UN CASO DE ENFERMEDAD DE WHIPPLE
Carmen Gonzalez del Rey Rodrígez, Inmaculada Ursua Sarmiento, Carmen Parra Pérez, Alberto del Valle Manteca.

ICONOGRAFÍA-2
 |
 |
|
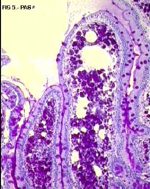
Figura 5 |
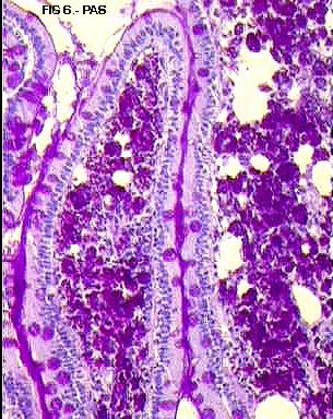
Figura 6 |
 |
 |
|
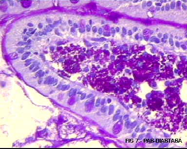
Figura 7 |
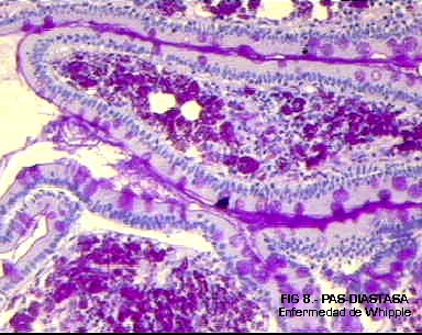
Figura 8 |
Carmen Gonzalez del Rey Rodrígez, Inmaculada Ursua Sarmiento, Carmen Parra Pérez, Alberto del Valle Manteca.
Copyright © 1998. Reservados todos los derechos.