II-CVHAP.gif (16582 bytes)

LA INMUNOHISTOQUIMIA EN EL DIAGNÓSTICO DE LOS TUMORES DEL SISTEMA NERVIOSO

Dra. Teresa Ribas Ariño

Comentarios

[Índice] [Introducción] [Gliales] [Mielina] [Neuronales] [No específicos] [Más frecuentes] [Proliferación] [Bibliografía]

MARCADORES GLIALES


Proteína S-100.

Denominada así debido a su dilución en sulfato amónico al 100%, inicialmente considerada específica del sistema nervioso. Actualmente se reconoce su detección en numerosas células de origen no neural,, como condrocitos, adipocitos, células de Langherhans, melanocitos, etc. Se considera un marcador glial, detectándose en astrocitos oligodendrocitos y células ependimarias, además de las células de Schwann del sistema nervioso periférico y células satélite.

En el contexto de la patología tumoral, puede observarse que es una proteína ampliamente expresada por los neurinomas y neurofibrosarcomas pero que en los tumores cerebrales, su contenido decrece a medida que aumenta el grado de anaplasia o desdiferenciación.

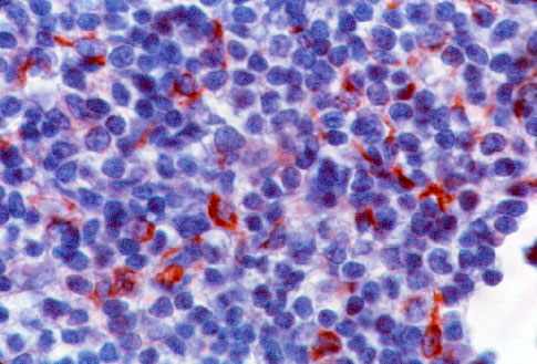
Para su correcta identificación y valoración en patología tumoral, debe tenerse en cuenta su expresión en numerosos procesos neoplásicos extraneurales, además de valorar como inmunotinción positiva aquella que ocurre no sólo en el citoplasma sino también en el núcleo.(Figs 1 y 2)

snc10g.jpg (85366 bytes)

Fig. 1: Células de un sarcoma meningeo positivas para S-100 X40.

snc2g.jpg (63541 bytes)

Fig. 2: Positividad nuclear para S-100 en un Astrocitoma. S100 X40.

 

PROTEÍNA GLIOFIBRILAR ACÍDICA (GFAP).

 

Es el filamento intermedio más empleado como marcador de diferenciación glial; es una proteína de 50 kDa , y representa la subunidad química que caracteriza a los gliofilamentos1. Se detecta específicamente en astrocitos normales y reactivos, células ependimarias y oligodendrocitos. (Fig. 3).

Se ha demostrado también su presencia en células de Schwann, de glándula salivar y condrocitos, al igual que la proteína S-100.

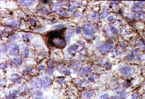
En los tumores del Sistema Nervioso Central, es positivo en tumores astrocitarios,(Fig. 4), xantoastrocitoma pleomórfico, astrocitoma subependimario, y en el componente glial de los gliosarcomas, como marcador de diferenciación glial en PNET.(Fig. 5) y demuestra la estirpe en esa línea de algunos tumores de naturaleza controvertida.

Se ha detectado su presencia en oligodendrogliomas , a pesar de que el oligodendrocito normal carece de expresión positiva para GFAP. Dada su presencia en células de Schwann normales, aparece positividad para esta proteína en muchos neurinomas; en carcinomas de plexos coroideos, es co-expresada junto con las citoqueratinas propias de este tumor.

Su expresióm puede verse muy disminuida en tumores astrocitarios poco diferenciados de alto grado y en areas de glioblastomas11.

snc3g.jpg (85191 bytes)

Fig. 3: Intensa positividad de astrocitos reactivos en un area de gliosis. GFAPX40.

snc4g.jpg (70914 bytes)

Fig. 4: Células marcadas con GFAP en un astrocitoma anaplásico. GFAPX100.

snc5g.jpg (75651 bytes)

Fig. 5: Diferenciación glial en células de un meduloblastoma (PNET) de cerebelo. GFAPX40.

 

[Índice] [Introducción] [Gliales] [Mielina] [Neuronales] [No específicos] [Más frecuentes] [Proliferación] [Bibliografía]


Contenido

E-mail info@conganat.org

CopyRight Dra. Teresa Ribas Ariño, 1998.
Última actualización: 01 noviembre 1998 22:09