
Prof. J. Escalona ZapataHospital General Universitario Gregorio Marañón |
[Índice] [Aspectos Generales] [Tumores Astrocitarios] [Oligodendroglioma] [Ependimoma] [Meduloblastoma] [Schwannoma] [Cultivo Orgánico] [Bibliografía] |
La imagen en panal de abejas hace que el diagnóstico de oligodendroglioma sea habitualmente sencillo. Sin embargo, existen dificultades en la correcta clasificación de las llamadas formas unusuales (ESCALONA-ZAPATA, 1981), en los que se incluyen los oligodendrogliomas polimorfos, eosinófilos, fusocelulares y pseudoglioblastomas.
Respecto al cultivo de tejidos de oligodendrogliomas, merecen citarse los trabajos de KERSTING (1961, 1968); COSTERO (1962); NEUMANN (1980); CASES-SANCHEZ, 1987).
La emigración celular es lenta, con células pequeñas de núcleo redondo. Poco a poco, el citoplasma va siendo más opaco y con microscopía de fases, brilla fuertemente. Las expansiones son cada vez más evidentes, escasas y emergen bruscamente del citoplasma somático (Fig. 8).
La asociación celular es reticular y dentro de esta trama se forman areolas limitadas por paquetes de fibras con algunas somas celulares. Otras veces quedan aislados pequeños grupos de oligodendrocitos que emiten sus expansiones en forma radial (Fig. 9). El patrón descrito es común a todas las formas clásicas independientemente de su actividad mitósica.
Por su parte, los oligodendrogliomas eosinófilos (ESCALONA-ZAPATA, 1981) muestran una emigración semejante, lenta, con células en las que, dentro de una morfología oligodendróglica, se mantiene el carácter panzudo y eosinófilo típico.
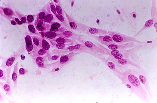
Un fenómeno del mayor interés es la expresión de GFAP que se obtiene constantemente en las fases finales del cultivo, reproduciendo los hallazgos in vitro de HERPERS y BUDKA (1984) y ESCALONA-ZAPATA y MIRANDA (1992), y que aparece también en las líneas estables de oligodendroglioma (MIRANDA NIEVES, 1989) (Fig. 10). Esta tendencia podría explicar la naturaleza de los tumores mixtos, no en función de una doble estirpe celular o de una doble línea de diferenciación, sino por metaplasia astrocítica de una oligodendroglía inicialmente pura.
Las dificultades en el diagnóstico diferencial de los ependimomas dependen de dos factores: a) su variedad textural expresada por tres imágenes distintas: celular, epitelial y papilar; b) la sumación de un grado variable de desdiferenciación en relación con el grado de malignidad.
En el cultivo de tejidos, las células emigradas de los explantos son largas, bipolares y un tanto incaracterísticas en relación con la gran expresividad del tipo de asociación celular el cual se desarrolla con arreglo a tres modalidades distintas:
a) formación de un tapiz celular de aspecto epitelial formado por células de soma bien visible, las cuales se adosan unas a otras. Entre ellas hay abundantísimas fibras largas y delgadas. Este tipo de asociación es el descrito por BATZDORF y POCKRESS (1968) bajo el término "crazy pavement".
b) Emigracion en forma de lenguas más o menos triangulares dentro de las cuales la imagen es como la del tipo anterior con células algo más alargadas, manteniéndose la mezcla con fibrillas intercelulares (Fig. 11).
c) Crecimiento inicial reticular, semejante al de los gliomas astrocíticos, dandose paso poco a poco a placas de aspecto epitelial que progresivamente van aumentando en numero.
De este modo, los cultivos de ependimoma se caracterizan por un patrón prácticamente específico con tendencia a la formación de asociaciones epiteliales peculiares que no se dan en ningún otro tipo de glioma ni de neoplasia epitelial intracraneal.
[Índice] [Aspectos Generales] [Tumores Astrocitarios] [Oligodendroglioma] [Ependimoma] [Meduloblastoma] [Schwannoma] [Cultivo Orgánico] [Bibliografía] |