
Dr. Tomás Álvaro Naranjo, Dr. Ramón Bosch Príncep, Dra. Salomé Martínez González, Dra. Mª Teresa Salvadó Usach
Tumores de células B
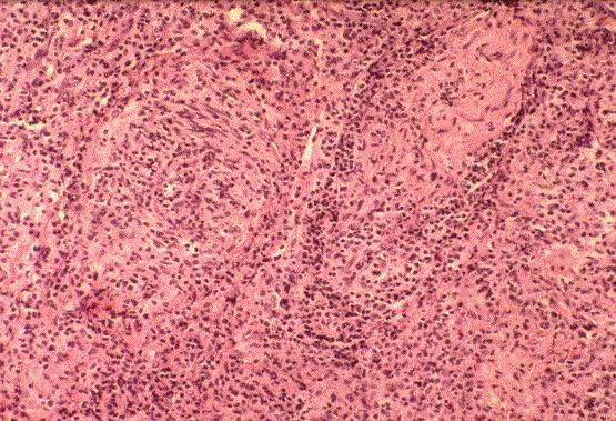
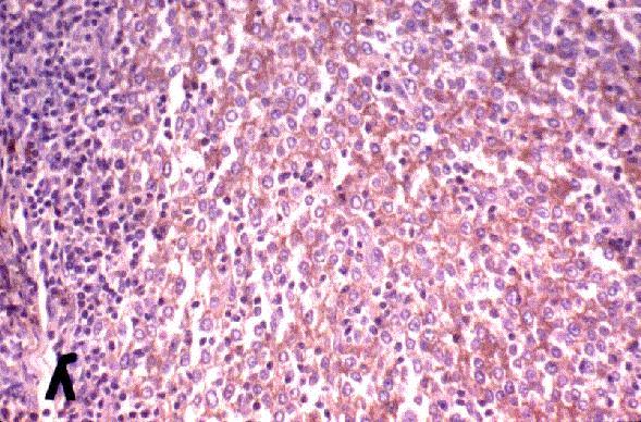
Leucemia/linfoma linfoblástico
LEUCEMIAS / LINFOMAS LINFOBLÁSTICOS B |
|
MORFOLOGÍA: |
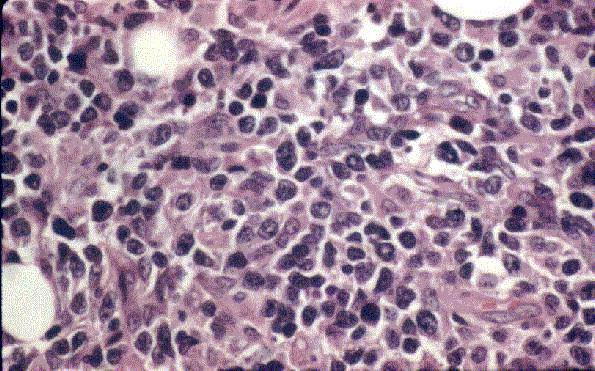
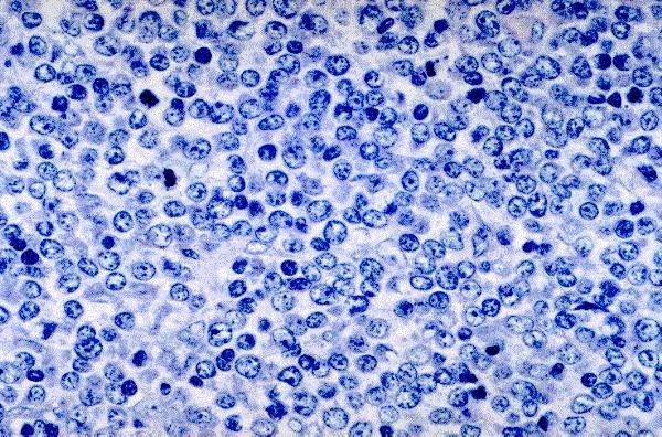
Linfocitos de tamaño intermedio con núcleo redondo o convoluto y nucleolo inconspicuo. Citoplasma escaso y débilmente basófilo. Mitosis: Frecuentes y puede observarse un patrón en cielo estrellado. |
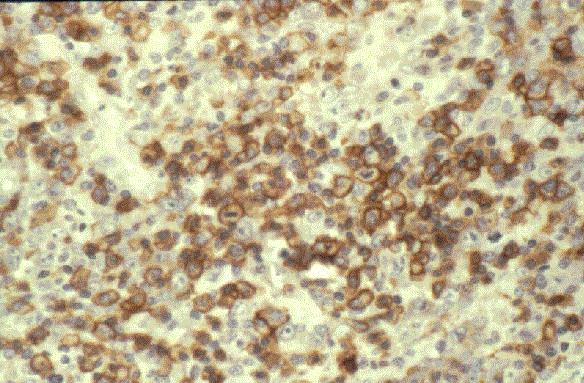
TdT+, CD19+, CD79a+, CD22+, CD20-/+, CD10+, HLADR+, cIg Mu-/+, CD34+/-. |
|
GENÉTICA: |
Reordena cadenas pesadas de Ig; las cadenas ligeras pueden ser reordenadas. Anomalias citogenéticas variables. |
LEUCEMIA LINFOCÍTICA CRÓNICA DE CÉLULAS B LEUCEMIA PROLINFOCÍTICA DE CÉLULA B LINFOMA DE LINFOCITOS PEQUEÑOS B |
|
MORFOLOGÍA: |
|
|
|
GENÉTICA: |
|
INMUNOCITOMA / LINFOMA PLASMACÍTICO |
|
MORFOLOGÍA: |
Linfocitos plasmocitoides (citoplasma amplio basófilo y núcleo similar a linfocitos), células plasmáticas y linfocitos pequeños. Ausencia de hallazgos de LLC-B, LCM, LCF y LZM. |
SIgM +, CIg +, CD5 -, CD10 -, CD19,20,22,79a +, CD23+. |
|
GENÉTICA: |
No anomalías específicas conocidas. Reordenamiento de genes de IgH y IgL. |
LINFOMA DE CÉLULAS DEL MANTO |
|
MORFOLOGÍA: |
Linfocitos pequeños irregulares de forma centrocitoide. |
Igs + , CD5 +, CD10 -/+, CD19,20,22,79a +, CD23 -. |
|
GENÉTICA: |
t(11;14). Reordenamiento para bcl-1. Sobreexpresión de PRAD1/D1 Ciclina. Genes de IgH y IgL reordenados. |
LINFOMA CENTROFOLICULAR |
|
MORFOLOGÍA: |
Mezcla de centrocitos y centroblastos (células hendidas y blastos del centro germinal). Patrón folicular aunque puede tener áreas difusas. Los cc predominan aunque existen los LF con predominio de CB. Grados citológicos: GI: predominan las cél. pequeñas. GII: mixto con cél. pequeñas y grandes. GIII: predominan las cél. grandes. Subtipo provisional: Linfoma centrofolicular, difuso: compuesto predominantemente de cc y con menos cb pero con patrón difuso. |
SIg + , CD5 -, CD10 -/+, CD19,20,22,43,79a +, bcl-2 +. |
|
GENÉTICA: |
t(14;18). Reordenamiento para bcl-2 (90% de los casos). Sobrexepresión de proteína BCL-2. Genes de IgH y IgL reordenados. |
