
Prof. J. Escalona ZapataHospital General Universitario Gregorio Marañón |
[Índice] [Aspectos Generales] [Tumores Astrocitarios] [Oligodendroglioma] [Ependimoma] [Meduloblastoma] [Schwannoma] [Cultivo Orgánico] [Bibliografía] |
La problematica de los tumores de la serie astrocitica ha sido analizada especialmente por KERSTING (1961, 1968); LUMSDEN (1971, 1974); GULLOTTA y FLIEDNER (1972); ESCALONA-ZAPATA y DIEZ-NAU (1981, 1983); ESCALONA-ZAPATA y cols. (1981); ESCALONA-ZAPATA (1990) y ESCALONA ZAPATA (1996).
El estudio del cultivo de tejidos de tumores astrocíticos debe dividirse en los siguientes apartados: a) astrocitomas hemisféricos de malignidad baja; b) astrocitomas hemisféricos de malignidad alta; c) astrocitomas del cerebelo y línea media; d) glioblastoma y e) formas especiales.
ASTROCITOMA HEMISFERICO DE MALIGNIDAD BAJA
Dentro de este grupo se consideran los astrocitomas desarrollados en los hemisferios cerebrales, en los que el grado histológico de malignidad es mínimo.
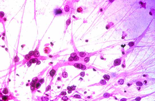
Los explantos presentan un desarrollo monótono, con emigración de células bipolares en una disposicion radial. Tras las primeras semanas, van apareciendo células multipolares, mas evolucionadas que pierden ya la asociación radial inicial y adoptan un patrón reticular. La disposición radial persiste sólo en las proximidades del explanto, mientras que desde aquí se forma un plexo, más o menos apretado, de células multipolares que va cubriendo el cristal (Fig. 1).
Este patrón de crecimiento es común a todos los tipos de astrocitoma hemisférico.
De este modo, la conducta de los astrocitomas hemisféricos puede resumirse del siguiente modo: a) una fase inicial en la que dominan células bipolares que emigran del explanto en disposición radial y b) una fase de estabilización en la que las células van transformándose en elementos multipolares dispuestos en un patrón reticular.
ASTROCITOMA HEMISFERICO CON SIGNOS DE MALIGNIDAD
Estos tumores presentan unas características semejantes al anterior con emigración inicial radial de células bipolares y predominio progresivo de células multipolares dispuestas en plexo (Fig. 2). La única diferencia con los casos de baja malignidad es una mayor persistencia de la fase bipolar con ligero retraso en la aparición de células multipolares.
De este modo, el cultivo de tejidos permite establecer un patrón de crecimiento "in vitro" repetitivo y que posee carácter específico para todos los tumores de estirpe astrocítica de localización hemisférica. Las diferencias entre los grupos representantes de una escala de progresiva malignidad, dentro de un tipo tumoral bien definido, son mínimas y, en la práctica, se reducen a pequeñas variantes en la importancia de la fase bipolar con respecto a la fase bipolar.
A lo largo de la bibliografia, la consideración del glioblastoma ha variado dentro de las siguientes posibilidades: a) una entidad tumoral independiente; b) como un tumor secundario derivado de la máxima malignidad de los astrocitomas (KERNOHAN y SAYRE, 1952), o c) como un grupo heterogéneo que incluiría las formas de máxima malignidad de astrocitomas, oligodendrogliomas y ependimomas (RINGERTZ, 1950; HENSCHEN, 1955).
ESCALONA-ZAPATA y DIEZ-NAU (1981) han logrado una rediferenciación sustancial en sus casos de glioblastomas cultivados y han demostrado su origen estrictamente astrocítico.
Asi, los cultivos de los glioblastomas hemisféricos muestran un comportamiento similar al los astrocitomas hemisféricos, repitiéndose la secuencia bipolar multipolar. La diferencia con los astrocitomas es verdaderamente sutil y consiste en el alargamiento máximo de la fase bipolar de forma que las células multipolares aparecen solamente en las últimas fases del cultivo (Fig. 3 y 4).
En este grupo se incluyen los tumores astrocitarios desarrollados a expensas de la glia de la línea media y que tienen como prototipo al astrocitoma cerebeloso. En ellos existe un tipo de conducta "in vitro" bien definido y diferenciable de los tumores astrocitarios hemisféricos.
Los trabajos de KERSTING (1961, 1968); GULLOTTA y FLIEDNER (1972) y ESCALONA-ZAPATA y DIEZ-NAU (1981) han permitido establecer unos criterios de identificación "in vitro" válidos.
Ya al tercer día de cultivo hay una intensa emigración de células estrechas y nuy largas asociadas en una clara disposición radial. Este aspecto persiste durante las dos primeras semanas y da al cultivo una recia personalidad, con un halo de crecimiento muy ancho, de larguísimas células bipolares radiales, sin componente multipolar. Posteriormente, las células muestran una progresiva tendencia a asociarse en un patrón reticular pero, aun dentro de este patrón reticular, la mayor parte de las células son bipolares y largas, y sólo en los últimos días se encuentran astrocitos multipolares (Fig. 5 y 6).
Cuando el cultivo se prolonga más de las cuatro semanas de rutina, aparecen masas de un material amorfo, superponibles a las fibras de Rosenthal (GULLOTTA Y FLIEDNER 1972; ESCALONA-ZAPATA y DIEZ-NAU 1981) (Fig. 7).
Los explantos de un caso nuestro de glioblastoma del cerebelo mostraron células bipolares con una larga expansión distal, orientadas radialmente. Al noveno día de cultivo había ya un halo de crecimiento de 2-3 mm. con células bipolares dispuestas ya no tan radialmente sino con tendencia progresiva al patrón reticular. Solo al cabo de 15º día había algunas células multipolares. El comportamiento "in vitro" fue pues, idéntico al de los astrocitomas cerebelosos benignos y diferente del de los tumores hemisféricos similares.
Como consecuencia, en nuestro laboratorio hemos llegado a las siguientes conclusiones:
a) El cultivo de tejidos confirma la existencia de dos tipos de astrocitoma, a) los de los hemisferios cerebrales y b) los de la línea media en los que se incluyen los del cerebelo, base encefálica, nervio óptico, tronco y médula espinal (ESCALONA-ZAPATA y DIEZ-NAU 1981).
b) Los astrocitomas malignos representan distintas modulaciones del mismo proceso básico, el crecimiento neoplásico astrocítico (ESCALONA-ZAPATA y DIEZ-NAU 1981; ESCALONA-ZAPATA y cols., 1981).
c) el glioblastoma es un derivado astrocitario de máxima malignidad. (ESCALONA-ZAPATA y DIEZ-NAU 1981; ESCALONA-ZAPATA y cols., 1981).
[Índice] [Aspectos Generales] [Tumores Astrocitarios] [Oligodendroglioma] [Ependimoma] [Meduloblastoma] [Schwannoma] [Cultivo Orgánico] [Bibliografía] |