II-CVHAP.gif (16582 bytes)

LA INMUNOHISTOQUIMIA EN EL DIAGNÓSTICO DE LOS TUMORES DEL SISTEMA NERVIOSO

Dra. Teresa Ribas Ariño

Comentarios

[Índice] [Introducción] [Gliales] [Mielina] [Neuronales] [No específicos] [Más frecuentes] [Proliferación] [Bibliografía]

OTROS MARCADORES NO ESPECÍFICOS DEL SNC


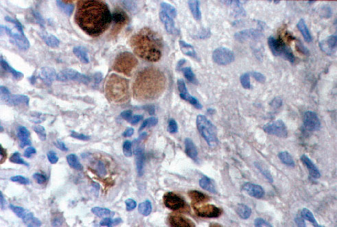
La VIMENTINA es una proteina de 57 kD , el primer filamento imtermedio que aparece en el curso del desarrollo, independientemente del citotipo; en el adulto hay remanentes en numerosas células de diversas estirpes, de ahí su amplia expresividad no reservada a tejidos mesenquimales sino coexpresada por diversas líneas celulares en tejidos adultos, incluidas las epiteliales. Coexiste además con otros filamentos intermedios y en el SNC en particular con la GFAP en los astrocitos, y las citoqueratinas de los ependimocitos y tanicitos. Particularmente útil en diferenciar las areas sarcomatosas de las gliales en los gliosarcomas (Fig.15). Los meningiomas, tambien muestran intensa positividad para este marcador, así como las células de los cordomas y de los hemangioblastomas.

snc15g.jpg (82557 bytes)

Fig. 15: Area sarcomatosa en un gliosarcoma, marcada con Vimentina . Vim X40.

La desmina y miosina como marcadores de diferenciación muscular y el antígeno relacionado al factor VIII, ulex aeuropeus y CD34 como marcadores endoteliales, se han utilizado también en neuropatología asi como los marcadores epiteliales y linfoides en aquellos procesos tumorales secundarios del SNC. Esta ampliamente documentada en la literatura la expresión de queratinas por parte de los meningiomas (Fig. 16)., además de marcadores mesenquimales y proteina S-100 como parte de su perfil inmunohistoquímico.

snc16g.jpg (57803 bytes)

Fig. 16: Células con expresión de queratinas en un menoingioma (secretor). AE1 –AE3X100.

Otro marcador, inicialmente descrito como parte del complejo de marcadores linfoides, para la glicoproteina asociada a la mielina, es el correlacionado con el antígeno HNK-1 y reconocido por el anticuerpo Leu-7 (CD-57). Se encuentra en las células de Schwann, mielina y en la oligodendroglía inmadura7. Considerado inicialmente marcador específico de las células natural-killer, se propuso ser utilizado como marcador oligodendrocitario aunque se ha demostrado además en otros tumores neuroepiteliales . Hemos observado recientemente positividad para Leu-7 en un Tumor Neuroepitelial Disembrioplásico.(Fig.17). 

snc17g.jpg (76016 bytes)

Fig. 17: Positividad de matriz y nucleos en un TNEDP. Leu-7X100.

Hay un sinnúmero de marcadores descritos como útiles en neuropatología; sin ánimo de efectuar una lista exhaustiva, algunos de los que podrían tener mayor aplicación, son la laminina, antígeno S-retiniano presente en los fotoreceptores de la retina y producido por tumores del grupo de los PNET, proteinglicanos, claseIII-bettatubulina marcador de desarrollo incipiente neuronal, otros marcadores de diferenciación neuronal como NeuN y NR1, galectina-3 cuya expresión se correlaciona con el potencial de malignidad de los tumores en el SNC.

 

Mención aparte merece la valoración inmunohistoquímica de las moléculas de adhesión, que aportan datos de interés acerca de la capacidad invasiva y de metástasis tumoral. Esto ha sido particularmente puesto de manifiesto mediante la expresión del CD44 , cuya mayor o menor presencia en las células tumorales del SNC determinaría su potencial infiltrativo . La molécula MUC18, asimismo implicada en la mediación de la respuesta inmune frente a estímulos inflamatorios, parece contribuir a las propiedades de adhesión de neuronas y oligodendrocitos. Inicialmente detectada en melanomas, su expresión se incrementa a medida que progresa el proceso neoplásico.

 

[Índice] [Introducción] [Gliales] [Mielina] [Neuronales] [No específicos] [Más frecuentes] [Proliferación] [Bibliografía]


Contenido

E-mail info@conganat.org

CopyRight Dra. Teresa Ribas Ariño, 1998.
Última actualización: 01 noviembre 1998 22:09