Seminario
Nº 007

IICVHAPp.gif (9537 bytes)

IndiceIndice

Femenino de 33 años, con historia de PAP anormal, colposcopía negativa y nódulos hialinizadas en el canal endocervical

Dr Eduardo Luévano Flores. . Dr José Acosta Castro.

Hospital CIMA (Centro Internacional de Medicina Avanzada) Chihuahua México
México

[HISTORIA CLINICA] [ANATOMÍA PATOLÓGICA] [ICONOGRAFÍA] [ICONOGRAFÍA-2] [DIAGNÓSTICO]

HISTORIA CLINICA

ICONOGRAFIA 2


ICONOGRAFÍA (1 de 2)

fig. 1
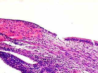
Figura 1. Superficie mucosa endocervical que muestra un nódulo hialinizado. H&E 40x

 

fig. 2
Figura 2. Mayor detalle del nódulo hialinizado en la superficie endocervical, en donde as aprecia también metaplasia tubaria del epitelio endocervical. H&E 100x

 

fig. 3
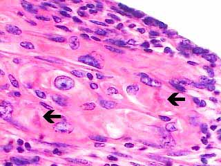
Figura 3. Detalle citológico de las células en el borde del nódulo, se aprecia un citoplasma abundante con acúmulos de material hialino semejante a los cuerpos hislinos de Mallory. H&E 400x

 

fig. 4
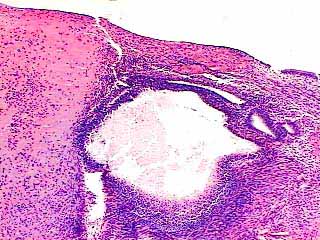
Figura 4. Porción profunda del mismo nódulo en donde se aprecia bien delimitado H&E 40x.

 


Diagnost.gif (2084 bytes) DIAGNÓSTICO


[HISTORIA CLINICA] [ANATOMÍA PATOLÓGICA] [ICONOGRAFÍA] [ICONOGRAFÍA-2] [DIAGNÓSTICO]

HISTORIA CLINICA

ICONOGRAFIA 2


Dr Eduardo Luévano Flores. . Dr José Acosta Castro.
Copyright © 1998. Reservados todos los derechos.
Última actualización: 30 de Octubre de 1998