Seminario
Nº 003

IICVHAPp.gif (9537 bytes)

IndiceIndice

Osteoporosis de causa infrecuente

L. Porras, J. Gijón, E. Marchán, A. Puig, M. García Rojo, M. Carbajo

Complejo Hospitalario de Ciudad Real
España

[HISTORIA CLÍNICA] [ANATOMÍA PATOLÓGICA] [ICONOGRAFÍA] [ICONOGRAFÍA-2] [ICONOGRAFÍA-3] [DIAGNÓSTICO]

ICONOGRAFIA 1

ICONOGRAFIA 2


ICONOGRAFÍA (2 de 3)

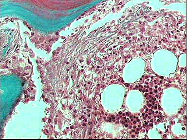
figura 8
Figura 8.. H&E x400

 

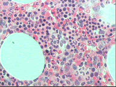
figura 9
Figura 9.. H&E x400

 

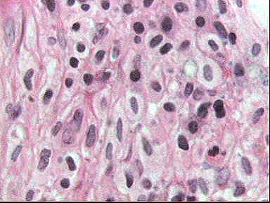
figura 10
Figura 10.. H&E x630

 

figura 11
Figura 11.. Reticulina x400

 

figura 12
Figura 12.. Tricrómico de Masson x200

 

figura 13
Figura 13.. Tricrómico de Masson x400

 

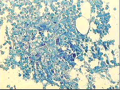
figura 14
Figura 14.. Azul de Toluidina x200

 


Diagnost.gif (2084 bytes) DIAGNÓSTICO


[HISTORIA CLÍNICA] [ANATOMÍA PATOLÓGICA] [ICONOGRAFÍA] [ICONOGRAFÍA-2] [ICONOGRAFÍA-3] [DIAGNÓSTICO]

ICONOGRAFIA 1

ICONOGRAFIA 2


L. Porras, J. Gijón, E. Marchán, A. Puig, M. García Rojo, M. Carbajo
Copyright © 1998. Reservados todos los derechos.
Última actualización: martes 7 de julio de 1998