II-CVHAP.gif (16582 bytes)

Expresión morfológica de las Infecciones Fúngicas Graves.
Participación del Patólogo en el Diagnóstico

Ana Mª Puras-Gil

Comentarios

[Índice] [Introducción] [Diagnostico] [Aspergilosis] [Candidiasis] [Mucormicosis] [Criptococosis] [Histoplasmosis] [Cromoblastomicosis] [Identificación] [Conclusion] [Bibliografía]

[Iconografía_1] [Iconografía_2] [Iconografía_3

ICONOGRAFIA (2 DE 3)


09.JPG (13343 bytes)
Fig.9. Molde bronquial expulsado espontáneamente en paciente con Aspergilosis. 

 

10.JPG (47104 bytes)
Fig.10. "Pelota de Aspergillus", con hifas tabicadas (H.E. Neg. X 200)

 

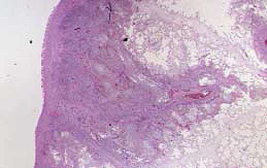
11.JPG (35639 bytes)
Fig. 11. Imagen macroscópica de Aspergilosis pulmonar invasiva, con formación de "pelota de hongos" en lóbulo superior, asociada a otras lesiones necrotizantes.

 

12.JPG (24131 bytes)
Fig. 12. Imagen microscópica de neumonía necrotizante, simulando un infarto, correspondiente al caso de la figura anterior (H.E., Neg. X 10)

 

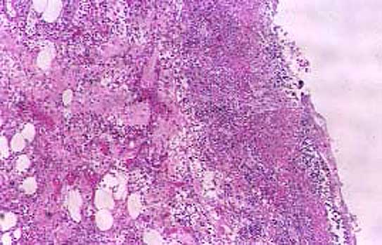
13.JPG (53506 bytes)
Fig. 13. Aspergillosis invasiva, con trombosis; se observa la invasión de los vasos por el hongo (H.E. Neg.X 100)

 

14.JPG (40060 bytes)
Fig. 14. Hemorragia pulmonar e infarto en Aspergilosis invasiva (H.E., Neg. X 40)

 

[Iconografía_1] [Iconografía_2] [Iconografía_3]

[Índice] [Introducción] [Diagnostico] [Aspergilosis] [Candidiasis] [Mucormicosis] [Criptococosis] [Histoplasmosis] [Cromoblastomicosis] [Identificación] [Conclusion] [Bibliografía]


Contenido

E-mail info@conganat.org

CopyRight Ana Mª Puras-Gil, 1998.
Última actualización: 01 noviembre 1998 22:08