II-CVHAP.gif (16582 bytes)

TUMORES BENIGNOS DE LA MEMBRANA SINOVIAL

Ana María Puig Rullán, Javier Paulino Tevar, José Maria Durá de Pinedo.

Comentarios

[Índice]  [Introducción]  [Tumores Benignos]  [Sinovitis Villonodular p.]  [Condromatosis]  [Lipomatosis]  [Bibliografía]

II. TUMORES BENIGNOS


II-1 HEMANGIOMA

II-2 LIPOMA

II-3 FIBROMA

II-4 CONDROMA


II-1 HEMANGIOMA

Definición: Es un tumor benigno cuya estructura se asemeja a los vasos sanguíneos normales. Es difícil definir sí son realmente neoplásias o hamartomas. Ocurre en las articulaciones, bursas y vainas tendinosas. Es unilateral y la articulación más afectada es la rodilla, seguida del codo y tobillo, aunque hay un caso publicado en la articulación temporomandibular(2). Es común en niños y adultos jóvenes y clínicamente se caracteriza por dolor, limitación de la movilidad , frecuentemente asociado con derrame articular hemático o a una masa palpable. En los niños puede ser asintomático.

Los hemangiomas se clasifican según el tipo y la localización (3).Según el tipo , tenemos la forma localizada y la forma difusa. La forma localizada consiste en una masa bien circunscrita y pediculada que puede ocasionar bloqueo articular. Su extirpación es relativamente fácil. La forma difusa es infiltrativa y es posiblemente un defecto congénito o una malformación.

Según la localización , los hemangiomas de la membrana sinovial pueden clasificarse como yuxta-articulares, intraarticulares o mixtos.

Radiograficamente lo más característico es la presencia de flebolitos y pueden ocasionar erosión ósea.

El diagnóstico diferencial del hemangioma sinovial debe realizarse con la artritis tuberculosa, sífilis, sarcoma sinovial, hemartros traumático, artropatia hemofílica y sinovitis villonodular pigmentada.

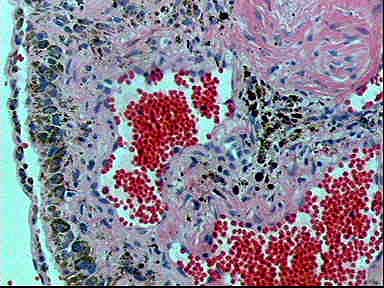
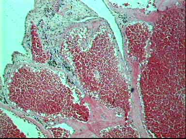
Microscópicamente la lesión puede ser de tipo capilar o cavernoso, con un revestimiento superficial por membrana sinovial en el hemangioma circunscrito. Los sinoviocitos de las vellosidades pueden presentar pigmento hemosiderínico. En el hemangioma difuso las estructuras vasculares son de tipo venoso (Figura 2).

fig02a.jpg (26020 bytes)

fig02b.jpg (26625 bytes)

Figura 2. Hemangioma sinovial.

El tratamiento de elección para el hemangioma circunscrito es la extirpación simple, pero en la forma difusa es difícil o generalmente imposible, por ello son frecuentes las recidivas. No se recomienda la radioterapia (4)

 


II-2 LIPOMA

Definición: Es un tumor benigno, lobulado y encapsulado constituido por adipocitos maduros. La forma intraarticular es menos frecuente incluso que el hemangioma sinovial. Puede localizarse en una vaina tendinosa (5).

La articulación donde se han descrito estos tumores es en la rodilla (6), donde pueden producir signos de bloqueo articular, simulando una lesión meniscal. El tratamiento consiste en la extirpación de la tumoración intraarticular.

 

La enfermedad de Hoffa, interpretada como un lipoma intraarticular, corresponde a una hiperplasia inflamatoria del tejido adiposo de la región de los ligamentos patelares. Los síntomas consisten en un dolor que se localiza detrás de la rótula o del tendón rotuliano, se calma con el reposo y se exacerba con la extensión forzada de la rodilla. Existe una tumefacción lateroligamentaria interna y externa, dolorosa a la presión (7). Microscópicamente el paquete adiposo muestra hiperemia e hipertrofia del tejido adiposo con infiltrado inflamatorio (8). Si el reposo o las infiltraciones locales no mejoran la sintomatología, es conveniente la ablación quirúrgica del paquete adiposo.

 


 II-3  FIBROMA

Definición: Es un tumor benigno, encapsulado, constituido mayoritariamente por fibroblastos, fibrocitos y sustancia intercelular con gran cantidad de fascículos colágenos. (Figura 3)

puig02.jpg (42658 bytes)

Figura 3. FascÍculos colágenos hialinizados.

El fibroma originado en la membrana sinovial es extremadamente raro y se han descrito casos en las vainas tendinosa de manos y pies. Los casos publicados en la literatura antigua como "fibromas ", corresponden a sinovitis nodulares localizadas, en una fase de colagenización avanzada. Diversos autores interpretan que los fibromas y los tumores de células gigantes de las vainas tendinosas representan conceptualmente tumores relacionados pero histologicamente divergentes. Maluf (9) utilizando criterios clínicos, morfológicos e inmunohistoquímicos considera que estas lesiones representan los extremos de una proliferación celular que puede polarizarse hacia una proliferación monocítica/histiocitica en el caso de los tumores de células gigantes o hacia una diferenciación miofibroblástica en el caso de los fibromas. La extirpación completa de la tumoración es fácil.

 


II-4 CONDROMA

Definición: Es un tumor benigno compuesto por lóbulos de cartílago hialino maduro, separado por tractos fibrosos. Este cartílago puede calcificarse o establecerse un proceso de osificación endocondral, llegando en ocasiones a predominar el hueso y por ello esta lesión ha sido interpretada como un osteoma.

El condroma solitario se presenta en cualquier edad, pero existe alguna predilección por adultos de la tercera y cuarta década.

Puede originarse en el tejido conectivo de la subintima de la membrana sinovial o en el tejido fibroso de la cápsula articular. Se localiza en las articulaciones de manos y pies y ocasionan una tumefacción de crecimiento lento que puede alterar la función de la zona afectada. Radiograficamente (10) se manifiesta como una masa de tejido blando redondeada u ovoide, lobulada, que presenta cantidades variables de calcificación u osificación. A veces puede erosionarse el hueso subyacente. El tratamiento consiste en la extirpación de la tumoración.

 

Comentarios

[Índice]  [Introducción]  [Tumores Benignos]  [Sinovitis Villonodular p.]  [Condromatosis]  [Lipomatosis]  [Bibliografía]


Contenido

E-mail info@conganat.org

CopyRight Ana María Puig Rullán, Javier Paulino Tevar, José Maria Durá de Pinedo, 1998.
Última actualización: 01 noviembre 1998 22:08