II-CVHAP.gif (16582 bytes)

Expresión morfológica de las Infecciones Fúngicas Graves.
Participación del Patólogo en el Diagnóstico

Ana Mª Puras-Gil

Comentarios

[Índice] [Introducción] [Diagnostico] [Aspergilosis] [Candidiasis] [Mucormicosis] [Criptococosis] [Histoplasmosis] [Cromoblastomicosis] [Identificación] [Conclusion] [Bibliografía]

[Iconografía_1] [Iconografía_2] [Iconografía_3]

ICONOGRAFIA (1 DE 3)


 

01.JPG (24557 bytes)
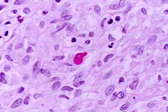
Fig. 1. Célula en gemación, en una lesión granulomatosa (PAS, Neg. X 400 )

 

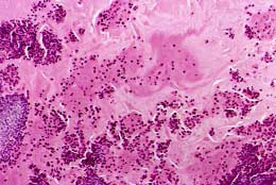
02.JPG (51412 bytes)
Fig. 2. Crecimiento micótico observable con hematoxilina-eoxina (H.E., Neg. X 200 )

 

03.JPG (51467 bytes)
Fig. 3. Tinción argéntica que permite delimitar la pared vascular e identificar mejor las hifas del crecimiento micótico que se encuentran obstruyento el vaso (Metenamina-plata de Gomori, Neg. X 100 )

 

04.JPG (49253 bytes)
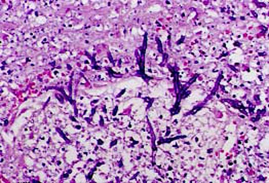
Fig. 4. Tinción de PAS que tiñe la pared de las hifas del Mucor, destacando su característica ramificación (PAS, Neg. X 400)

 

05.JPG (40765 bytes)
Fig. 5. "Mucina alérgica" procedente de los senos paranasales, entremezclada con restos celulares (H.E. Neg X 20)

 

06.JPG (29388 bytes)
Fig. 6. Hifas fragmentadas en el seno de la mucina (PAS, Neg.x20)

 

07.JPG (72353 bytes)
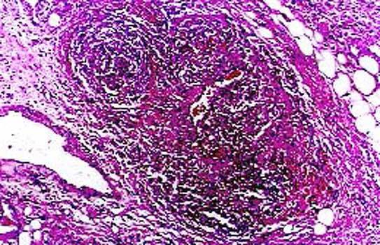
Fig. 7. Formación de granulomas en infección micótica (H.E., Neg x20)

 

08.JPG (56600 bytes)
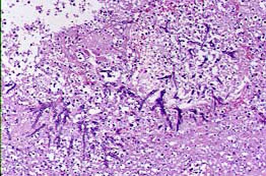
Fig. 8. Zona necrótica en cuyo seno se observa un crecimiento micótico formado por Aspergillus (H.E. Neg. X 100)

 

[Iconografía_1] [Iconografía_2] [Iconografía_3]

[Índice] [Introducción] [Diagnostico] [Aspergilosis] [Candidiasis] [Mucormicosis] [Criptococosis] [Histoplasmosis] [Cromoblastomicosis] [Identificación] [Conclusion] [Bibliografía]


Contenido

E-mail info@conganat.org

CopyRight Ana Mª Puras-Gil, 1998.
Última actualización: 01 noviembre 1998 22:08