Seminario
Nº 002

IICVHAPp.gif (9537 bytes)

IndiceIndice

LOES HEPATICAS DE ORIGEN DESCONOCIDO

L. Porras, J. Gijón, E. Marchán, A. Puig, M. García Rojo, A. García

Complejo Hospitalario de Ciudad Real
España

[HISTORIA CLINICA] [PAAF Hígado] [ICONOGRAFÍA] [ICONOGRAFÍA-2] [DIAGNÓSTICO]

Iconografia 1

HISTORIA CLINICA


ICONOGRAFÍA (2 de 2)

fig. 7
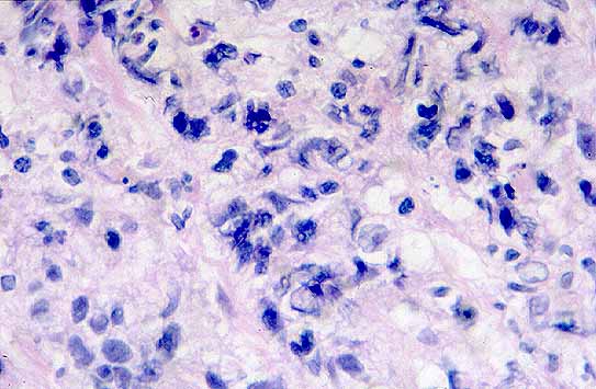
Figura 7. PAAF Hígado. El pleomorfismo nuclear era muy evidente. Estos núcleos eran ovoides y fusocelulares con nucléolo marcado

 

fig. 8
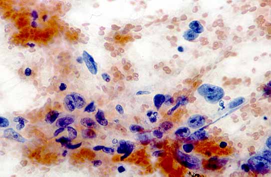
Figura 8. PAAF Hígado. Los citoplasmas de las células apenas eran perceptibles.

 

fig. 9
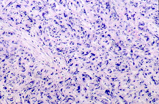
Figura 9. Biopsia de Cavum. Las células estaban separadas por finos tractos conectivos y los limites citoplásmaticos estaban mal definidos y los núcleos eran hipercromáticos, pleomorficos ,

 

fig. 10
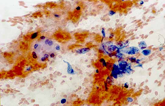
Figura 10. Biopsia de Cavum. Núcleos ovoideos, con nucléolo visible en ocasiones.

 

fig. 11
Figura 11. TAC Cavum.

 


Diagnost.gif (2084 bytes) DIAGNÓSTICO


[HISTORIA CLINICA] [PAAF Hígado] [ICONOGRAFÍA] [ICONOGRAFÍA-2] [DIAGNÓSTICO]

Iconografia 1

HISTORIA CLINICA


L. Porras, J. Gijón, E. Marchán, A. Puig, M. García Rojo, A. García
Copyright © 1998. Reservados todos los derechos.
Última actualización: sábado 4 de julio de 1998