|
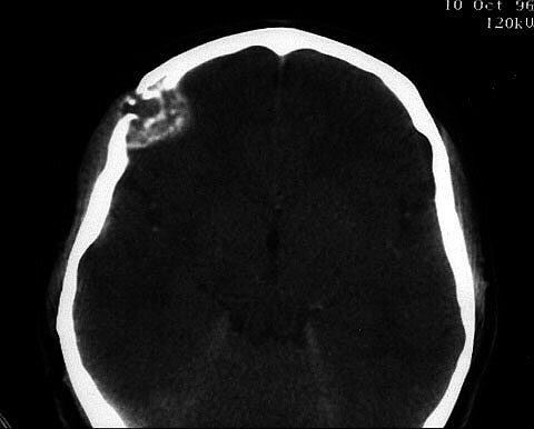
Fig. 1. CT sin contraste en la que se observa una lesión extraaxial en pared lateral de la órbita derecha y en fosa craneal anterior, con expansión del hueso afectado y afectación del interior de la órbita. |
 |
|
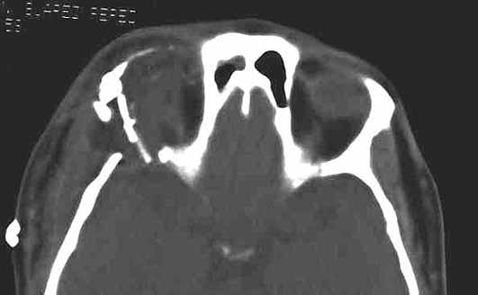
Fig. 2.Tras la administración intravenosa de contraste, la lesión presenta una captación de intensidad moderada y características irregulares. Los diagnósticos radiológicos fueron quiste óseo aneurismático, granuloma eosinífilo y meningioma. |
 |
|
Fig. 3.CT efectuada tras la intervención en la que se observa la resección completa de la lesión y la reconstrucción de la pared lateral y el techo de la órbita derecha. |
 |
|
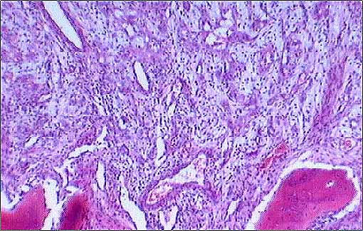
Fig. 4.Imagen a bajo aumento en la que se observa el patrón arquitectural cordonal sobre un fondo mixoide. (HE, X40.) |
 |
|
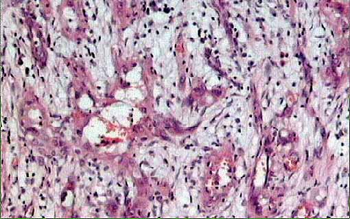
Fig. 5.Las estructuras cordonales presentan luces vasculares en su interior, y en la matriz mixoide se observan células de tipo inflamatorio. (HE, X100.) |
 |
|
Fig. 6.Áreas de carácter más sólido con numerosas luces y canales vasculares. (HE, X40.) |
 |