
Ana María Puig Rullán, Javier Paulino Tevar, José Maria Durá de Pinedo.
[Índice] [Introducción] [Tumores Benignos] [Sinovitis Villonodular p.] [Condromatosis] [Lipomatosis] [Bibliografía] |
III-1 Sinovitis villonodular pigmentada localizada y difusa.
III-2 Condromatosis sinovial.
III-3 Lipomatosis difusa.
La sinovitis villonodular pigmentada difusa y la forma localizada son variantes de una misma enfermedad (11) ya que presentan características clínicas semejantes en cuanto a su localización anatómica y las características histológicas sugieren una histogénesis común: la proliferación de las células "tumorales" es semejante desde el punto de vista de la microscopia óptica,electrónica e inmunohistoquimica a las células sinoviales (12) sugiriendo que se tratan de tumores benignos de la membrana sinovial.
Existen en la literatura numerosas publicaciones con objeto de clarificar la etiología de estos procesos, desconociéndose aún cual es su historia natural. Para unos autores se tratarían de neoplasias benignas y para ello se basan en estudios morfológicos de las células tumorales (13, 14) e incluso en análisis citogenéticos demostrando monoclonalidad y anomalías cromosómicas en las células tumorales (15, 16).
Para otros autores se trataría de un proceso reactivo o hiperplásico ocasionado por inflamación o traumatismos repetidos, pero no se ha podido demostrar el mecanismo que desencadenaba estos cambios en la membra sinovial. También se ha sugerido una patogénesis autoinmune (17).
III-1-A Sinovitis villonodular pigmentada difusa
Definición: Es una lesión poco común de la membrana sinovial de las articulaciones, bursas y tendones, que se caracteriza por una proliferación difusa de las células sinoviales y del tejido subintimal con formación de numerosas vellosidades delicadas de color marrón, acompañada de nódulos lobulados, redondeados de diferentes tamaños, pediculados y sesiles con una coloración que varía desde el gris blanquecino al amarillento
Afecta principalmente a las grandes articulaciones, en un 80% de casos a las rodillas, en el 15% a la cadera y se han publicado pocos casos con localización en tobillo , pié, mano, codo, hombro y articulación temporomandibular (18). Afecta por igual a ambos sexos y habitualmente interesa a una sola articulación.
Los síntomas pueden ser similares a otros procesos, como alteraciones mecánicas o meniscales (19), con un carácter crónico y progresivo, no siendo raros los antecedentes traumáticos. La inflamación y rigidez articular está presente en la mayoría de los pacientes. En la exploración clínica, el derrame articular es constante, apreciándose a la palpación una sinovitis difusa, con dolor medio o moderado, la capacidad funcional se ve limitada en grado variable.. Si el proceso afecta a la cadera los signos clínicos corresponden a una coxopatía invalidante, con dolor, limitación funcional y claudicación (20). La aspiración articular permite obtener un líquido oscuro o serohemorrágico muy característico , con numerosas microesférulas de lípidos birrefringentes y células espumosas (21). Es aconsejable la realización de una biopsia sinovial.
La Resonancia nuclear magnética aporta la información más característica en el diagnóstico diferencial entre alteraciones tumorales de partes blandas articulares (23), en la sinovitis villonodular pigmentada (24) . La RNM identifica hemosiderina, derrame articular e hiperplasia sinovial, sin destrucción significativa de la articulación. Además , permite detallar la extensión y distribución de la enfermedad en la articulación .(figuras 4 y 5 ).
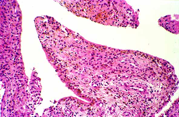
Macroscopicamente, la membrana sinovial presenta una coloración marrón oscura con pequeñas áreas amarillentas, con el típico aspecto filamentoso, velloso o con nódulos lobulados, aunque pueden observarse pequeños focos de sinovial sin afectar (figura 6).
