
Ana María Puig Rullán, Javier Paulino Tevar, José Maria Durá de Pinedo.
[Índice] [Introducción] [Tumores Benignos] [Sinovitis Villonodular p.] [Condromatosis] [Lipomatosis] [Bibliografía] |
III-2 Condromatosis sinovial.
III-3 Lipomatosis difusa.
Definición: La condromatosis sinovial consiste en la formación metaplásica de múltiples nódulos cartilaginosos benignos en la subíntima de la membrana sinovial de las articulaciones, vainas tendinosas o bursas. Estos nódulos pueden ser pediculados y ser liberados en el espacio articular donde pueden permanecer como cuerpos libres o aumentar de tamaño. La condromatosis puede ser primaria y secundaria, esta ultima debida fundamentalmente a cambios artrósicos o traumáticos.
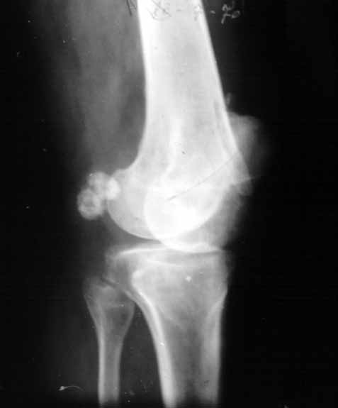
La condromatosis sinovial primaria ocasiona sintomatología monoarticular , con dolor ,inflamación y limitación funcional. Pueden afectarse las bursas y vainas tendinosas aunque la localización mas habitual es la intraarticular . La rodilla es la mas afectada, 50% de los casos, seguida de la cadera y tobillo. (28) La edad de presentación es variable y es mas frecuente en varones que en mujeres, en una proporción de 2:1. Para su diagnóstico sigue teniendo gran interés la radiología simple (29). Los signos radiográficos son muy característicos (figura 14) , si los cuerpos libres están calcificados (osteocondromatosis) , siendo difícil su interpretación si son radiotransparentes (condromatosis ). Los signos radiográficos directos consisten en la presencia de cuerpos extraños intraarticulares calcificados de tamaño variable, mas o menso numerosos pero siempre múltiples (figura 15a y b). Los signos indirectos son menso demostrativos , erosiones óseas por la hipertrofia sinovial, aumento de la interlínea articular por la interposición de cuerpos extraños o artrosis que debuta con perdidas de cartílago . La resonancia nuclear magnética permite el diagnóstico diferencial con las sinovitis y localiza la presencia de cuerpos extraños desarrollados eventualmente en las bolsas serosa contiguas. La artrografía opaca está indicada ante una sospecha clínica sin cuerpos calcificados.
En la artroscopia o artrotomía se observa un marcado engrosamiento de los tejidos blandos de la cavidad articular en la cual se advierten numerosos nódulos cartilaginosos , pequeños e irregulares.
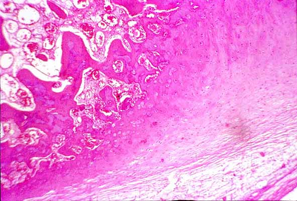
Microscópicamente aparecen pequeños islotes de cartílago hialino en el tejido conectivo de la subintima de la membrana sinovial. Estos islotes de cartílago aumentan de tamaño debido a la proliferación de las células cartilaginosas, llegando a formar nódulos rodeados de una cápsula fibrosa, protuyendo en la membrana sinovial o desprendiédose en la cavidad articular (cuerpos libres articulares ). Estos nódulos cartilaginosos pueden sufrir osificación endocondral o calcificación, llegando a formarse médula ósea en los cuerpos libres articulares (figura 16).
El diagnóstico diferencial mas importante es el condrosarcoma sinovial y la condrometaplásia secundaria, la cual ocurre cuando pequeños fragmentos de hueso o cartílago articular se desprenden dentro de la articulación debido a traumatismos o enfermedades degenerativas. Estos pequeños fragmentos pueden adherirse a la sinovial y pueden estimular una metaplasia cartilaginosa secundaria (30). La artroscopia con extirpación de los cuerpos articulares parece ser el tratamiento de elección en el caso de la rodilla (31).
Definición: La lipomatosis articular es un proceso hiperplásico, poco frecuente, del tejido adiposo de la subíntima de la membrana sinovial, formando excrecencias polipoides o papilares.
La articulación mas afectada es la rodilla, pero también se han descrito casos en la muñeca, cadera (32) y tobillo.
Clínicamente se manifiesta por dolor , tumefacción, limitación del movimiento articular y/o bloqueo similar al observado en la sinovitis villonodular pigmentada. La artroscopia y la resonancia nuclear magnética permiten realizar el diagnóstico diferencial.
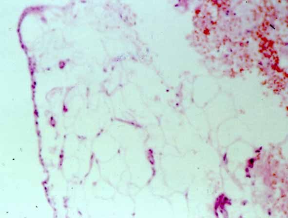
Histologicamente, las vellosidades están cubiertas por una única capa de células (figura 17), y en la subintima existe tejido adiposo con vasos capilares dilatados y un moderado infiltrado inflamatorio de linfocitos y células plásmaticas (33).
El tratamiento es la sinovectomia.
[Índice] [Introducción] [Tumores Benignos] [Sinovitis Villonodular p.] [Condromatosis] [Lipomatosis] [Bibliografía] |