|
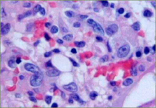
Fig. 13.Luces intracitoplásmicas en las células tumorales. (HE, X400.) |
 |
|
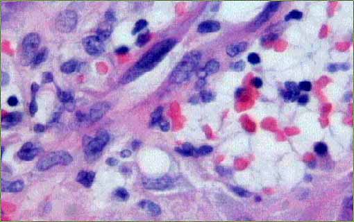
Fig. 14.Hematíes en el interior de las luces vasculares intracelulares. (HE, X400.) |
 |
|
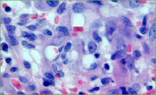
Fig. 15.Luces intracitoplásmicas en células tumorales con morfología en anillo de sello. (HE, X400.) |
 |
|
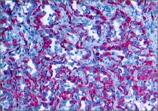
Fig. 16.Positividad intensa de las células tumorales para vimentina. (IHQ para demostración de vimentina, X100.) |
 |
|
Fig. 17.Positividad citoplásmica moderada de las células tumorañes para el antígeno asociado al Factor VIII. (IHQ para demostración de Factor VIII.) |
 |