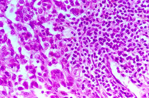
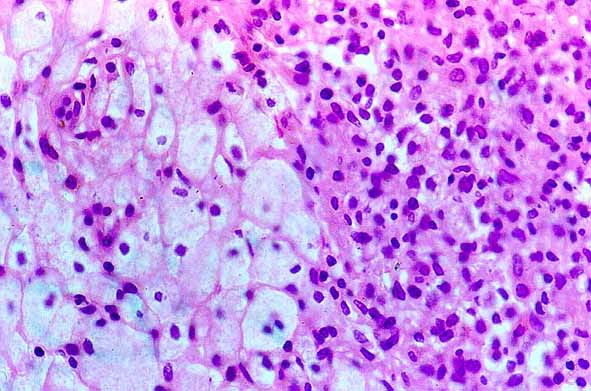
Microscópicamente las delicadas vellosidades están cubiertas por una o varias capas de células sinoviales hipertrofias (figura 7), conteniendo abundante hemosiderina.En el centro de las vellosidades se observan vasos sanguíneos dilatados (figura 8), con un infiltrado linfoplasmocitario (figura 9) y numerosos histiocitos con pigmento hemosiderínico o lípidos ( células espumosas ) (figura 10) y células gigantes multinucleadas en un número variable (figura 11). Estos últimos elementos permiten realizar el diagnóstico diferencial con hemosiderosis sinovial en pacientes con hemofília o con el hemangioma sinovial.
III-I B Sinovitis villonodular pigmentada localizada.
Las formas localizadas son muy frecuentes en las articulaciones de manos y pies, y se presentan cómo un nódulo aislado que crece en un dedo, de hecho son las segunda causa mas frecuente de tumores benignos en manos , después de los gangliones (22). Los nódulos macroscopicamente miden desde unos cuantos milímetros a varios centímetros; hemos tenido la ocasión de estudiar un caso de 8 cm. en la vaina tendinosa de los peroneos (figura 12) . Estos nódulos pueden presentar una coloración amarillenta o marrón, dependiendo de la proporción de tejido fibroso, células xantomatosas o también de la cantidad de macrófagos cargados de hemosiderina.
![]() |
Figura 12.
Extirpación vaina tendinosa de los peroneos. Sinovitis |
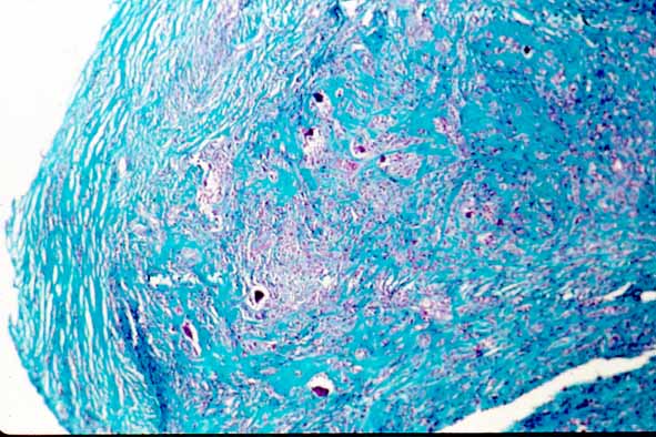
Microscópicamente se caracteriza por grupos de histiocitos con núcleo blando y citoplasma variable, que puede ser eosinófilo, con abundante hemosiderina o lípidos. Las células gigantes pueden ser abundantes o escasas. El infiltrado inflamatorio puede ser limitado o formar agregados densos y el estroma pude presentar marcada colagenización e hialinización (figura 13). En las lesiones pediculadas hay áreas de necrosis debido probablemente a un compromiso vascular.
![]() |
Figura 13.
Nódulo sinovitis villonodular localizada. Células gigantes y |
La punción aspiración con aguja fina de estas lesiones, muestra células dispersas semejantes a osteoblastos y / o histiocitos, macrófagos con hemosiderina, escasas células multinucleadas tipo osteoclasto y células xantomatosas. La punción de estas lesiones es útil con el fin de programar el tratamiento quirúrgico (25).
En las formas localizadas la extirpación de la lesión y la recuperación funcional no ofrece ningún problema, existiendo dudas a cerca de cual es el tratamiento idóneo en las formas difusas (26), debido a que la incidencia calculada de las mismas es de dos casos por millón de habitantes.
La sinovectomia sigue siendo el tratamiento de elección, procurando que sea lo mas completa posible para evitar recidivas, que puede alcanzar el 40% en la rodilla. La radioterapia se ha utilizado excepcionalmente como único tratamiento. Si se producen lesiones osteoarticulares evolucionadas se recurre a la cirugía artroplástica. En los últimos diez años en la articulación de la rodilla se viene utilizando la sinovectomia artroscópica con excelentes resultados en las formas localizadas y difusas (27).
[Índice] [Introducción] [Tumores Benignos] [Sinovitis Villonodular p.] [Condromatosis] [Lipomatosis] [Bibliografía] |