LINFOMA DE CÉLULAS B DE LA ZONA MARGINAL NODAL Y EXTRANODAL (TIPO MALT) |
|
MORFOLOGÍA: |
Células pequeñas tipo centrocito, células B monocitoides, linfocitos pequeños y células plasmáticas. |
SIg + , CD5 -, CD10 -, CD19,20,22,79a +, CD23 -. |
|
GENÉTICA: |
Trisomía 3 y t(11;18) en algunos extranodales. No reordenamiento de bcl-2 y/o bcl-1. Genes de IgH y L reordenados. |
LINFOMA DE CÉLULAS B DE LA ZONA MARGINAL ESPLÉNICA |
|
MORFOLOGÍA: |
Células pequeñas tipo centrocito, celulas B monocitoides, linfocitos y células plasmáticas. Centros germinales esplénicos hiperplásicos o atróficos pero rodeados por estas cél. tumorales que afectan al manto y a la zona marginal. La pulpa roja puede estar afecta. |
SIg (M>G>A) +, SIg D -, CD5 -, CD10 -, CD19,20,22,79a +, CD23 -. |
|
GENÉTICA: |
No suficientemente estudiadas las alteraciones aunque la trisomia 3 no ha sido detectada. |
LEUCEMIA DE CÉLULAS PELUDAS |
|
Linfocitos pequeños con núcleo oval o ariñonado y citoplasma claro. Afecta a la pulpa roja esplénica atrofiando la blanca. |
|
INMUNOFENOTIPO: |
SIg + , CD5 -, CD10 -, CD19,20,22,79a +, CD23 -, CD11c,25. CD103 (MLA) + (este es el más específico). |
GENÉTICA: |
Ninguna específica. Genes de IgH y IgP reordenados. |
PLASMOCITOMA / MIELOMA DE CÉLULAS PLASMÁTICAS |
|
MORFOLOGÍA: |
Células plasmáticas maduras o inmaduras (plasmablastos). |
SIg - , CIg +, CD 38 +, CD5 -, CD10 -, CD19,20,22 -, CD79a (mb-1) +/-, CD45-/+, EMA +/-. CD30 + (BerH2 en parafina). |
|
GENÉTICA: |
Puede o no haber reordenamiento para IgH o IgL. |
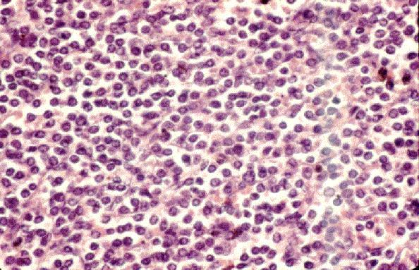
LINFOMA DIFUSO DE CÉLULAS GRANDES B |
|
MORFOLOGÍA: |
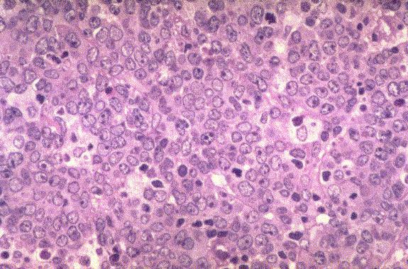
Células grandes con núcleo vesicular de gran tamaño (de almenos dos veces el tamaño de un linfocito pequeño), nucleolo prominente y con citoplasma basófilo on un índice de proliferación moderado-alto. Esta categoria incluye los linfomas centroblasticos (a veces multilobados), inmunobláticos, anaplásicos B (CD30+ o no) y los Linfomas B ricos en células T o ricos en histiocitos. Subtipo: Linfoma primario mediastínico (tímico) de células grandes B: centroblastos, centrocitos o cél. multilobadas con citoplasma claro. Raramente parecen inmunoblastos. Frecuente esclerosis compatimentalizante. Suele afectar el timo en la presentación. |
