Seminario
Nº 008

IICVHAPp.gif (9537 bytes)

IndiceIndice

Masa retroperitoneal en varón de 23 años

Carlos Alvarez, Carmen Ruíz de Valbuena, Carlos Prada, Xurxo González*, Rafaela Soler*, José M. Sánchez**, Francisco Arnal, Eduardo V. Martul

Servicio de Anatomía Patológica, Servicio de Radiodiagnóstico* y Servicio de Urología**
Hospital Juan Canalejo. A Coruña
España

[HISTORIA CLINICA] [ANATOMÍA PATOLÓGICA] [ICONOGRAFÍA] [ICONOGRAFÍA-2] [DIAGNÓSTICO]

ICONOGRAFIA 1

DIAGNOSTICO


ICONOGRAFÍA (2 de 2)

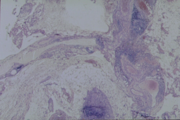
fig. 5
Figura 5. Proliferación de tejido fibroso con infiltrado inflamatorio mixto ocasionalmente perivascular. Presencia de agregados linfoides

 

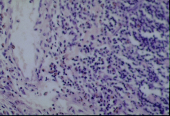
Fig. 6
Figura 6. Infiltrado inflamatorio formado por linfocitos, eosinófilos, plasmáticas y ocasionales polimorfonucleares

 

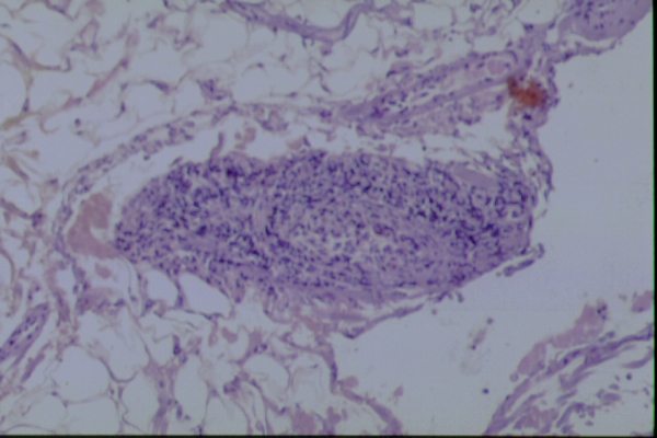
Fig. 7
Figura 7. Invasión de la pared venular por células inflamatorias

 


Diagnost.gif (2084 bytes) DIAGNÓSTICO


[HISTORIA CLINICA] [ANATOMÍA PATOLÓGICA] [ICONOGRAFÍA] [ICONOGRAFÍA-2] [DIAGNÓSTICO]

ICONOGRAFIA 1

DIAGNOSTICO


Carlos Alvarez, Carmen Ruíz de Valbuena, Carlos Prada, Xurxo González*, Rafaela Soler*, José M. Sánchez**, Francisco Arnal, Eduardo V. Martul
Copyright © 1998. Reservados todos los derechos.
Última actualización: 30 de Octubre de 1998