Seminario
Nº 003

IICVHAPp.gif (9537 bytes)

IndiceIndice

Osteoporosis de causa infrecuente

L. Porras, J. Gijón, E. Marchán, A. Puig, M. García Rojo, M. Carbajo

Complejo Hospitalario de Ciudad Real
España

[HISTORIA CLÍNICA] [ANATOMÍA PATOLÓGICA] [ICONOGRAFÍA] [ICONOGRAFÍA-2] [ICONOGRAFÍA-3] [DIAGNÓSTICO]

ICONOGRAFIA 2

DIAGNOSTICO


ICONOGRAFÍA (3 de 3)

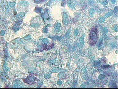
figura 15
Figura 15.. Azul de Toluidina x400

 

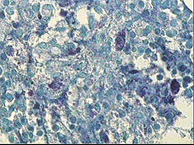
figura 16
Figura 16.. Azul de Toluidina x400

 

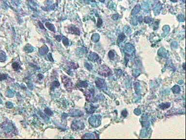
figura 17
Figura 17.. Azul de Toluidina x630

 

figura 18
Figura 18.. Azul de Toluidina x630

 

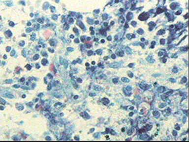
figura 19
Figura 19.. Giemsa x200

 

figura 20
Figura 20.. Giemsa x400

 


Diagnost.gif (2084 bytes) DIAGNÓSTICO


[HISTORIA CLÍNICA] [ANATOMÍA PATOLÓGICA] [ICONOGRAFÍA] [ICONOGRAFÍA-2] [ICONOGRAFÍA-3] [DIAGNÓSTICO]

ICONOGRAFIA 2

DIAGNOSTICO


L. Porras, J. Gijón, E. Marchán, A. Puig, M. García Rojo, M. Carbajo
Copyright © 1998. Reservados todos los derechos.
Última actualización: martes 7 de julio de 1998