Seminario
Nº 003

IICVHAPp.gif (9537 bytes)

IndiceIndice

Osteoporosis de causa infrecuente

L. Porras, J. Gijón, E. Marchán, A. Puig, M. García Rojo, M. Carbajo

Complejo Hospitalario de Ciudad Real
España

[HISTORIA CLÍNICA] [ANATOMÍA PATOLÓGICA] [ICONOGRAFÍA] [ICONOGRAFÍA-2] [ICONOGRAFÍA-3] [DIAGNÓSTICO]

HISTORIA CLINICA

ICONOGRAFIA 2


ICONOGRAFÍA (1 de 3)

figura 1a
Figura 1A.. Rx simple Columna vertebral Figura 1B.Ocho meses después.

 

figura 2
Figura 2.Aplastamientos vertebrales L4-L5.

 

figura 3
Figura 3. lesiones papulosas de color moreno oscuro de 0,5 cm, en tronco y extremidades superiores.

 

figura 4
Figura 4. RNM con gadolinio. Fractura por compresión de cuerpos vertebrales L4-L5

 

figura 5
Figura 5. Gammagrafía ósea. Aumento de la captación en la calota craneal, costillas y codo izquierdo, así como aumento de la captación de morfología lineal a nivel de L4-L5

 

figura 6
Figura 6.. H&E x40

 

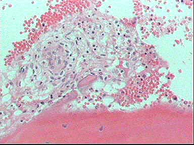
figura 7
Figura 7.. H&E x200

 


Diagnost.gif (2084 bytes) DIAGNÓSTICO


[HISTORIA CLÍNICA] [ANATOMÍA PATOLÓGICA] [ICONOGRAFÍA] [ICONOGRAFÍA-2] [ICONOGRAFÍA-3] [DIAGNÓSTICO]

HISTORIA CLINICA

ICONOGRAFIA 2


L. Porras, J. Gijón, E. Marchán, A. Puig, M. García Rojo, M. Carbajo
Copyright © 1998. Reservados todos los derechos.
Última actualización: martes 7 de julio de 1998