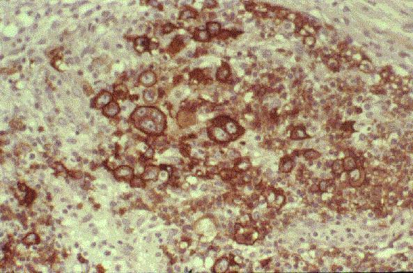
CIg +/-, SIg -/+, CD5 -/+, CD10 -/+, CD19,20,22,79a +, CD45 +/-. |
|
GENÉTICA: |
t(14;18) y reordenamiento de bcl-2 en un 30% y c-myc en algunos casos. . Reordenamiento de bcl-6 hasta un 60%. Reordenamiento de genes de IgH y IgL |
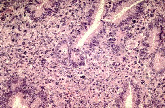
LINFOMA DE BURKITT |
|
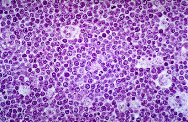
Células monomórficas, de mediano tamaño, con citoplasma basofílico amplio, núcleo redondo, nucleolos múltiples y con altísimo índice de mitosis y cariorexis y apariencia de cielo estrellado. Patrón celular cohesivo. |
|
INMUNOFENOTIPO: |
SIgM + , CD5 -, CD10 +, CD19,20,22,79a +, CD23 -. |
GENÉTICA: |
t(8;14), t(2;8), o t(8;22). Reordenamiento del c-myc. EBV en la mayoría de los casos africanos y en un 25-40% de los asocidados a inmunodeficiencias y menos en el resto. |
LINFOMA B DE ALTO GRADO, BURKITT-LIKE Entidad provisional |
|
Hallazgos intermedios entre los LCGB de tipo centroblastico y inmunoblástico y los Linfomas de Burkitt y las subclasificación en uno de estos grupos es imposible. Es una categoría difícilmente reproducible y heterogénea pero necesaria para estos casos borderline. |
|
INMUNOFENOTIPO: |
SIg +/- (pueden tener CIg) , CD5 -, CD10 -, CD19,20,22,79a +. |
GENÉTICA: |
Carecen de reordenamiento del c-myc. Reordenamiento para bcl2-2 (30%). |
Volver al Índice
Tumores de células T y células NK
Leucemia/linfoma linfoblástico
LEUCEMIA / LINFOMA LINFOBLASTICOS T |
|
Células tumorales idénticas a los linfoblastos B con núcleo redondo o convoluto, cromatina fina, nucleolo inconspicuo y citoplasma escaso. |
|
INMUNOFENOTIPO: |
TdT +, CD1a +/-, CD3 +/,CD7 +. CD4 y CD8 doble positivo o negativo. Marcadores B negativos. Ocasionalmente expresan marcadores de NK (CD 16, CD57). |
GENÉTICA: |
Reordenamiento de los genes TCR variable. También reordenamientos de IgH. Anomalías citogenéticas variables. |
LEUCEMIA LINFOCÍTICA CRÓNICA T LEUCEMIA PROLINFOCÍTICA T |
|
La mayoría linfocitos con nucleolo prominente, con alguna irregularidad nuclear y con citoplasma más abundante que las LLC-B perteneciendo a la categoría prolinfocítica. Algunos casos tienen células más pequeñas y parecen la LLC-B. Afectación difusa y paracortical. Carece de pseudofolículos. Las vénulas de endotelio alto pueden ser prominentes. La pulpa roja esplénica y los sinusoides hepatocitarios pueden estar infiltrados. La médula suele estar infiltrada difusamente. |
