Seminario
Nº 002

IICVHAPp.gif (9537 bytes)

IndiceIndice

LOES HEPATICAS DE ORIGEN DESCONOCIDO

L. Porras, J. Gijón, E. Marchán, A. Puig, M. García Rojo, A. García

Complejo Hospitalario de Ciudad Real
España

[HISTORIA CLINICA] [PAAF Hígado] [ICONOGRAFÍA] [ICONOGRAFÍA-2] [DIAGNÓSTICO]

Historia Clinica

ICONOGRAFIA 2


ICONOGRAFÍA (1 de 2)

fig. 1
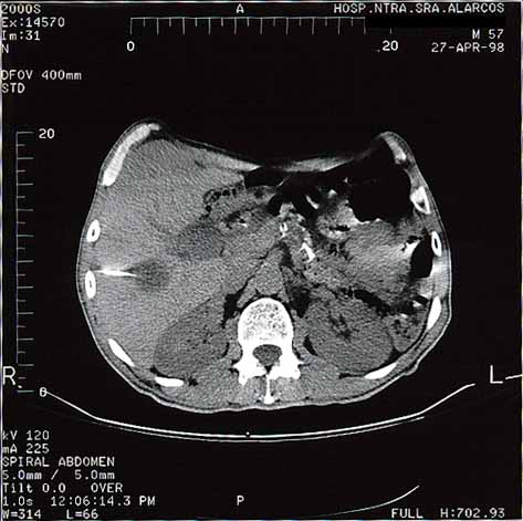
Figura 1. TAC LOES hepáticas

 

fig. 2
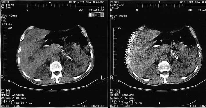
Figura 2. TAC Higado durante PAAF de hígado.

 

fig. 3
Figura 3. Gammagrafía.

 

fig. 4
Figura 4. Gammagrafía

 

fig. 5
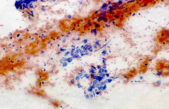
Figura 5. PAAF Hígado. Grupos celulares neoplásicos con cierta disposición sincitial

 

fig. 6
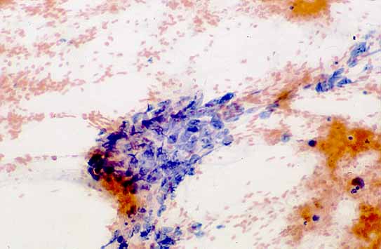
Figura 6. PAAF Hígado. Grupos celulares neoplásicos con cierta disposición sincitial.

 


Diagnost.gif (2084 bytes) DIAGNÓSTICO


[HISTORIA CLINICA] [PAAF Hígado] [ICONOGRAFÍA] [ICONOGRAFÍA-2] [DIAGNÓSTICO]

Historia Clinica

ICONOGRAFIA 2


L. Porras, J. Gijón, E. Marchán, A. Puig, M. García Rojo, A. García
Copyright © 1998. Reservados todos los derechos.
Última actualización: sábado 4 de julio de 1998