UN CASO DE ENFERMEDAD DE WHIPPLE
Carmen Gonzalez del Rey Rodrígez, Inmaculada Ursua Sarmiento, Carmen Parra Pérez, Alberto del Valle Manteca.

ICONOGRAFÍA
 |
 |
|
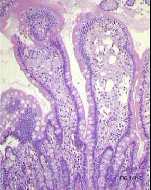
Figura 1 |
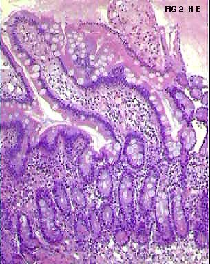
Figura 2 |
 |
 |
|
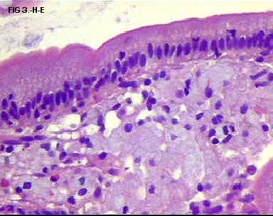
Figura 3 |
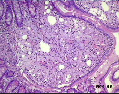
Figura 4 |
Carmen Gonzalez del Rey Rodrígez, Inmaculada Ursua Sarmiento, Carmen Parra Pérez, Alberto del Valle Manteca.
Copyright © 1998. Reservados todos los derechos.