Seminario
Nº 007

IICVHAPp.gif (9537 bytes)

IndiceIndice

Femenino de 33 años, con historia de PAP anormal, colposcopía negativa y nódulos hialinizadas en el canal endocervical

Dr Eduardo Luévano Flores. . Dr José Acosta Castro.

Hospital CIMA (Centro Internacional de Medicina Avanzada) Chihuahua México
México

[HISTORIA CLINICA] [ANATOMÍA PATOLÓGICA] [ICONOGRAFÍA] [ICONOGRAFÍA-2] [DIAGNÓSTICO]

ICONOGRAFIA 1

DIAGNOSTICO


ICONOGRAFÍA (2 de 2)

fig. 5
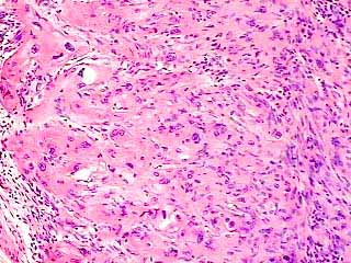
Figura 5. Mayor aumento en donde se aprecian las características de los núcleos moderadamente pleomórficos H&E 100x

 

fig. 6
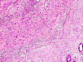
Figura 6. Borde de otro de los nódulos con las mismas características. H&E 40x

 

fig. 7
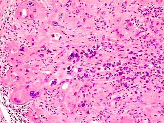
Figura 7. En algunas áreas los núcleos tienden a ser de aspecto bilobulado “degenerativo” H&E 100x

 


Diagnost.gif (2084 bytes) DIAGNÓSTICO


[HISTORIA CLINICA] [ANATOMÍA PATOLÓGICA] [ICONOGRAFÍA] [ICONOGRAFÍA-2] [DIAGNÓSTICO]

ICONOGRAFIA 1

DIAGNOSTICO


Dr Eduardo Luévano Flores. . Dr José Acosta Castro.
Copyright © 1998. Reservados todos los derechos.
Última actualización: 30 de Octubre de 1998