Seminario
Nº 005

IICVHAPp.gif (9537 bytes)

IndiceIndice

Recién nacida con formaciones tumorales en piel

Dres. Juán Luis Afonso, Manuel García, José Mª de Lera, Miguel Sánchez

Servicio de Anatomía Patológica.
Complejo Hospitalario Materno-Insular de Las Palmas de Gran Canaria
España

[HISTORIA CLINICA] [AUTOPSIA] [ICONOGRAFIA] [ICONOGRAFIA-2] [DIAGNÓSTICO]

ICONOGRAFIA 1

DIAGNOSTICO


ICONOGRAFIA (2 de 2)

fig.6
Fig.6: Desmina negativa con autocontrol de formaciones vasculares. H/E 20x.

 

fig.7
Fig.7:Citoqueratinas positivas de forma generalizada. H/E 20x.

 

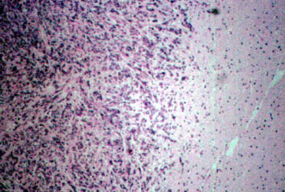
fig.8
Fig.8:Infiltración de coteza cerebral por tumor rabdoide. H/E 20x.

 

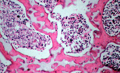
fig.9
Fig.9:Infitración de médula ósea por tumor rabdoide. H/E 20x.

 


Diagnost.gif (2084 bytes) DIAGNÓSTICO


[HISTORIA CLINICA] [AUTOPSIA] [ICONOGRAFIA] [ICONOGRAFIA-2] [DIAGNÓSTICO]

ICONOGRAFIA 1

DIAGNOSTICO


Dres. Juán Luis Afonso, Manuel García, José Mª de Lera, Miguel Sánchez
Copyright © 1998. Reservados todos los derechos.
Última actualización: domingo 19 de julio de 1998