|
INMUNOFENOTIPO: |
CD2,3,5,7 +, CD4 + (65%), CD8 +/ -, CD25 -. |
GENÉTICA: |
Reordenamiento clonal para genes TCR. Inv 14(q11;32) en un 75%. Trisomia 8q. |
LEUCEMIA DE LINFOCITOS GRANULARES GRANDES: tipo células T tipo células NK |
|
Células de mediano tamaño a pequeño con núcleo redondo u oval, excéntrico. Gránulos azurófilos citoplásmicos. |
|
INMUNOFENOTIPO: |
Tipo Cél. T: CD2+, CD3+, CD5-, CD7-, TCRab+, CD4-, CD8+, CD16+ CD56- CD57+/-, CD25-. Tipo Cél. NK: CD2+, CD3-, TCRab-, CD4-, CD8+/-, CD16+ CD56+/- CD57+/-. |
GENÉTICA: |
Tipo Cél. T: Reordenamiento de genes TCR clonal. Tipo Cél. B: No reordenamiento de genes TCR clonal. Asociación con el VEB en casos agresivos asiáticos. No anomalías específicas. |
MICOSIS FUNGOIDES / SÍNDROME DE SÉZARY |
|
MORFOLOGÍA: |
Células de mediano a pequeño tamaño, con núcleo cerebriforme. Minoría de células mayores con idéntica morfología nuclear. Infiltración epidérmica. Afectación paracortical con acompañamiento por células dendríticas y Cél. De Langerhans. |
CD2,3,5 +, CD4+ en la mayoría, CD7+ en 1/3, CD8,25 -. |
|
GENÉTICA: |
Reordenamientos clonales para genes TCR. No anomalías específicas. |
LINFOMA DE CÉLULAS T PERIFÉRICAS, NO ESPECÍFICO |
|
MORFOLOGÍA: |
Mezcla de Cél. T de pequeño y gran tamaño, con núcleo cerebriforme. Incluso en los que predomina una población intermedia o grande existe un amplio espectro de tamaños celulares. Los eosinófilos, histiocitos epitelioides y vasos pueden ser numerosos (El linfoma de Lennert o linfoma de células linfoepiteliodes se considera una categoría citológica de LT periférico rica en histiocitos epiteliodes). Ocasionales células hipercromáticas que pueden simular CRS. Infiltración epidérmica. Tres categorías provisionales citológicas: De célula mediana-pequeña. Mixtos. De célula grande. Cuatro tipos de L. T periférico "específicos": Linfoma T angioinmunoblástico. Linfoma angiocéntrico. L T intestinal con o sin enteropatía. Linfoma/leucémia de células T del adulto (HTLV1+) Dos entidades provisionales: Linfoma hepatoesplénico de células Tg d . Linfoma paniculítico subcutáneo de células T. |
