II-CVHAP.gif (16582 bytes)

LA INMUNOHISTOQUIMIA EN EL DIAGNÓSTICO DE LOS TUMORES DEL SISTEMA NERVIOSO

Dra. Teresa Ribas Ariño

Comentarios

[Índice] [Introducción] [Gliales] [Mielina] [Neuronales] [No específicos] [Más frecuentes] [Proliferación] [Bibliografía]

MIELINA


La clásicamente denominada proteína básica asociada a la mielina ha sido demostrada en las bandas mielínicas centrales y periféricas (Fig. 6), en oligodendrocitos inmaduros humanos y de animales de experimentación, pero no en estas células normales en el cerebro adulto. Este hallazgo no ha sido corroborado por todos los autores que trabajan en neuropatología.

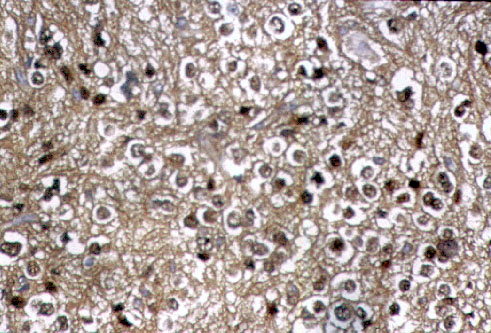
Recientemente, se ha descrito la presencia de una proteína relaciona con el factor 1 de transcripción de esta sustancia, que es expresada por oligodendrogliomas de alto grado, oligoastrocitomas ; se ha encontrado tambienexpresión para mielina en tumores epiteliales disembrioplásicos (Fig. 7).

 

snc6g.jpg (75454 bytes)

Fig. 6: Bandas de mielina en zona subcortical. Mielina X20.

snc7g.jpg (77208 bytes)

Fig. 7: Entorno celular de un TNEDP positivo para Mielina X100.

 

 

[Índice] [Introducción] [Gliales] [Mielina] [Neuronales] [No específicos] [Más frecuentes] [Proliferación] [Bibliografía]


Contenido

E-mail info@conganat.org

CopyRight Dra. Teresa Ribas Ariño, 1998.
Última actualización: 01 noviembre 1998 22:09