II-CVHAP.gif (16582 bytes)

LA INMUNOHISTOQUIMIA EN EL DIAGNÓSTICO DE LOS TUMORES DEL SISTEMA NERVIOSO

Dra. Teresa Ribas Ariño

Comentarios

[Índice] [Introducción] [Gliales] [Mielina] [Neuronales] [No específicos] [Más frecuentes] [Proliferación] [Bibliografía]

MARCADORES NEURONALES


NEUROFILAMENTOS.

Son los filamentos intermedios propios de las neuronas y sus procesos citoplásmicos, y de las células ganglionares ; se tarta de tripletes proteicos de 68, 160 y 200kD. También se encuentran en otras células de naturaleza neural, como las células cromafines meduloadrenales. No tiene una distribución regular entre las diferentes poblaciones neuronales.(Fig. 8).

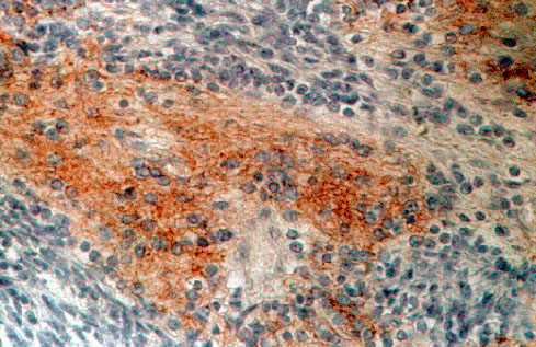
En patología tumoral del SNC se utiliza para detectar diferenciación neuronal en PNET, (Fig. 9) y demostración de la presencia de células ganglionares en gangliogliomas, gangliocitomas, feocromocitomas y paragangliomas. También los oligodendrogliomas han mostrado positividad alrededor de la célula neoplásica para este marcador.(Fig.10).

 

snc8g.jpg (71634 bytes)
Fig. 8: Intensa expresión de neurofilamentos en un Astrocitoma de alto grado.NFX100.
snc9g.jpg (60635 bytes)

Fig.9: Diferenciación nueronal en un PNET. NF positivos en el entorno tumoral indiferenciado. NFX 40.

snc10g.jpg (85366 bytes)

Fig. 10: positividad para NF entre las células de un oligodendroglioma. NFX20.

 

ENOLASA NEURONAL ESPECÍFICA.

La enolasa neuronal específica es un homodímero proteico compuesto por dos subunidades gamma, que en condiciones normales estan restringidas a las neuronas del sistema nervioso central y periférico2.

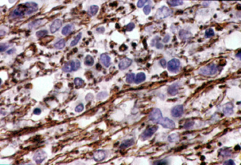
Las células del sistema APUD también ofrecen positividad para estos marcadores, por lo que se han utilizado en el diagnóstico de tumores neuroendocrino, no estando exenta de controversia su utilización en patología tumoral cerebral. Se considera a la enolasa marcador de diferenciación neuronal en meduloblastomas, (Fig. 11) y PNET en general 17.(Fig. 12).

Sin embargo, su especificidad se ha visto progresivamente mermada en patología tumoral, incluso con diferentes patrones de inmunoreacción mostrados con anticuerpos policlonales o monoclonales.

 

snc11g.jpg (62107 bytes)

Fig. 11: Intensa área de marcaje para NSE en un PNET. NSEX100..

snc12g.jpg (82925 bytes)
Fig. 12: Zona de positividad para NSE/diferenciación neuronal en un meduloblastoma. NSEX40.

SINAPTOFISINA.

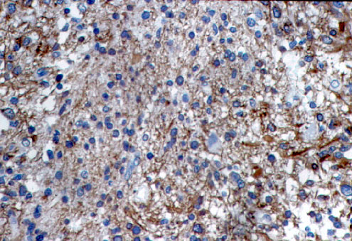
Es una glicoproteína integral de membrana de 38 kD y de las vesículas presinápticas, con una importante función en la exocitosis de las vesículas sinápticas. Se ha demostrado tambien su presencia a lo largo del pericarion de las neuronas del asta anterior medular, reflejando la riqueza de axosinapsis de la zona. Como marcador tumoral, ha mostrado su valor en tumores neuroendocrinos, siendo en este terreno considerada de mayor especificidad que la Enolasa Neuronal Específica17. Los PNET expresan tambien esta proteina, tambien presente en los tumores de células ganglionares . (Fig.13).

 

snc13g.jpg (99800 bytes)

Fig. 13: Nido de células positivas para Sinaptofisina en un PNET. SYN X20.

Tau.

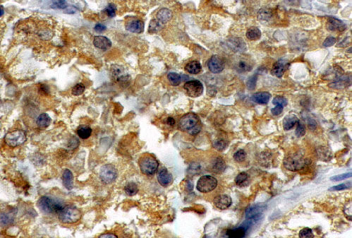
Tau es una proteina asociada a microtúbulos especialmente involucrada en la plasticidad neuronal y el transporte axonal, determinando posiblemente la estabilidad de aquellos. Pertenece a una familia de proteinas que interactuan con la tubulina y otros prótidos. Se ha demostrado su positividad en el nucleo de células de meduloblastoma y areas indiferenciadas de otros tumores (Fig. 14) como expresión de diferenciación neuronal, aunque su utilidad más conocida es en el estudio de la enfermedad de Alzheimer y otras enfermedades neurodegenerativas.

 

snc14g.jpg (73007 bytes)

Fig. 14: Positividad para Tau en un PNET. TauX100.

 

[Índice] [Introducción] [Gliales] [Mielina] [Neuronales] [No específicos] [Más frecuentes] [Proliferación] [Bibliografía]


Contenido

E-mail info@conganat.org

CopyRight Dra. Teresa Ribas Ariño, 1998.
Última actualización: 01 noviembre 1998 22:09