II-CVHAP.gif (16582 bytes)

PATOLOGIA GASTRICA: CONDICIONES Y LESIONES PRENEOPLASICAS

Sanz Anquela JM, Moro Rodríguez JE, Olmedilla Arregui G.

Comentarios

[Índice] [Introducción] [Condiciones Precursoras] [Pólipos] [Gastritis y Metaplasia] [Displasia] [Esófago Barrett] [Bibliografía]

1.- CONDICIONES PRECURSORAS


El CG, es habitualmente precedido por una serie de acontecimientos en la mucosa gástrica, que en determinadas ocasiones constituyen el sustrato lesional de distintas enfermedades. La enfermedad de Menetrier, Anemia Perniciosa, úlcera gastroduodenal y gastritis, se han vinculado como asociadas con un mayor riesgo de CG. En la enfermedad de Menetrier se ha descrito hasta un 8% más de riesgo de CG (Rösch y Elster, 1981), pero ni esta patología ni la úlcera gastro-duodenal, debería ser considerada condición precursora de CG, ya que de existir un aumento real del riesgo de CG vendría dado por la lesión glandular atrófica con la que se asocian (Wood y col, 1983). También en la Anemia Perniciosa el sustrato lesional precursor es la atrofia glandular gástrica, pero esta enfermedad epidemiológicamente muestra una elevación más estable del riesgo relativo de CG y se asocia con otras lesiones precursoras como los pólipos (Armbrecht y col, 1990), la displasia (Stockbrügger y col, 1983) y la metaplasia intestinal (MI), (Sipponen y col, 1986).

 

Respecto de las condiciones clínicas de gastritis y la infección de la mucosa gástrica por Helicobacter pylori, parece evidente la elevación del riesgo de CG en pacientes con una patología inflamatoria crónica y recidivante frecuentemente asociada con este tipo de bacteria patógena "lenta" (González y col, 1997). El sustrato lesional precursor subyacente al complejo multifactorial de gastritis multifocal (alimentaria), asociado o no a Helicobacter, quedaría definido por el proceso dinámico de atrofia-MI-displasia (Correa, 1992).

 

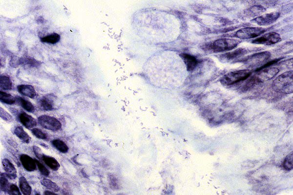
El epitelio foveolar gástrico puede estar tapizado por abundante flora tipo Helicobacter agrupada linealmente sobre el polo luminal (patrón adherente - Figura 1), o los gérmenes pueden presentar menor adherencia epitelial (patrón libre - Figura 2). El mayor grado lesional epitelial viene dado por el patrón intercelular de distribución de la flora que evidencia una activa infección de la mucosa por el germen, probablemente en relación tanto con peculiares características citotóxicas de determinadas cepas de H. pylori, como con cierto grado de susceptibilidad genética del huesped mediada por el sistema de histo-compatibilidad HLA (Telford y col, 1997). El inmunofenotipo Lewis también parece condicionar cierta predisposición para la infección por Helicobacter. Los fenotipos no secretores son más susceptibles a las infecciones. Por otro lado, las alteraciones II y III en la expresión del fenotipo Lewis a-b+ representan un biomarcador de riesgo de CG (Torrado y col, 1992).

fig1.jpg (81739 bytes)

Fig. 1

fig2.jpg (54449 bytes)

Fig. 2

Otras infecciones persistentes, como la originada por el virus de Epstein-Barr también parece relacionarse con el desarrollo del CG, encontrándose secuencias virales en células tumorales hasta en un 16% de los casos (Lewin y Appelman, 1996). Estudios realizados en biopsias gástricas de lesiones precursoras también encuentran infectado el epitelio gástrico por el virus de Epstein-Barr, infección prolongada que puede contribuir al desarrollo del CG (Yanai y col, 1997).

 

Aunque la elevación del riesgo relativo de CG en pacientes operados de estómago, hasta 4 veces más que en el resto de la población, es conocida desde hace tiempo (Kivilaakso y col, 1977), esta condición precursora es algo controvertida respecto a la necesidad de un estricto seguimiento, al menos en áreas geográficas de bajo riesgo de CG (Lewin y Appelman, 1996). La lesión histológica más frecuentemente encontrada en la neoboca gástrica es la inflamación con hiperplasia reparativa y cambios glandulares quísticos (gastritis quística de neoboca), detectándose también MI y displasia. El grado y tipo de patología de la mucosa están afectados por la modalidad de la intervención y el período de años transcurridos desde la intervención quirúrgica (el CG aparece entre 15 y 25 años tras la gastroenterostomía). La intensidad de la inflamación y la frecuencia de la metaplasia es más elevada en el Billroth II, que en el Billroth I, progresando también a medida que aumenta el tiempo transcurrido desde la intervención quirúrgica.

 

[Índice] [Introducción] [Condiciones Precursoras] [Pólipos] [Gastritis y Metaplasia] [Displasia] [Esófago Barrett] [Bibliografía]


Contenido

E-mail info@conganat.org

CopyRight Sanz Anquela JM, Moro Rodríguez JE, Olmedilla Arregui G., 1998.
Última actualización: 01 noviembre 1998 22:09