Seminario
Nº 008

IICVHAPp.gif (9537 bytes)

IndiceIndice

Masa retroperitoneal en varón de 23 años

Carlos Alvarez, Carmen Ruíz de Valbuena, Carlos Prada, Xurxo González*, Rafaela Soler*, José M. Sánchez**, Francisco Arnal, Eduardo V. Martul

Servicio de Anatomía Patológica, Servicio de Radiodiagnóstico* y Servicio de Urología**
Hospital Juan Canalejo. A Coruña
España

[HISTORIA CLINICA] [ANATOMÍA PATOLÓGICA] [ICONOGRAFÍA] [ICONOGRAFÍA-2] [DIAGNÓSTICO]

HISTORIA CLINICA

ICONOGRAFIA 2


ICONOGRAFÍA (1 de 2)

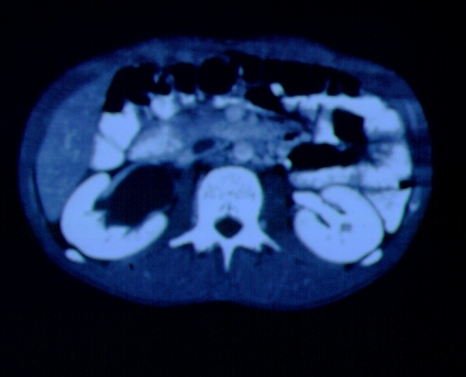
fig. 1
Figura 1. TC abdominal: trombosis cavoilíaca y uropatía obstructiva derecha

 

fig. 2
Figura 2. TC abdominal: aumento de tejido fibroso pericava y periaórtico, que engloba a ambos uréteres

 

fig. 3
Figura 3. RMN abdominal: tejido anómalo retroperitoneal que rodea cava, aorta y uréter, con atrapamiento de este último.

 

fig. 4
Figura 4. RMN abdominal: en secuencias potenciadas en T2 este tejido tiene una señal hiperintensa

 


Diagnost.gif (2084 bytes) DIAGNÓSTICO


[HISTORIA CLINICA] [ANATOMÍA PATOLÓGICA] [ICONOGRAFÍA] [ICONOGRAFÍA-2] [DIAGNÓSTICO]

HISTORIA CLINICA

ICONOGRAFIA 2


Carlos Alvarez, Carmen Ruíz de Valbuena, Carlos Prada, Xurxo González*, Rafaela Soler*, José M. Sánchez**, Francisco Arnal, Eduardo V. Martul
Copyright © 1998. Reservados todos los derechos.
Última actualización: 30 de Octubre de 1998