II-CVHAP.gif (16582 bytes)

PATOLOGIA GASTRICA: CONDICIONES Y LESIONES PRENEOPLASICAS

Sanz Anquela JM, Moro Rodríguez JE, Olmedilla Arregui G.

Comentarios

[Índice] [Introducción] [Condiciones Precursoras] [Pólipos] [Gastritis y Metaplasia] [Displasia] [Esófago Barrett] [Bibliografía]

2.- LESIONES PRECURSORAS (cont.)


2.3. - Displasia gástrica.

Aunque el interés por identificar esta lesión data de antiguo, en la práctica el distinguir las alteraciones celulares atípicas reactivas, de las que parecen tener un significado displásico sigue siendo subjetivo, e incluso en reuniones del grupo de expertos mundiales miembros del ISGGC (Grupo internacional de estudio del CG), quedan hasta un 15% de los casos sin acuerdo.

 

Tres criterios morfológicos simultáneos definen la displasia gástrica (DG).

1. - DISTORSION DE LA ARQUITECTURA GLANDULAR: Acúmulos de glándulas alargadas con criptas irregulares, que pueden presentar luces glandulares "espalda contra espalda" en un patrón cribiforme por proliferación excesiva del epitelio y desaparición del estroma.

2. - ALTERACIONES CITOLOGICAS: Anomalías de forma, tamaño, configuración y orientación, tanto en el núcleo como en el citoplasma. Esta atipia citológica es particularmente marcada en la DG de tipo metaplásico. En el caso de la DG no metaplásica, las células permanecerían cuboidales, sin llegar a transformarse en células intestinales. El tamaño nuclear parece ser el parámentro que mejor diferencia entre lesión displásica y benigna. Además del incremento de la relación núcleo-citoplasma, existe hipercromasia, pleomorfismo nuclear, pérdida de la polaridad del núcleo y pseudoestratificación (imagen global que resulta al observar los núcleos de las células a distinta altura, en lugar de permanecer uniformemente ordenados en la zona basal).

3. - ANOMALIAS EN LA DIFERENCIACION: En el epitelio displásico de tipo metaplásico, se evidencia deplección y desigual distribución de las células caliciformes, desaparición de las células de Paneth y estratificación de las células epiteliales por disminución del citoplasma con pobre desarrollo del borde en cepillo. En el epitelio gástrico no metaplásico, se detecta disminución de la actividad mucosecretora.

 

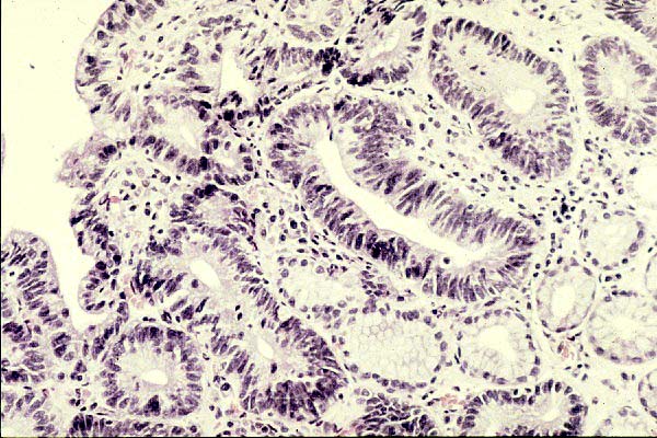
En función de la intensidad en la presentación de estos 3 grupos de parámetros, la DG se ha clasificado en leve, moderada y severa. No obstante, parece preferible establecer solamente 2 niveles: DG de bajo grado y de alto grado. La DG de bajo grado es difícil de distinguir de la atipia reactiva o reparativa, existiendo poco grado de acuerdo en este grupo de lesiones. Por el contrario la DG de alto grado (Figura 5), presenta criterios más definidos, pero su frecuencia es muy baja y parece representar un fenómeno muy tardío en el proceso de carcinogénesis gástrica (Sipponen, 1990). Además de la clasificación cuantitativa, también se han descrito tipos de DG cualitativamente diferentes, las denominadas tipo I o adenomatosa y tipo II o hiperplásica (Jass, 1983).

fig5.jpg (88460 bytes)

Fig. 5

La baja frecuencia de la displasia, la subjetividad de su diagnóstico y su probable aparición tardía durante el proceso de carcinogénesis, son características que la hacen poco válida como biomarcador de estadío intermedio de carcinogénesis. La MI incompleta, especialmente la tipo III, es más válida para seleccionar grupos de riesgo de seguimiento, estando también la sulfomucin-secreción asociada con alteraciones en la expresión de grupos antigénicos Lewis, técnicas inmunohistoquímicas que han demostrado su validez en la definición del estadío intermedio de carcinogénesis gástrica (Torrado y col, 1992).

 

2.4. - Esófago de Barrett.

Durante las dos últimas décadas, la incidencia de adenocarcinoma de esófago distal y cardias ha experimentado un gran ascenso, correspondiendo estos tumores a localizaciones proximales de CG. El principal factor predisponente es el esófago de Barrett, definido por la presencia de mucosa gástrica en el segmento esofágico distal, la cual habitualmente presenta epitelio metaplásico con células columnares y caliciformes. Se encuentra en el 10-12% de personas sometidas a endoscopia que padecen reflujo gastroesofágico (Van Asche y col, 1988), aunque un estudio realizado con material de autopsias ha sugerido que la verdadera frecuencia puede ser 20 veces mayor (Cameron y col, 1990). La prevalencia de adenocarcinoma en estos enfermos es del 10% (Dent y col, 1991). El esófago de Barrett puede presentar DG asociada en la mucosa glandular heterotópica y obviamente también MI tipo III.

 

[Índice] [Introducción] [Condiciones Precursoras] [Pólipos] [Gastritis y Metaplasia] [Displasia] [Esófago Barrett] [Bibliografía]


Contenido

E-mail info@conganat.org

CopyRight Sanz Anquela JM, Moro Rodríguez JE, Olmedilla Arregui G., 1998.
Última actualización: 01 noviembre 1998 22:09