Póster
Nº 082

IICVHAPp.gif (9537 bytes)

IndiceIndice

NEUROPATÍA TRIGEMINAL IDIOPÁTICA VERSUS SCHWANNOMA DEL TRIGÉMINO.
ESTUDIO CLÍNICO-PATOLÓGICO DE UN CASO

Santiago Madero, Jaime Domínguez*, Carolina Ibarrola y Ramiro D. Lobato*

Comentarios

[TITULO] [INTRODUCCIÓN] [PACIENTE Y MÉTODOS] [RESULTADOS] [ICONOGRAFÍA] [ICONOGRAFÍA-2] [DISCUSIÓN] [AGRADECIMIENTOS] [BIBLIOGRAFÍA]

ICONOGRAFÍA

DISCUSIÓN


ICONOGRAFÍA-2

fig. 7
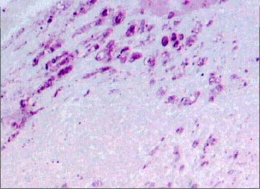
Fig. 7. Uno de los extremos de la biopsia remitida con inflamación crónica no granulomatosa endoneural evidente. (HE, X100.)

 

fig. 8
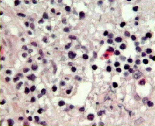
Fig. 8. Imagen a mayor aumento del infiltrado inflamatorio, predominantemente linfocitario. (HE, X400.)

 

fig. 9
Fig. 9. Conservación arquitectural del segmento nervioso en una zona de orientación transversal próxima a la necrosis. (IHQ para demostración de S-100, X100.)

 

fig. 10
Fig. 10. La plata metenamina permite demostrar parcialmente la arquitectura del segmento en una zona de orientación transversal. (Plata metenamina, X400.)

 

fig. 11
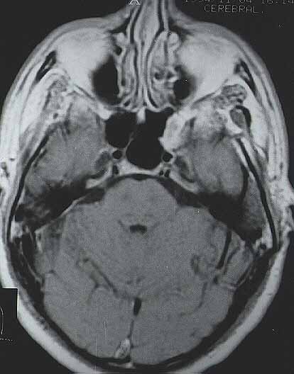
Fig. 11. Imagen axial de MRI con contraste ponderada en T1 tomada tras la cirugía, en la que se observa la ausencia de lesión residual.

 


[TITULO] [INTRODUCCIÓN] [PACIENTE Y MÉTODOS] [RESULTADOS] [ICONOGRAFÍA] [ICONOGRAFÍA-2] [DISCUSIÓN] [AGRADECIMIENTOS] [BIBLIOGRAFÍA]

ICONOGRAFÍA

DISCUSIÓN


Santiago Madero, Jaime Domínguez*, Carolina Ibarrola y Ramiro D. Lobato*
Copyright © 1998. Reservados todos los derechos.