
Prof. J. Escalona ZapataHospital General Gregorio Marañón |
[Índice] [Aspectos Generales] [Tumores Astrocitarios] [Oligodendroglioma] [Ependimoma] [Meduloblastoma] [Schwannoma] [Cultivo Orgánico] [Bibliografía] |
El cultivo orgánico es una variante de cultivo de tejidos en la que el crecimiento tiene lugar con carácter tridimensional. Se realiza sobre esponja de fibrina o substratos metálicos de forma que el tejido queda en una interfase entre el medio nutriente y una atmósfera rica en CO2.
En el campo de los tumores del sistema nervioso, el cultivo orgánico ha sido empleado casi exclusivamente por la escuela de Rubinstein en Stanford y en Charllotteville y por nosotros en el Hospital General G.Marañon de Madrid.
El interés máximo del cultivo orgánico reside en la capacidad de rediferenciación in vitro, si bien en la interpretación de los resultados es necesaria una gran precaución, toda vez que al estar inmersos en un medio artificial y sin aporte sanguíneo, los explantos sufren fenómenos involutivos que deben ser valorados cuidadosamente.
TUMORES DEL GRUPO ASTROCITOMA GLIOBLASTOMA
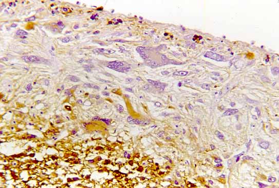
La aportación más importante es el establecimiento de un patrón propio de los astrocitomas de bajo grado. En nuestra experiencia, los tumores del grupo astrocitario presentan como caracteristicas mas destacadas: a) la tendencia de las celulas mas adultas a la hinchazon citoplasmica, formandose una capa de gemistocitos en la superficie del explanto; b) una fase temprana en la que las celulas pierden la capacidad de expresion de GFAP; c ) tras ello, desarrollan progresivamente gran cantidad de filamentos de GFAP (Fig. 13).
Esta capacidad de maduración in vitro se extiende al caso de los astrocitomas anaplásicos (RUBINSTEIN y cols., 1973; SIPE y cols., 1973 y a los glioblastomas en los que al cabo de 3-4 semanas puede comprobarse la maduración en sentido astrocítico. Estos datos confirman el origen astrocitico del glioblastoma (Fig. 14 y 15).
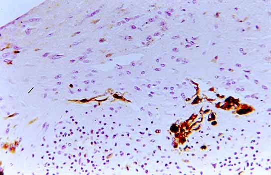
El llamado gliosaroma es el resultante de la asociacion de areas gliomatosas y sarcomatosas en una misma masa tumoral. En dos casos estudiados por nosotros, la conducta del componente glial fue la misma del resto del grupo con expresion de GFAP de caracter progresivo. El componente sarcomatoso expreso Vimentina con negatividad de la GFAP. En ambos casos, el tejido sarcomatoso fue predominando poco a poco, relegando a las celulas astrocitarias a islotes cada vez mas pequeños (Fig. 16), por lo que parece probable que los raros sarcomas primitivos encefalicos sean inicialmente gliosarcomas, con subsiguiente "overgrowth" de la fase mesenquimal.
Las comunicaciones de ependimomas estudiados con cultivo orgánico son muy escasas ( VRAA-JENSEN Y COLS. 1976) En ellas destacan la formación de una capa epitelial superficial que remeda el revestimiento ependimario normal.
En nuestra experiencia, es muy evidente el aumento de fibras alrededor de los vasos, cuya luz queda ahogada en la abundante sustancia intercelular. Igualmente, es llamativa la gran pobreza en la expresion de GFAP, que contrasta con la constante expresion de Vimentina a lo largo de toda la vida del cultivo.
Las comunicaciones de meduloblastomas estudiados por medio de cultivo orgánico se remontan a RUBINSTEIN y cols. (1974), que demostraron la capacidad de maduración en sentido astrocítico. Posteriormente, HERMAN y RUBINSTEIN (1984) demostraron tambien la capacidad diferenciativa neuronal en uno de sus casos.
En nuestra serie, la maduración astrocítica ha sido repetitiva, observándose ocasionalmente maduración neuronal expresada por la positividad a la Enolasa Neuronoespecífica. Uno de nuestros casos, carente de maduración in vivo, fue capaz de desarrollar células con expresión doble de Enolasa Neuronoespecífica y GFAP. Estos resultados parecen demostrar la capacidad bipotencial del meduloblastoma para madurar en sentido neuronal o astrocítico.
[Índice] [Aspectos Generales] [Tumores Astrocitarios] [Oligodendroglioma] [Ependimoma] [Meduloblastoma] [Schwannoma] [Cultivo Orgánico] [Bibliografía] |