Seminario
Nº 005

IICVHAPp.gif (9537 bytes)

IndiceIndice

Recién nacida con formaciones tumorales en piel

Dres. Juán Luis Afonso, Manuel García, José Mª de Lera, Miguel Sánchez

Servicio de Anatomía Patológica.
Complejo Hospitalario Materno-Insular de Las Palmas de Gran Canaria
España

[HISTORIA CLINICA] [AUTOPSIA] [ICONOGRAFIA] [ICONOGRAFIA-2] [DIAGNÓSTICO]

HISTORIA CLINICA

ICONOGRAFIA 2


ICONOGRAFIA (1 de 2)

fig.1
Fig.1: Examen externo del cadaver donde se pueden apreciar los nódulos subcutáneos

 

fig.2
Fig.2:Apertura de cavidades torácica y abdominal donde se aprecia la infiltración tumoral generalizada.

 

fig.3
Fig.3:Apertura de cavidades torácica y abdominal donde se aprecia la infiltración tumoral generalizada.

 

fig.4
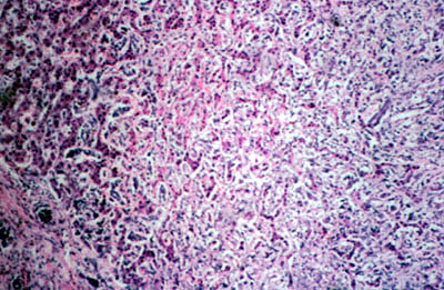
Fig.4:Imagen del tumor y características celulares. H/E 40x.

 

fig.5
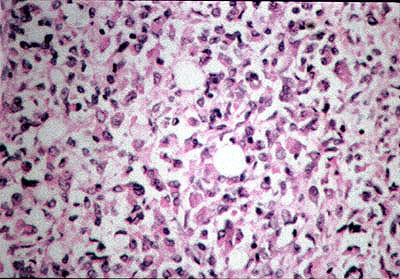
Fig.5:Infiltración hepática por el tumor rabdoide. H/E 20x.

 


Diagnost.gif (2084 bytes) DIAGNÓSTICO


[HISTORIA CLINICA] [AUTOPSIA] [ICONOGRAFIA] [ICONOGRAFIA-2] [DIAGNÓSTICO]

HISTORIA CLINICA

ICONOGRAFIA 2


Dres. Juán Luis Afonso, Manuel García, José Mª de Lera, Miguel Sánchez
Copyright © 1998. Reservados todos los derechos.
Última actualización: domingo 19 de julio de 1998