Expresión variable de marcadores T: CD3,2,5,7; El DC3 es el más estable. |
|
GENÉTICA: |
Reordenamiento clonal de genes de TCR. No anomalías específicas. |
LINFOMA DE CÉLULAS T ANGIOINMUNOBLÁSTICO |
|
MORFOLOGÍA: |
Arquitectura del ganglio borrada, senos periféricos abiertos i incluso dilatados aunque el infiltrado se extiende más allá de la cápsula. Proliferación de vénulas de endotelio alto arborizándose muchas mostrando paredes engrosadas o hialinizadas PAS+. Agregados de CDF que rodean los vasos sanguíneos proliferantes y que pueden dar la apariencia de centros germinales quemados. Ausencia de folículos secundarios. Infiltrado mixto de linfocitos pequeños, inmunoblastos y células atípicas claras. |
CD2,3,5,7 +. Generalmente CD4 +. Grandes agrupaciones de células dendríticas foliculares alrededor de las vénulas que proliferan. Ocasionalmente blastos B. |
|
GENÉTICA: |
Reordenamiento clonal de genes par TCR en 75%. IgH en 10%. Genoma de VEB en muchos casos. Trisomía 3 y/o 5 puede ocurrir. |
LINFOMA ANGIOCÉNTRICO |
|
MORFOLOGÍA: |
Linfocitos polimorfos que rodean e infiltran la pared de los vasos compuestos por una mezcla de linfocitos pequeños de apariencia normal y un número variable de linfocitos atípicos y inmunoblastos junto con células plasmáticas y ocasionales eosinófilos y histiocitos. Provocan oclusión de la luz vascular y por ello se acompañan de abundante necrosis de tejido tumoral y normal. La granulomatosis linfomatoidea que afecta a los pulmones ha sido considerada en este grupo pero recientemente se ha sugerido que al menos una parte de estos casos pueden ser proliferaciones de células B asociadas a VEB y por tanto una categoría diferente. |
CD2+, generalmente CD56+ y CD3 -. CD5,7 +/-, CD4,8 +/-. En casos pulmonares las células atípicas expresan antígenos B. |
|
GENÉTICA: |
Reordenamiento clonal de genes TCRb. |
LINFOMA DE CÉLULAS T INTESTINAL (con o sin enteropatía) |
|
Úlceras yeyunales, generalmente múltiples y con perforación frecuente que se acompañan o no de masa. El infiltrado es polimorfo con cél. Pequeñas o medianas mezcladas con cél. Grandes o anaplásicas generalmente acompañándose de una importante cantidad de cél. T intraepiteliales. La mucosa no neoplásica puede o no mostrar atrofia vellositaria. Las lesiones iniciales pueden mostrar únicamente aisladas cél. Atípicas y numerosos histiocitos reactivos. |
