II-CVHAP.gif (16582 bytes)

Expresión morfológica de las Infecciones Fúngicas Graves.
Participación del Patólogo en el Diagnóstico

Ana Mª Puras-Gil

Comentarios

[Índice] [Introducción] [Diagnostico] [Aspergilosis] [Candidiasis] [Mucormicosis] [Criptococosis] [Histoplasmosis] [Cromoblastomicosis] [Identificación] [Conclusion] [Bibliografía]

IV. CANDIDIASIS


El compromiso de los órganos profundos por la Candidiasis es muy variada; a nivel del sistema nervioso central podemos encontrar afectación del parénquima y de las meninges, en forma de múltiples microabscesos; en el pulmón, puede presentar la forma de bronconeumonía local o difusa o de infiltrado intersticial difuso. Las cándidas pueden provocar también endo y miocarditis, infección del tracto urinario, del aparato locomotor, así como del peritoneo, hígado, bazo, vesícula biliar, esófago (Fig. 15) y ojos. El cuadro clínico denominado Síndrome de candidiasis diseminada se da, fundamentalmente, en pacientes postquirúrgicos, sometidos a trasplantes, cirugía cardíaca o del tracto gastrointestinal. El diagnóstico, en estos casos, debe basarse en cultivos reiterados y exámenes físicos cuidadosos, en la búsqueda de manifestaciones clínicas multiorgánicas. Histológicamente, su identificación se basa en la observación de las blastosporas (esporas formadas por gemación) gemantes, de 2 a 4 micras, ovales o esféricas, con pseudohifas alargadas (Fig. 16); suele producir abscesos y hemorragia, salvo en pacientes granulopénicos en los que hay mínima inflamación asociada a necrosis de coagulación; la afectación de pequeños vasos es más marcada que la de los grandes (7).

15p.jpg (12613 bytes)
Fig.15
16p.jpg (33191 bytes)
Fig.16

 

V. MUCORMICOSIS


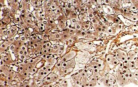
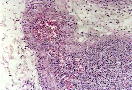
En las Mucormicosis y micosis producidas por especies relacionadas, los agentes causales más frecuentes son: Mucor, Rhizopus y Absidia (Mucorales Zigomicetos). Las especies de Rhizopus son los agentes causantes de Mucormicosis aislados con mayor frecuencia. En general, el hongo ingresa en el organismo a través del tracto respiratorio. Las manifestaciones pueden dividirse arbitrariamente en, al menos, seis entidades, según el órgano afectado: 1) Rinocerebral, 2) Pulmonar, 3) Cutánea, 4) Gastrointestinal, 5) Del sistema nervioso central, 6) Diversas. La 1ª es la que con mayor frecuencia se encuentra en pacientes diabéticos; la pulmonar suele presentarse más en pacientes con aplasia medular secundaria a agentes quimioterápicos; las otras formas son más esporádicas; recientemente se han descrito casos agrupados en algunos hospitales y cuya infección fué debida a la contaminación fúngica de los depresores de lengua (9). En el tejido, muestran estos hongos unas hifas anchas, de 5 a 50 micras (Fig.17), con frecuencia torcidas y no uniformes, sin tabiques, aunque sus invaginaciones los pueden simular; invaden con frecuencia las paredes vasculares y los tejidos adyacentes (Fig.18). Las conidias de los Mucorales no deben tampoco ser confundidas con Nematodes, huevos, ni con otros microorganismos (10).

17.JPG (21699 bytes)
Fig.17
18p.jpg (28017 bytes)
Fig.18

Con menor frecuencia podemos encontrarnos con Criptococosis, Histoplasmosis o Cromoblastomicosis.

 

VI. CRIPTOCOCOSIS


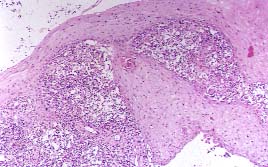
La Criptococosis, cuyo organismo, el Cripotococcus neoformans, puede medir de 5 a 20 micras de diámetro y aparecen como espacios claros, que representan su cápsula no teñida. La respuesta del huésped es variable, dependiendo del estado de su inmunidad, de la enfermedad principal y de la encapsulación o no del hongo. Con frecuencia, la reacción celular es escasa o nula (Fig. 19); producen lagunas o "lesiones quísticas", en las que se ven formas muy pequeñas en gran cantidad (11). La presencia de levaduras gemantes las diferenciará de un artefacto. Las lesiones mas antiguas pueden ser granulomatosas, con o sin células gigantes y con necrosis caseosa.

19p.jpg (33797 bytes)
Fig. 19

 

VII. HISTOPLASMOSIS


La Histoplasmosis, cuyo organismo, el Histoplasma capsulatum, mide de 2 a 5 micras y raramente es extracelular; se encuentra en los macrófagos y no posee seudohifas. Produce formación de granulomas, caseificación y posteriormente encapsulación fibrótica, pudiendo mostrar diferentes tipos de presentación clínica, en forma aguda o crónica (12).

 

VIII. CROMOBLASTOMICOSIS


La Cromoblastomicosis, micosis verrucosa crónica de evolución muy lenta y que suele afectar preferentemente a los miembros inferiores (Fig.20), está producida por hongos pigmentados de la familia de los Dematiáceos. Suele acompañarse de hiperplasia seudoepiteliomatosa y formar microabscesos intraepidérmicos (Fig.21) y granulomas. En las zonas supuradas o en el interior de las celulas gigantes, libres, se observan los elementos característicos de la fase tisular de estos hongos, en forma de células esféricas, de 10 a 15 micras de diámetro, con pared de doble contorno y tabiques transversales, habitualmente dispuestos en grupos de 2 ó 3 elementos; son demominados "cuerpos fumagoides" (Fig. 22) o "formaciones en mórula" (13). Los agentes etiológicos viven saprofíticamente en la naturaleza, sobre todo en restos de vegetales, produciéndose su penetración a través de microtraumatismos producidos con espinas o astillas.

20p.jpg (11448 bytes)
Fig. 20
21p.jpg (22235 bytes)
Fig.21

22p.jpg (22418 bytes)
Fig.22

 

[Índice] [Introducción] [Diagnostico] [Aspergilosis] [Candidiasis] [Mucormicosis] [Criptococosis] [Histoplasmosis] [Cromoblastomicosis] [Identificación] [Conclusion] [Bibliografía]


Contenido

E-mail info@conganat.org

CopyRight Ana Mª Puras-Gil, 1998.
Última actualización: 01 noviembre 1998 22:08