II-CVHAP.gif (16582 bytes)

PATOLOGIA GASTRICA: CONDICIONES Y LESIONES PRENEOPLASICAS

Sanz Anquela JM, Moro Rodríguez JE, Olmedilla Arregui G.

Comentarios

[Índice] [Introducción] [Condiciones Precursoras] [Pólipos] [Gastritis y Metaplasia] [Displasia] [Esófago Barrett] [Bibliografía]

2.- LESIONES PRECURSORAS.


Si entre las condiciones precursoras mejor definidas de CG figura la gastritis alimentaria o multifocal, asociada o no a infección por Helicobacter pylori, las lesiones precursoras más relevantes son los pólipos adenomatosos y vellosos, y el complejo lesional gastritis crónica atrófica / metaplasia intestinal / displasia.

 

2.1. - Pólipos gástricos.

Los pólipos son elevaciones circunscritas, pediculadas o sesiles, de la mucosa, que a diferencia del intestino grueso en el que son muy frecuentes, son raros en el estómago encontrándose tan sólo en el 2% de las endoscopias gástricas. Existen distintos tipos de pólipos, bien como lesiones aisladas o formando parte de poliposis y síndromes, pero a efectos de lesión precursora son los pólipos adenomatosos y vellosos, o adenomas tubulares y vellosos, los que pueden desarrollar variables grados de displasia y transformación maligna (Lewin y Appelman, 1996).

 

El riesgo de malignización es proporcional a la talla del pólipo, alcanzando el 50% en algunas series con tamaños por encima de los 2 cm. Los pólipos adenomatosos pueden estar asociados con síndromes de poliposis gastrointestinal, como el de Gardner y la poliposis colónica familiar. Tanto los pólipos adenomatosos como los hiperplásicos son de predominio antral. Algunos pólipos hiperplásicos pueden presentar rara vez cambios displásicos y existen casos documentados de poliposis no adenomatosas que han desarrollado CG, pero son situaciones excepcionales. Además en muy pocos CG se encuentra antecedente de pólipo e incluso en grandes series japonesas de CG precoces la proporción de pólipos adenomatosos sobre los que se desarrollaron no alcanzó el 3% (Lewin y Appelman, 1996).

 

2.2. - Gastritis Crónica Atrófica y Metaplasia Intestinal.

La observación de que el CG puede ser precedido de cambios lesionales inflamatorios en la mucosa gástrica, se remonta a principios de siglo (Dielafoy, 1904). La inflamación persistente o recidivante, conduce a una pérdida de masa de celularidad principal y parietal gástrica (atrofia), y más tarde a un cambio en la expresión fenotípica de la celularidad de reserva que representan los fenómenos de metaplasia. La sustitución del epitelio lesionado (células parietales y principales), puede ser a expensas de (1) células mucosas de tipo antral (metaplasia antral), (2) enterocitos y células caliciformes (metaplasia intestinal completa), o finalmente pueden participar células con características morfologías y funcionales ambiguas entre la célula absortiva intestinal y la caliciforme (3), son las células indeterminadas o inmaduras con alteraciones en la secreción de mucinas de la metaplasia intestinal incompleta.

 

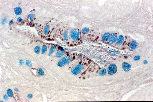
Las mucinas gástricas del epitelio foveolar y mucoso antral, son neutras (de color rojo PAS+ con la tinción de Azul Alcián - PAS a pH 2.5), mientras que las mucinas intestinales son ácidas (de color azul con la referida tinción). Entre las mucinas ácidas intestinales podemos distinguir las sialomucinas (N-acetiladas en el I. delgado y O-acetiladas en el I. Grueso), de las sulfomucinas (sólo en el I. Grueso), porque éstas últimas se tiñen de negro con la reacción de hierro diamina (HID). La secreción de sulfomucinas se asocia con la MI incompleta tipo IIb de Jass (Jass, 1980), o tipo III de Filipe (Filipe, 1983), que es el tipo de MI con mayor riesgo precursor de CG (Filipe y Jass 1986). Aunque para el diagnóstico de MI tipo III es precisa la realización de la tinción HID, con el AA-PAS a pH 2.5 pueden distinguirse bien las MI completas de las incompletas, observando en estas últimas las células indeterminadas con microvacuolas alcianófias (Figura 4).

fig3.jpg (56399 bytes)

Fig. 3

fig4.jpg (62151 bytes)

Fig. 4

Si bien al analizar distintos patrones de MI, sólo algunos de ellos como la MI tipo III aparecen selectivamente asociados con el riesgo de desarrollo de CG (Figura 3), no hay que olvidar que la intestinalización gástrica es un proceso dinámico dependiente de la gradual extensión de la gastritis crónica atrófica (Sipponen y col, 1983). Incluso algunos autores han planteado que los distintos tipos de MI pueden interprestarse como diferentes estadios de un mismo proceso básico, sin que ningún tipo de MI represente fenómenos cualitativamente diferenciados (Sipponen y col, 1980), constituyendo el mayor grado lesional tan sólo un marcador de la extensión de la MI. Concluyendo, la extensión de la MI podría tener el mismo significado precursor que la MI tipo III, lesión bien definida morfológica e histoquímicamente y que surge habitualmente rodeada de extensas áreas de MI completa. Aunque la extensión de la MI puede evaluarse por métodos cuantitativos y semicuantitativos, una aproximación que ha resultado válida en un área de alto riesgo de CG es sencillamente contar el número de fragmentos que la presentan respecto del total de los fragmentos, proporción que ha guardado relación con los grupos de mayor riesgo (Ramírez, 1994).

La mucosa gástrica con MI presenta unas condiciones microambientales menos propicias para la colonización del Helicobacter que la mucosa foveolar normal, a pesar de lo cual también puede observarse en ella (Figura 2). La MI representa un estadío intermedio de carcinogénesis gástrica reversible, existiendo datos que sugieren una regresión de la MI tras la erradicación del Helicobacter (Ciok y col, 1997).

 

[Índice] [Introducción] [Condiciones Precursoras] [Pólipos] [Gastritis y Metaplasia] [Displasia] [Esófago Barrett] [Bibliografía]


Contenido

E-mail info@conganat.org

CopyRight Sanz Anquela JM, Moro Rodríguez JE, Olmedilla Arregui G., 1998.
Última actualización: 01 noviembre 1998 22:09