|
INMUNOFENOTIPO: |
CD3,7 +, CD8 +/ -, CD103 + (MLA: HML-1, LFG1, Bly7, Ber-ACT8). |
GENÉTICA: |
Reordenamiento clonal de genes de TCRb. |
LINFOMA / LEUCEMIA DE CÉLULAS T DEL ADULTO |
|
MORFOLOGÍA: |
Infiltrado con patrón difuso linfocitos atípicos polimorfos de tamaño pequeño que se mezclan con linfocitos de gran tamaño, todos ellos con núcleos pleomórficos. Pueden observarse células gigantes que parecen CRS. En sangre periférica se observan frecuentemente cél. con núcleos hiperlobados (células en flor o en hojas de trébol). La infiltración de la médula es difusa. |
CD2,3+, frecuentemente CD4,25 +, CD7 -. |
|
GENÉTICA: |
Reordenamiento clonal de los genes de los TCR. Genoma del HTLV-1 integrado en todos los casos. |
LINFOMA DE CÉLULAS GRANDES ANAPLÁSICO (CD30+) (tipos T y de Cél. Nula). |
|
MORFOLOGÍA: |
Células blásticas, de gran tamaño y bizarras con núcleos pleomórficos, con forma de herradura o con multinucleación generalmente con uno o múltiples nucleolos prominentes. Las formas multinucleadas simulan CRS. Citoplasma abundante. Patrón cohesivo con extensión intrasinusoidal. Frecuente afectación extranodal (partes blandas, hueso, piel). Mezcla de granulocitos y macrófagos. |
Fenotipo T o nulo. CD 30 +, EMA +/-. CD45 +/-, CD25+/-, CD15 -/+, CD3 -/+, CD43 -/+, CD45RO -/+, CD68 - (KP1 puede ser +), lisozima -. Los casos cutáneos son EMA - y antígeno de los linfocitos cutáneos (CLA, HECA-452). |
|
GENÉTICA: |
t(2;5) en algunos casos de formas sistémicas. Reordenamiento para los genes TCR en 50-60% de los casos. |
LINFOMA ANAPLÁSICO DE CÉLULAS GRANDES RELACIONADO CON HODGKIN - Entidad provisional - |
|
MORFOLOGÍA: |
Nidos confluentes de células tumorales con patrón cohesivo, generalmente sinusoidal, similar al LACG pero con hallazgos arquitecturales que asemejan EH EN tale como un engrosamiento capsular, un crecimiento nodular del tumor y bandas de esclerosis. |
INMUNOFENOTIPO: |
Fenotipo T o nulo. CD 30 +, EMA +/-. CD45 +/-, CD25+/-, CD15 -/+, CD3 -/+, CD43 -/+, CD45RO -/+, CD68 - (KP1 puede ser +), lisozima -. EBV -. |
GENÉTICA: |
No conocidas. |
Volver al Índice
[Índice] [Marcadores] [Linfomas_NH] [Enf._Hodgkin] [Prolif._histiocitarias] [Sd. linfoprolif._esplenicos] [Extranodales] [Dg._práctico] [Bibliografía] [Iconografía] |