|
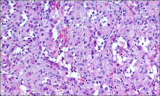
Fig. 7.Estructuras vasculares revestidas por células prominentes. (HE, X100.) |
 |
|
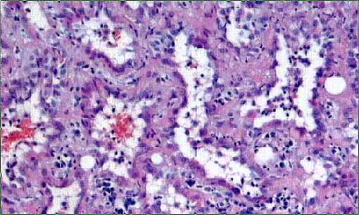
Fig. 8.Otra imagen de las estructuras vasculares presentes en el tumor. (HE, X100.) |
 |
|
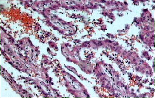
Fig. 9.Imagen correspondiente a canales vasculares más irregulares y anastomosados. (HE, X100.) |
 |
|
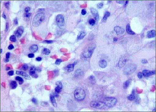
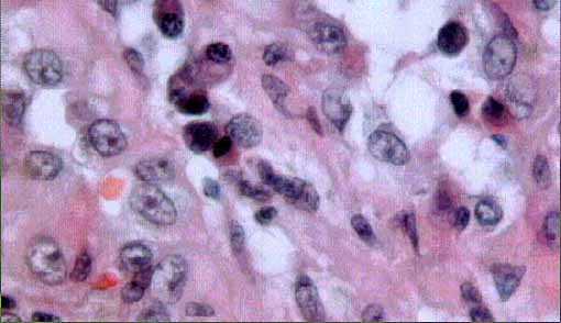
Fig. 10.Imagen a gran aumento en la que se aprecia el citoplasma histiocitoide o epitelioide, amplio y bien delimitado. En la parte superior derecha una célula tumoral presenta una luz intracitoplásmica con morfología en anillo de sello. (HE, X400.) |
 |
|
Fig. 11.Los núcleos de las células tumorales son claros, ovoides y presentan un nucléolo moderadamente prominente. Se pueden observar también varias células plasmáticas. (HE, X400.) |
 |
|
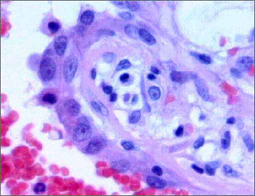
Fig. 12.Las células tumorales que revisten las estructuras vasculares muestran prominencia hacia la luz de las mismas. (HE, X400.) |
 |