas miden 2-4 micras de ancho, suelen ser tabicadas, con ramificación dicotómica (Fig.10). Se trata de una reacción alérgica al Aspergillus que coloniza las vías aéreas. Los rasgos anatomopatológicos generales de la Aspergilosis alérgica broncopulmonar (6) se muestran en la Tabla 3. Su incidencia es mayor en pacientes con Fibrosis quística.

 

09p.jpg (9091 bytes)
Fig.9
10p.jpg (29635 bytes)
Fig.10

En el , se trata de pacientes con enfermedad pulmonar preexistente como Tuberculosis, Sarcoidosis, Bronquiectasias, etc., en las que coloniza el Aspergillus (7), formando la "pelota micótica". En los frotis del esputo se pueden observar los Aspergillus. En la pared de dicha "pelota micótica" pueden verse, en algunas especies (sobre todo,Aspergillus niger), una reacción inflamatoria atribuible al ácido oxálico que elaboran.

 

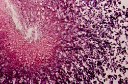
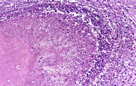
El 3er. patrón (Fig.11) es considerado intermedio en el espectro entre colonizacion e invasión. Es una forma progresiva, localmente destructiva. su aparición se halla favorecida por la existencia previa de EPOC, Sarcoidosis, Neumoconiosis; etc. Es una rara forma de presentación, que puede manifestarse (8) como : 1) Neumonía granulomatosa necrotizante (Fig.12), centrado por una zona de necrosis de coagulación resultante de la forma angioinvasiva; 2) Cavidad bronquial dilatada con inflamación granulomatosa y una "pelota de hongos" en su interior, con prolongaciones necrótico-inflamatorias a través de la pared de la cavidad; y 3) apariencia de granulomatosis broncocéntrica con bronquitis granulomatosa y bronquiolitis asociada a restos necróticos intraluminales, con reacción granulomatosa en empalizada sustituyendo a la mucosa. La invasión vascular suele estar ausente.

 

011p.jpg (9091 bytes)
Fig.11
12p.jpg (11004 bytes)
Fig.12

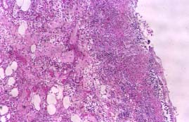
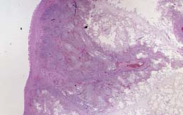
El 4º patrón es, en los pacientes inmunocomprometidos, una severa y, a menudo, fulminante infección. Se asocia con extensa invasión vascular, trombosis secundaria (Fig.13) y necrosis de grandes zonas de parénquima e infiltrados nodulares, segmentarios o lobares, pulmonares. Una forma broncocéntrica menos común, con pequeños nódulos necróticos en los que se pueden ver hifas, también puede darse. La reacción inflamatoria es habitualmente neutrofílica, aunque puede no ocurrir así en pacientes con severa citopenia; en estos casos, la hemorragia, el infarto y el exudado fibrinoso predomina (Fig.14).

13p.jpg (27863 bytes)
Fig.13
14p.jpg (20997 bytes)
Fig.14

 

Tabla 3.-Aspergilosis alérgica broncopulmonar.- Rasgos patológicos

  • Infiltrado inflamatorio bronquial (eosinófilos, linfocitos y c. plasmáticas)

  • Bronquios proximales dilatados, conteniendo moco laminado con eosinófilos degenerados y escasos cristales de Charcot-Leyden y, con frecuencia, hifas escasas y degeneradas, compatibles con Aspergillus; puede verse en el 31% de los casos.

  • Impactación mucoide de pequeñas vías aéreas, con patrón de Bronquiolitis Obliterante, venulitis y Neumonía eosinófila, en el 62 %.

  • Bronquitis granulomatosa, bronquiolitis y granulomas necrotizantes con eosinófilos. Granulomatosis broncocéntrica en el 77 % de los casos.

  • Aspergiloma con invasión sólo focal, peribronquial, con granulomas; suele verse más raramente.

 

La definitiva separación entre los cuatro patrones puede no ser siempre posible, ya que algún tipo de superposición con frecuencia ocurre.

 

Otras manifestaciones clínicas de la Aspergilosis pueden tener lugar en el oído y los senos paranasales; siempre que nos encontremos con "mucina alérgica" procedente de estos lugares, deberemos realizar un amplio muestreo de ella, ademas de incluir los fragmentos polipoides de la mucosa, ya que es en el moco dónde se observan las hifas del hongo causal, tras realizar tinciones específicas; raramente se ven en el estroma (4); suelen ser Aspergillus, Candidas, Dematiáceos o Zigomicetos (Mucor). También puede verse afectado el Sistema nervioso central, esófago, válvulas cardíacas, etc. por este tipo de Micosis.

 

[Índice] [Introducción] [Diagnostico] [Aspergilosis] [Candidiasis] [Mucormicosis] [Criptococosis] [Histoplasmosis] [Cromoblastomicosis] [Identificación] [Conclusion] [Bibliografía]


Contenido

E-mail info@conganat.org

CopyRight Ana Mª Puras-Gil, 1998.
Última actualización: 01 noviembre 1998 22:08